
脊髓血管畸形、颅内肿瘤、韦尼克脑病丨3分钟读片•24期
总结:赵伟,赵莲花
病例提供:邵明涛、李惠明、张坤、刘祥、王洁、区开云、朱海兵、王旭东、程伟、贺忠延、于小刚、谢广迪、吕华东、刘波、解洪荣、李玉涛、许丹丹、张乐国、刘德全、梁新明、申永国、黄波涛
病例1
患者女,41岁。突发双下肢无力6小时。

答案:脊髓血管畸形并出血。造影及手术结果如下。

脊髓出血发病急,临床少见,血管畸形是脊髓出血的主要原因。主要表现为剧烈胸腰背部疼痛及截瘫,感觉障碍及括约肌功能障碍。脊髓出血与急性脊髓炎、脊髓梗死相互鉴别。脊髓炎发病前可有呼吸道或消化道感染等诱因,神经根刺激症状不明显,MRI检查可见T2WI横贯性的异常高信号。脊髓梗死可急性或亚急性发病,多发生在中老年人,以脊髓前动脉梗塞多见,运动障碍明显,感觉障碍轻微或缺失,MRI检查T2WI像可见脊髓前动脉供血区高信号,后索多不受累。
病例2
患者女性,41岁,间歇性双下肢无力2月,小便费力1月。

答案:脊髓硬脊膜动静脉瘘(SDAVF)。SDAVF是最常见的脊髓血管畸形,多累及胸腰段,占脊髓血管畸形的70%。本病中老年男性多见,多缓慢起病,并进行性加重,少数呈急性起病,临床确诊较难。临床表现步态异常、下肢乏力、感觉障碍、疼痛,伴或不伴括约肌功能障碍等。症状不典型时可误诊为周围神经病等,如表现为单侧下肢无力。表现为双足袜套样感觉异常时会误诊为糖尿病周围神经病等。表现为下肢放射性疼痛时被误诊为退行性脊椎疾病。脊髓MRI:T1示肿胀的脊髓呈低信号影,伴有弥漫性增强; T2呈多节段脊髓中央部高信号(大白萝卜样);脊髓背侧多有环状低信号(提示扩张、扭曲的静脉血管,呈小黑芝麻样)。
病例3
患者81岁,男。 突发腰背部疼痛伴排尿困难18d、双下肢麻木无力1d。


答案:脊髓血管畸形-硬脊膜动静脉瘘。解析同上。
病例4
患者70岁,男性,患者在急诊科就诊时出现菌血症症状。脑脊液分析显示蛋白质水平升高,淋巴细胞增多。

答案:脊髓梅毒。矢状位T2和STIR图像高信号,累及C5-C6节段颈髓后索。增强扫描未见病灶强化,也未见出血灶。轻微的软脑膜强化遍及脊髓前后表面。轴位T2图像显示脊髓后柱两侧对称性高信号。后柱病变是神经梅毒的晚期表现,导致脊髓后柱脱髓鞘。T2-STIR图像最常见的表现为对称性高信号和双侧高信号。一般增强无强化。
需要考虑的主要鉴别诊断包括:多发性硬化症:一般不对称,程度轻微。横贯性脊髓炎:通常不局限于后柱。HIV空泡性脊髓病:需要HIV感染史。肿瘤:不局限于后柱,脊髓增粗,增强有强化。缺血:急性发作,DWI弥散受限。在脑脊液分析中,梅毒螺旋体特异性抗体阳性,无其他微生物感染依据。
病例5
患者9岁,男性。智力低下与发育迟缓。

答案:粘多糖贮积症。MRI可见中度脑积水,第四脑室、大脑导水管、第三脑室和侧脑室明显扩大。大脑萎缩伴脑沟、脑池扩大。有明显的血管周围间隙,伴有脑室周围深层白质筛状征象。粘多糖增多症是一种酶缺乏导致的粘多糖在体内堆积造成的遗传性代谢紊乱。典型临床表现包括骨骼发育畸形,身材矮小,关节僵硬,听力下降,疝气,角膜混浊,青光眼,肝脾肿大,心脏和呼吸系统疾病。头MRI 表现:脑积水与脑萎缩,侧脑室周围白质多发囊状及线状异常信号影,脑灰白质分界不清。骨骼表现包括:椎体前缘呈舌状突出、椎管狭窄(多位于C1/C2节段,原因是齿状突和C1后弓发育不良,继而压迫颈髓交界处,颈髓脊髓病或脊髓空洞症),寰枢椎脱位或半脱位,脊柱后凸,脊柱侧凸,颈椎畸形。Madelung‘s畸形,腕骨体积小,个数减少,近端掌骨呈子弹状,第4掌骨短小。
病例6
患者女,31岁,3年前出现听力下降,间断抽搐。

答案:线粒体脑肌病伴高乳酸血症和卒中样发作综合征(MELAS)。临床表现为多系统受累,主要累及中枢神经系统、肌肉、听神经、胰腺、心脏以及肾脏等;卒中样发作,癫痫是最常见的临床表现,其次为肌无力、头痛、智能发育迟缓以及身材矮小。影像学特点:病灶好发于皮质及皮质下白质区,深部白质较少受累。可单发或多发,多为不对称分布,与脑动脉供血区不一致,且呈多变性、游走性;增强扫描病灶不强化或轻度强化,或为沿病变区脑回分布的线样强化;常伴基底节钙化,主要位于苍白球,其次是丘脑、齿状核和间脑;脑萎缩和脑室扩大较常见,不具有特异性,但其萎缩程度较明显,与年龄不相符。灌注显示急性期和亚急性期脑血流灌注增加;MRS病变区可出现 Lac双峰、NAA峰降低、Cho峰升高。
病例7
患者男,56岁,癫痫起病。

答案:星形细胞瘤(WHO分类II级)。是神经系统最常见肿瘤,约占颅内肿瘤的5.6%,成人胶质瘤的25%~30%。20~40岁为发病高峰,也可见于儿童,老年人少见,好发于额颞叶及脑干。临床症状主要为癫痫及颅内压增高症状。MR上T1WI为低信号,T2WI为高信号,增强不强化或轻度斑片样强化。如出现强化,提示病灶向高级别进展。
病例8
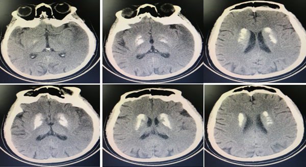
患者男,13岁,右上肢麻木、活动笨拙 3月余。


答案:生殖细胞瘤。生殖细胞瘤可发生于中线部位(松果体或鞍上区)、纵隔或骶尾区等其它部位;突出临床表现是内分泌紊乱,表现为上视障碍和性早熟,同时可伴有下丘脑功能障碍,如尿崩、烦渴、嗜睡及肥胖;生殖细胞瘤有特定发生部位和高的钙化发生率,是确诊的主要依据。患者头部CT如下:

病例9
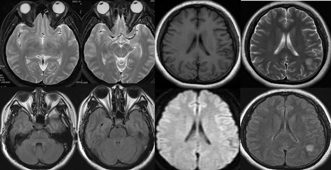
女性,31岁,头痛半月余,加重1周于于2020年3月25日入院。 患者半个月前出现头痛,多睡眠中痛醒,持续数分钟,1次/天。1周前头痛症状加重,呈周期样发作(头痛持续数分钟,缓解数分钟),间歇半个小时至1小时不等,持续时间及发作频率渐增加,约7-8次/天,基本卧床状态(除吃饭,二便),从坐姿到站姿时头痛明显,睡觉时头痛减轻,多痛醒。3天前患者出现视物不清,看远处物体时明显,视力损害逐渐加重。病程中患者有自觉发热,自测体温不高,无恶心呕吐。


2020年4月7日复查颅脑核磁:

腰椎穿刺,脑脊液压力450mm。脑脊液常规:有核细胞:23×10^6/L,淋巴细胞96%。脑脊液生化:蛋白0.27g/L,氯123mmol/L,葡萄糖:3.48mmol/L脑脊液涂片:墨汁染色见新型隐球菌。脑脊液隐球菌荚膜抗原阳性。
答案:隐球菌性脑膜炎。由扩大的VR间隙融合而成的胶质假性囊肿,直径>5mm,单发或多发,可聚集成簇状囊肿。病变分布与VR间隙扩大分布一致,常位于基底节区,呈对称性分布,为隐球菌荚膜所产生的粘液,胶状物质充填而扩张,形成的小囊腔,含大量隐球菌,呈肥皂泡状,具有一定特征性。 呈类圆形,边界清楚,T1WI呈低或稍低信号,T2WI呈稍高或高信号,增强可强化(增强被认为是免疫完整宿主的慢性炎症反应),弥散可受限。
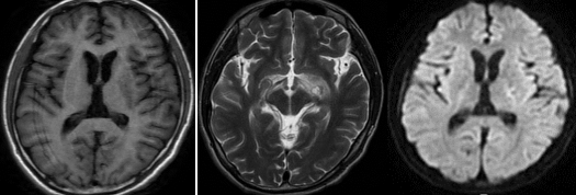
病例10
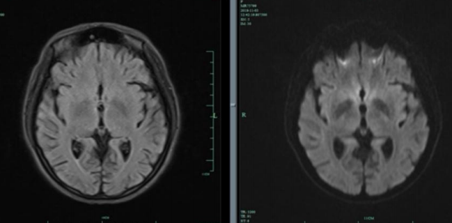
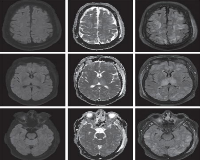
患者男,52岁,因“幻觉胡言 乱语3天,伴视物重影2天”入院。


答案:韦尼克脑病。易受到硫胺素(维生素B1)缺乏造成的损害的部位包括丘脑、乳头体、导水管周围和室旁区域、蓝斑、 颅神经核和网状结构。临床表现包括以下三个症状:眼肌麻痹、共济失调和脑病症状精神状态或智能状态改变。
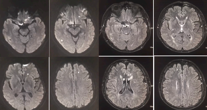
病例11
患者女性,26岁,“反复四肢抽搐 11年,言语不利、反应迟钝4天”入院。患者15岁时首次出现癫痫样发作,表现为口吐白沫,头向右侧歪斜,四肢抽搐,伴有意识丧失,持续数秒钟后自行缓解,间隔一段时候后再发,每次发作前多有发热,头痛诱因,诊断为“癫痫”,予德巴金治疗,自行服用半年后停用。患者分别在19岁,21岁,25岁以及今年11月份出现上述癫痫样发作,患者家属诉患者每次癫 痫发作时持续时间均不足1分钟,发作频繁,间歇期逐渐缩短。患者4天前出现言语不利、反应迟钝。
2018.11.3核磁如下:

2018.12.27核磁如下:

2019.1.19核磁如下:

答案:MELAS。其影像典型表现:CT:部分见基底节钙化。MRI:T2WI,FLAIR,DWI序列上相应的高信号;ADC可为高信号,低信号或混杂信号,提示细胞毒性水肿和血管源 性水肿同时存在;磁共振波谱(MRS)提示脑部乳酸的存在。病灶多分布在皮层和皮层下白质,深部皮层不受累;急性到亚急性时期病灶变化可有明显波动,迁移至完全消失;反复发作后脑萎缩。
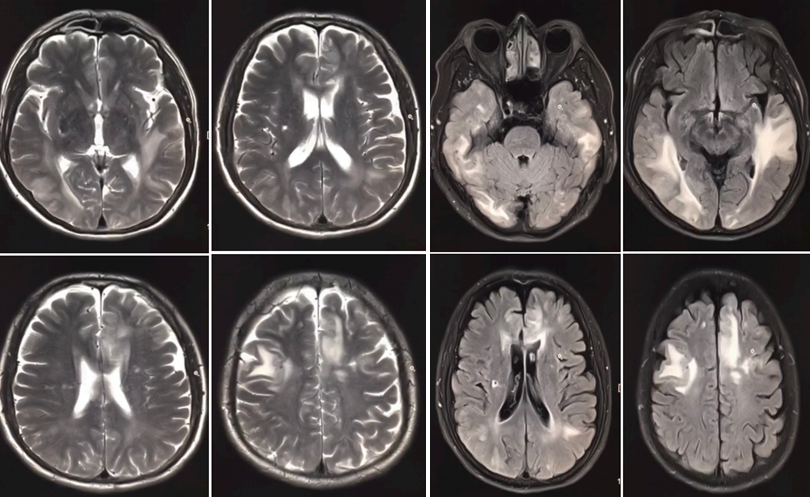
病例12
61岁男患,癫痫。2014年头MRI如下:

2020年头MRI如下:

答案:脑淀粉样血管病相关炎症(CAA-RI)。多呈急性或亚急性起病,最常见的表现是认知及行为改变,可表现为不同程度的痴呆、幻觉、人格改变、意识障碍甚至昏迷,其次是偏瘫、偏身感觉障碍、失语、共济失调等局灶性神经功能受损表现。另外,以癫痫、头痛等症状起病的患者亦不在少数,而相比单纯CAA而言,颅内出血的发生率则较低。MRI上最常见的表现为软脑膜明显强化及T2WI或FLAIR上的皮质下白质高信号灶,病灶常为非对称性,可散在分布或融合成片,灰质较少累及。
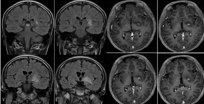
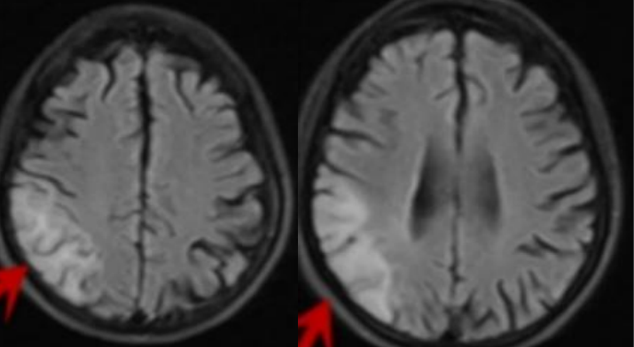
病例13
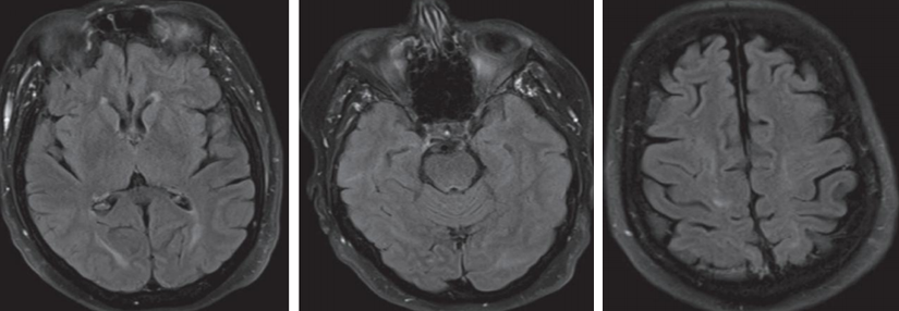
患者59岁女性,头痛恶心呕吐2天。

答案:可逆性后部脑病综合征(PRES)。PRES本质上是一种可逆性的血管源性水肿,伴急性神经系统症状,如癫痫发作,脑病,头痛,视觉障碍等,常见原因为高血压、肾衰竭、使用细胞毒性药物、自身免疫性疾病、子痫前期或子痫。PRES常由急剧的血压波动或细胞因子对血管壁的直接作用致内皮损伤,引起血脑屏障的破坏,继而引起脑水肿。本病通常是可逆性,包括影像学表现和临床症状,预后多数较好。复查头MRI如下:

病例14
看图识病

答案:弥漫大B型细胞淋巴瘤。该病初发症状多为局限性表现,如肢体麻木、偏瘫、失语、共济失调等。 颅脑内压增高也很常见。肿瘤侵及胼胝体可见出现精神症状,侵及丘脑可出现觉醒障碍。好发部位为额顶叶深部、基底节、脑室周围和胼胝体、下丘脑、小脑也可累及,常浸润室管膜下组织,通过脑脊液向脑脊膜扩散。国内有的学者认为“握拳样”或“脑回样”强化,仅在淋巴瘤病例中看到。
病例15
患者女,29岁,主因右眼视力进行性下降5-6天入院。


答案:Mog相关性视神经脊髓炎。首次发病时,MOG抗体阳性患者中有35.4%有幕上病变,有14.6%有幕下病变。首次发病的幕上MRI病变包括脑室周围白质病变,胼胝体病变(部分可有融合),额叶、顶叶、颞及枕深部白质病变,皮层或皮层下(包括岛叶)病变,丘脑和基底神经节病变。