
68岁男性,进行性意识障碍,原因为何?
医脉通编译整理,未经授权请勿转载。
一名68岁男性,突发意识混乱,进行性加重,经治疗后遗留永久性视力丧失。原因为何?一起来探究一下吧。
68岁男性,进行性意识障碍
一名68岁男性患者出现意识混乱和腹痛。之前喝过一瓶除臭剂。临床症状迅速恶化,表现为低血压和意识水平下降(GCS为6),需要经口气管插管。体格检查时,瞳孔固定并扩大。
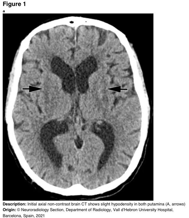
实验室检测显示,血液pH值为6.9,阴离子间隙高,乳酸水平为5mmol/L,血清甲醇浓度为190mg/dL。入院时脑部CT平扫显示,两个壳核均出现离散性低密度(图1)。静脉注射碳酸氢钠以纠正严重的酸中毒,然后注射乙醇和血液透析。

图1 脑CT平扫显示两个壳核轻度低密度(A,箭头)
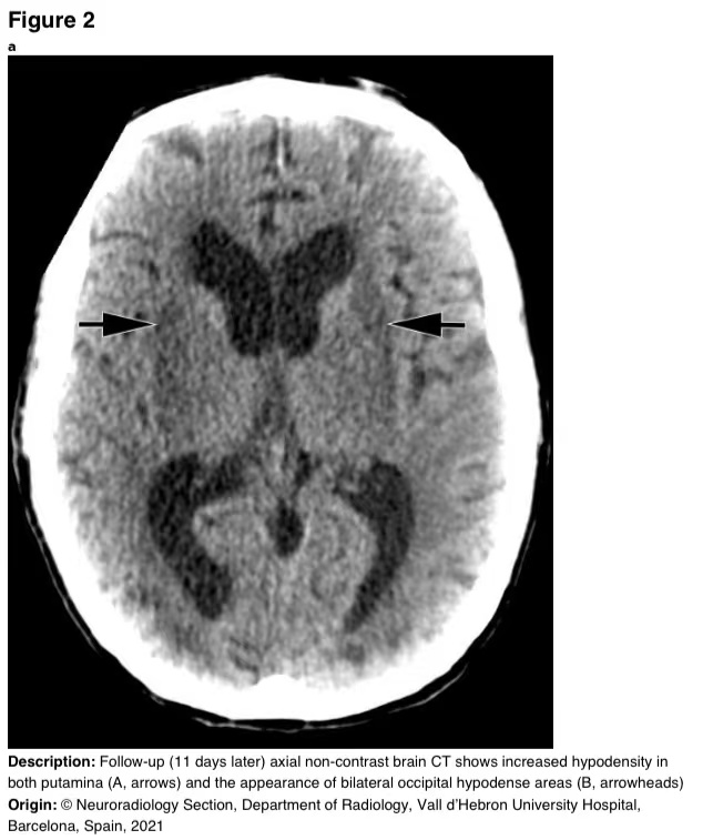
11天后随访获得的脑CT显示,双侧枕下皮质下白质的壳核低密度以及低密度区域增加(图2)。

图2a

图2b
图2 a-b 随访(11天后)脑CT平扫显示壳核低密度增加(A,箭头)和双侧枕下低密度区(B,箭头)。
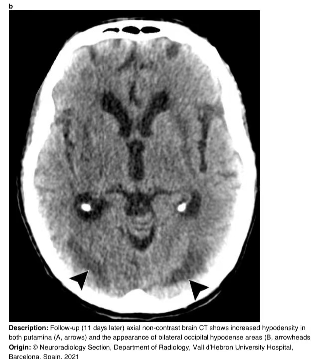
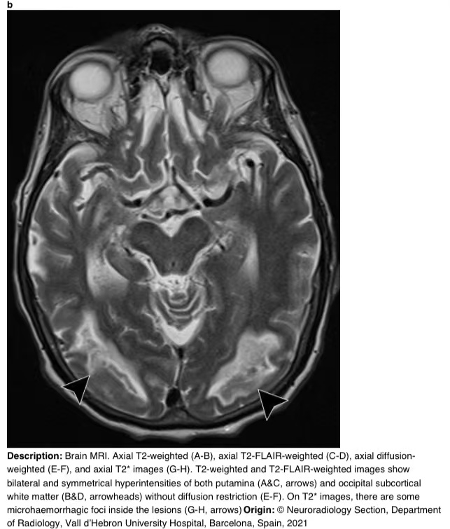
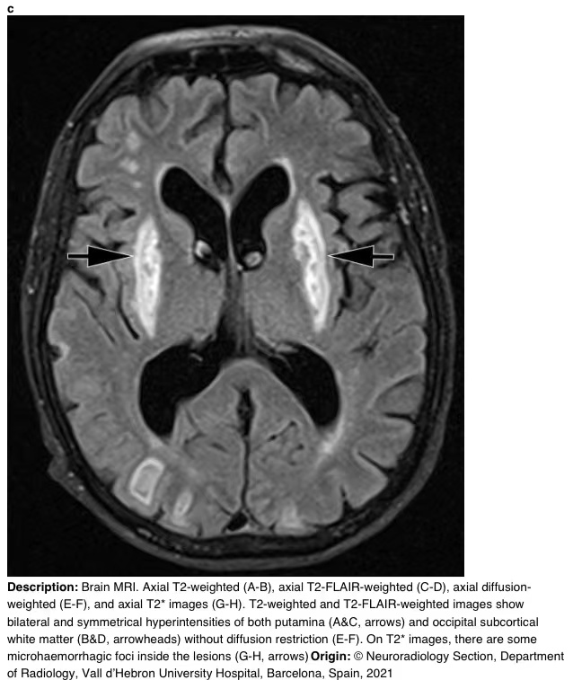
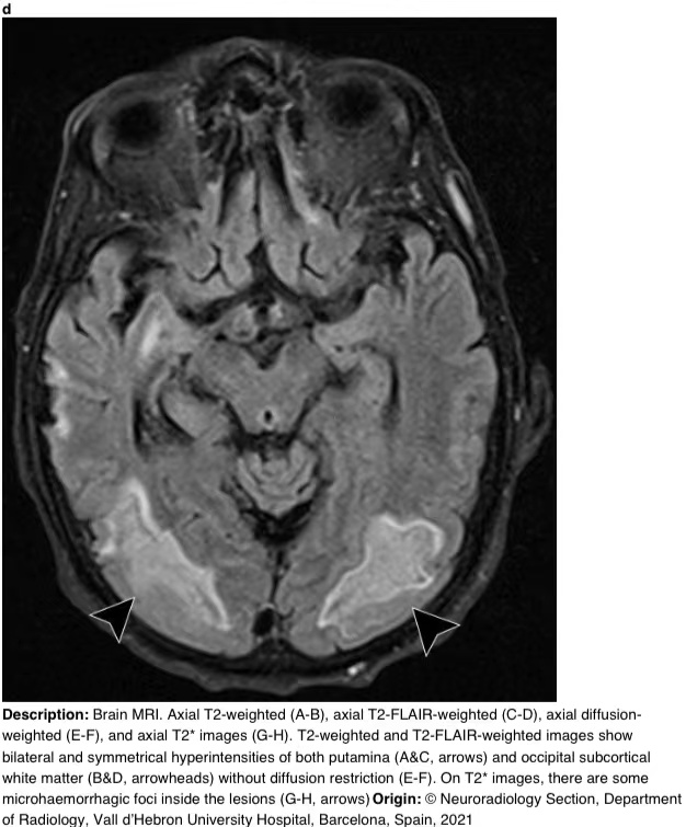
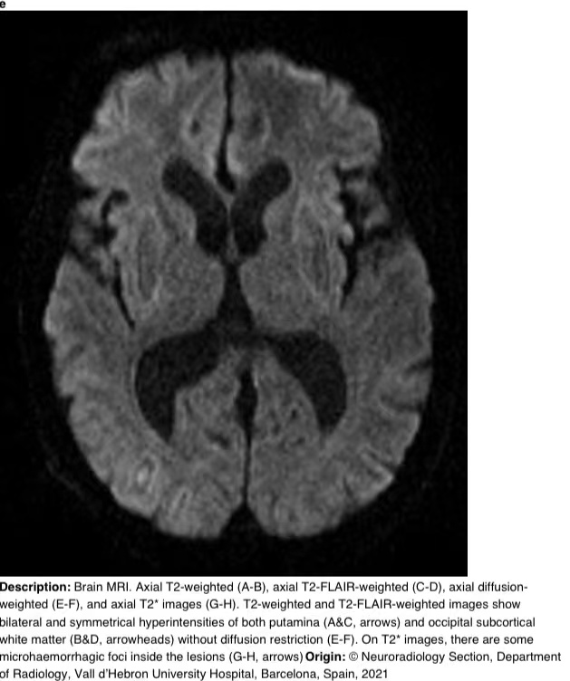
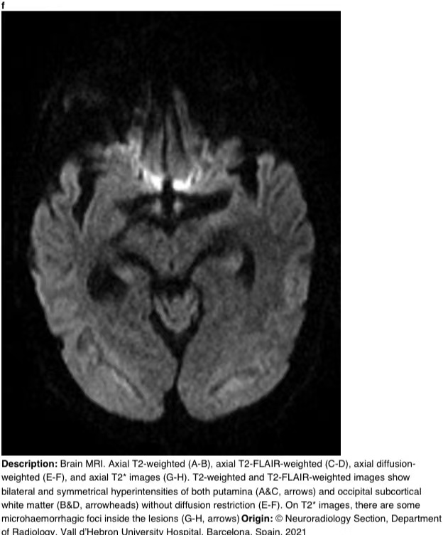
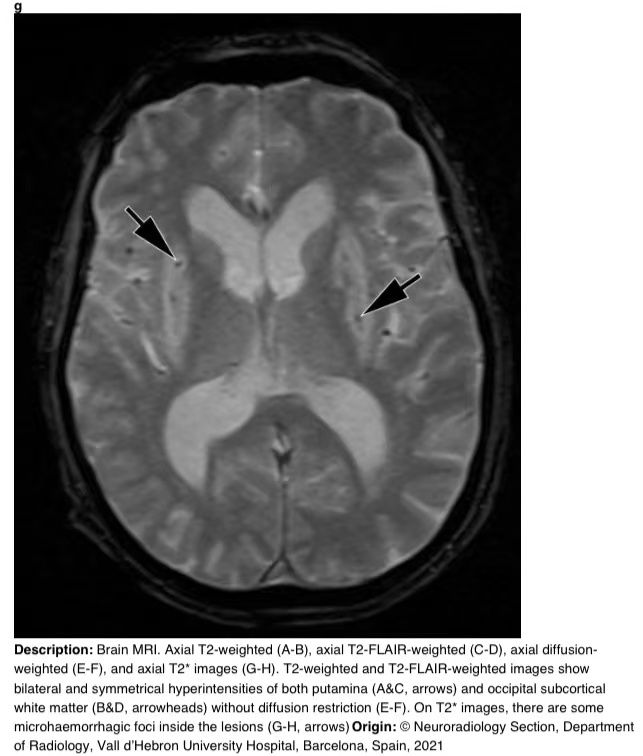
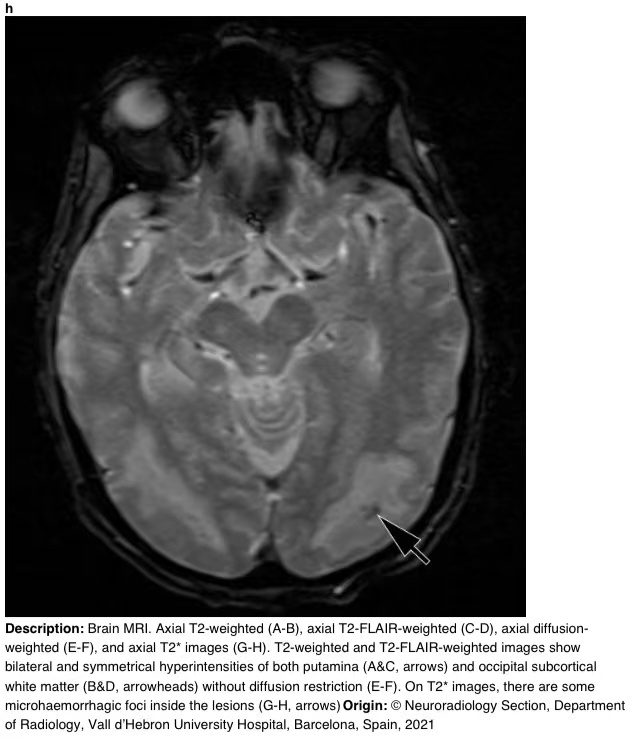
在16天的随访中,脑部MRI显示壳核和枕下皮质下白质上对称的T2/FLAIR高信号。T2图像显示病变内有微出血(图3)。

图3a

图3b

图3c

图3d

图3e

图3f

图3g

图3h
图3 a-h 脑部核磁共振成像。轴向T2加权(A-B)、轴向T2 FLAIR加权(C-D)、轴向弥散加权(E-F)和轴向T2图像(G-H)。T2加权和T2 FLAIR加权图像显示双侧和对称的壳核高信号(A和C,箭头)和枕下皮质下白质高信号(B和D,箭头),无弥散限制(E-F)。在T2图像上,病变内有一些微出血病灶(G-H,箭头)。
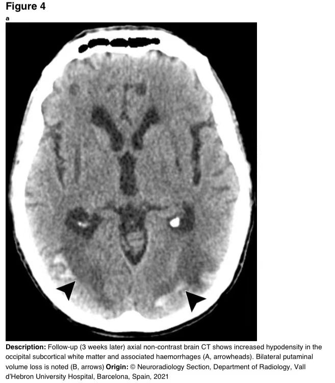
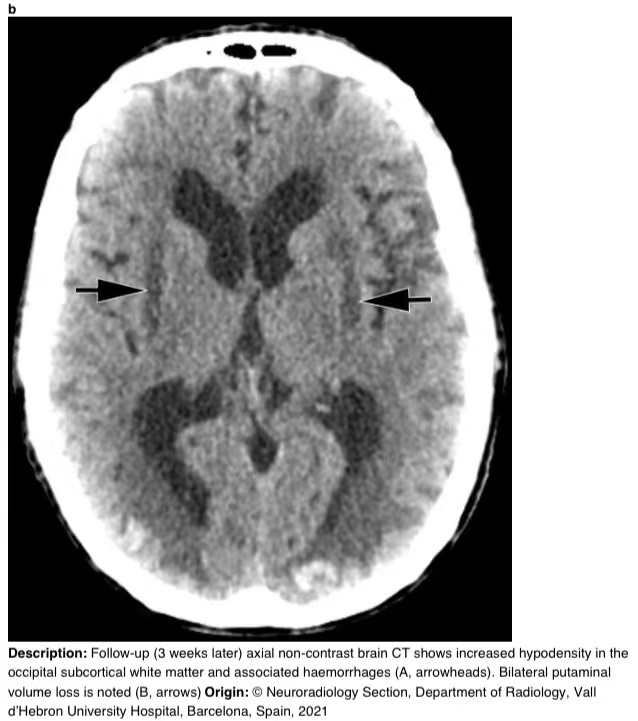
3周后完善的一次新的脑部CT显示,枕下病变的大小增加,并伴有出血性改变(图4)。

图4a

图4b
图4 a-b 随访(3周后)轴向CT显示枕下皮质下白质低密度增高及相关出血(A,箭头)。可见双侧壳核体积损失(B,箭头)。
幸运的是,患者存活了下来,但出现了不可逆转的失明。
讨论
无论是有意还是无意,甲醇中毒最常见的原因是摄入挡风玻璃清洗液、工业产品或非法生产的酒精饮料(“私酒”),但也可能通过吸入和皮肤吸收发生。甲醇本身并没有直接毒性。它们的毒性和其他有毒醇(不包括异丙醇)一样由其代谢产物造成。甲醇主要通过连续氧化在肝脏中代谢为甲醛,最终转化为甲酸,甲酸会导致致命的代谢性酸中毒和视觉毒性。
早期甲醇中毒的体征和症状是非特异性的,通常在6-24小时内发展,导致延误诊断,随后发病率和死亡率增加。如果同时摄入乙醇,甲醇代谢会减慢,可能需要72至96小时才能出现症状。经过一段无症状潜伏期后,患者出现视力模糊、精神抑郁和胃肠道症状,如恶心、呕吐和腹痛等。在严重情况下,视力丧失可能是永久性的,并可能发生多器官衰竭和死亡。
典型的特征是,甲醇中毒可导致选择性双侧壳核坏死,伴有或不伴有出血(7-14%的病例,与不良预后相关)。严重的甲醇中毒可累及皮质下白质、小脑和视神经。入院时CT检查结果可能正常。存活前24小时的患者可能会出现壳核和皮质下白质低密度。MRI表现为T2WI/FLAIR高信号,早期弥散受限。T2加权或敏感性加权序列上可见明显的微出血,呈低强度病灶。中毒急性期存活下来的患者可出现壳核囊性病变。
治疗方法包括静脉注射碳酸氢钠以纠正严重的代谢性酸中毒(pH值低于7.3),以及使甲酸盐离子化以促进其尿液排泄。建议在最早阶段服用解毒剂,以改善临床结果。甲吡唑和乙醇是乙醇脱氢酶抑制剂,是治疗甲醇中毒的有效解毒剂。虽然乙醇(未经FDA批准)常用于治疗,但甲吡唑是首选的解毒剂。
总之,对于CT和MRI表现为高负离子间隙代谢性酸中毒和选择性双侧壳核坏死的患者,甲醇中毒应考虑作为首选诊断。结合相关病史及检查,在排除Wilson病、弥漫性缺氧、肝性脑病、一氧化碳中毒、Leigh综合征等后可诊断为甲醇中毒。
医脉通编译自:https://www.eurorad.org/case/17585