
病例分享汇 | 周辉教授点评:塞利尼索劈波斩浪,高危DLBCL患者显著获益!
弥漫性大B细胞淋巴瘤(DLBCL)是一种来源于成熟B细胞的侵袭性肿瘤,是最常见的非霍奇金淋巴瘤
(NHL)亚型。DLBCL累及中枢神经系统(CNS),即继发中枢神经系统淋巴瘤(SCNSL),大多数发生于疾病进展时期。患者一旦累及CNS,往往预后极差。近年来,随着抗CD20单克隆抗体等药物的应用,DLBCL患者的生存得到了显著改善,但仍有约5%DLBCL患者出现继发CNS侵犯,严重缩短患者的总生存期(OS)1,因此,临床上亟需更有效的治疗方式以满足此类患者的治疗需求。
核输出蛋白1(XPO1)是富含亮氨酸的蛋白质从细胞核通过核孔复合体进入细胞质的主要转运受体蛋白,在DLBCL中发现XPO1过度表达2。塞利尼索
(商品名:希维奥
®)是全球首个获批上市的口服选择性核输出蛋白抑制剂(SINE),经美国食品药品监督管理局(FDA)批准用于治疗复发或难治性(R/R) DLBCL,塞利尼索的上市,为DLBCL患者提供了全新的选择。值此之际,医脉通特邀湖南省肿瘤医院李亚军教授分享塞利尼索治疗高侵袭性B细胞淋巴瘤伴CNS复发和DLBCL伴TP53突变的2个病例体会,湖南省肿瘤医院周辉教授对病例进行点评!
病例1:高侵袭性B细胞淋巴瘤伴CNS复发
患者,男,78岁,确诊高侵袭性B细胞淋巴瘤(倾向DLBCL)4年余,一线经过R-CHOP免疫化疗及局部放疗,持续完全缓解(CR)3年余,CNS复发来诊。既往史包括冠心病血管支架植入术、慢性乙型肝炎、前列腺增生和阑尾切除手术史。
基线病理诊断:(右耳后肿块)符合NHL,B细胞性,CD5(+),考虑高侵袭性B细胞淋巴瘤,倾向DLBCL,不能完全排除套细胞淋巴瘤(变异型)。
免疫组化:CD20(+),PAX-5(+),BCL-2(+),CD5(+),BCL-6(部分+),C-MYC(+,约40%),MUM-1(+,约20%),Cyclin D1(部分弱+),CD3(-),CK(-),CD10(-),CD21局灶FDC网(+), Ki-67(+,约50-60%)。
临床诊断:高侵袭性B细胞淋巴瘤,倾向DLBCL(非生发中心型),化放疗后复发(CNS受侵)。
既往治疗方案及疗效
患者既往经历三线治疗,治疗方案及疗效如下表所示:

既往方案疗效总结:患者一线治疗后达到CR,CNS复发后使用R-MT和R-MTO方案均未使患者深度缓解,且一个月内疾病再次进展。
四线治疗前辅助检查
脑MRI:右侧颞叶深部、右侧基底节区肿块范围较前增大。脑白质变性,左侧额叶腔梗灶。
超声:双侧颈部、双侧锁骨上区、双侧腋下区、双侧腹股沟区未见明显增大淋巴结;左室前壁室壁运动减弱、欠协调,提示:缺血性改变可能。
CT:右腋下、双肺门及纵隔内多发小淋巴结同前。甲状腺内结节同前。双肺炎性病变较前增多。
四线治疗
塞利尼索(40mg,QW)联合替雷利珠单抗
(200mg)和奥布替尼
(100mg,QD)方案,1个疗程。
放疗,计划肿瘤靶区(PGTV)4200cGy/14次,计划靶区(PTV)3500cGy/14次。
塞利尼索(40mg,QW)联合替雷利珠单抗(200mg)和奥布替尼(100mg,QD)方案,1个疗程,疗效评估达到CR。
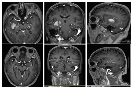
治疗约60天后,MRI对比图如下所示:

上. 三线治疗后,疾病进展后的MRI图
下. 四线治疗后,达到CR的MRI图
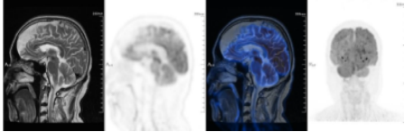
第3-8周期使用塞利尼索(40mg,QW)联合替雷利珠单抗(200mg)和奥布替尼(100mg,QD)方案治疗。治疗期间复查颅脑PET/MRI和全身PET/CT评估疗效:持续CR。



上图、中图:颅脑PET/MRI图
下图:全身PET/CT图
总结
该患者为高侵袭性B细胞淋巴瘤继发CNS受侵患者,既往接受三线治疗,一线治疗获得CR,但在CNS复发后使用R-MT化疗方案后并未获得缓解,加用奥布替尼后获得短暂缓解后迅速进展。此次CNS病灶再度进展后,使用2个疗程塞利尼索联合替雷利珠单抗和奥布替尼夹心放疗方案,患者获得CR。此后继续塞利尼索联合替雷利珠单抗和奥布替尼方案巩固治疗6周期,患者获得持续CR。
病例2:DLBCL伴TP53突变
患者,男,58岁,于2021年10月底跑步致左侧大腿拉伤,疼痛明显,遂就诊于当地医院行全身CT发现回盲部占位,并左侧耻骨上支转移瘤。
辅助检查
病理:(左腹股沟淋巴结)免疫组化:CD20(+);CD19(+);PAX-5(+);BCL-2(+,>70%);C-MYC(+,>40%);BCL-6(+,<20%);CD5(部分+);CD21(灶弱+);CD38(小区+);P53(+,>80%)MUM-1(+,<20%);Kappa(+);Lambda(-);TdT(-);CD30(-);CD10(-);CD3(-);EMA(-);CKpan(-);CyclinD1(-)、SOX11(-);Ki-67(+,约70-80%)、EBER原位杂交(-)。符合DLBCL,B细胞性,高侵袭性,首先考虑DLBCL(CD5[+])。
二代基因测序:TP53突变。
MYC、BCL2、BCL6易位FISH检测阴性。
骨髓检查:未见异常。
临床诊断:DLBCL(非生发中心型,双表达,CD5阳性,TP53突变)IVA期(回肠、多处淋巴结、多处骨质、左肺受侵)aaIPI 1分,低危组,CNS-IPI 1分,低危组。
既往方案疗效总结
患者于2021年11月3日-2021年11月24日接受共2个疗程的R-CHOP方案治疗,最佳疗效为SD。
二线治疗
塞利尼索(40mg,QW)联合地西他滨
(17mg,D1-5),以及利妥昔单抗
(700mg,D0)联合吉西他滨
(1.4g,D6、D10)、奥沙利铂
(140mg,D6)和地塞米松
(15mg,D6-10)(R-Gemoxd)方案,共2个疗程。
PET-CT复查结果显示,原双侧腋窝淋巴结显示不清;原C7、双侧肱骨、多个胸椎、胸骨、多处肋骨、多个腰椎、骨盆骨、左股骨上段骨质破坏已不明显,PET示代谢较前明显降低(Deauville 3分);原回肠肠壁增厚已不明显;原左臀及左大腿根部骨骼肌肉内多发结节异常放射性浓缩影已不明显,疗效评估达到CR。


上. 基线PET-CT;
下. 塞利尼索联合地西他滨和R-Gemoxd 2疗程后PET-CT
后续治疗
患者使用第3周期塞利尼索联合地西他滨和R-Gemoxd方案进行化疗后,行T细胞采集,拟进行CAR-T细胞治疗,随后再次使用1个疗程塞利尼索联合地西他滨和R-Gemoxd方案化疗,复查PET/CT显示:持续CR。回输CAR-T细胞后复查PET/CT显示:持续CR。


上图:CAR-T治疗前PET/CT显示:CR
下图:CAR-T回输后1月复查PET/CT显示:CR
总结
该患者为高危DLBCL,伴多个预后不良因素:IV期、CD5(+)、双表达、TP53突变,一线治疗使用2个疗程R-CHOP方案后达到SD。二线治疗使用2个疗程塞利尼索联合地西他滨和R-Gemoxd方案后疗效显著,局部肿瘤已处于代谢抑制状态,患者获得CR,并成功桥接CAR-T治疗。可见,含塞利尼索的联合方案治疗TP53突变的高危DLBCL患者有助于实现良好的治疗结局。
李亚军教授用药体会
病例一老年高侵袭性B细胞淋巴瘤患者使用R-CHOP一线治疗后达到CR,CNS复发后采用R-MT和R-MTO方案均未获得有效缓解。根据美国国立综合癌症网络(NCCN)指南的推荐考虑含塞利尼索的联合方案。经了解,塞利尼索分子量为443.3kd,可有效穿过血脑屏障,且一项基础研究发现,塞利尼索可显著延长原发中枢神经系统淋巴瘤(PCNSL)小鼠生存时间3,因此,在四线治疗时采用含塞利尼索的联合方案,使患者获益显著,疗效评估达到CR。第二例患者为合并多个高危因素的DLBCL患者,一线治疗使用R-CHOP方案2疗程治疗后仅获得SD,既往研究提示TP53突变与CR率低相关,因此二线治疗选择更换方案,给予塞利尼索联合地西他滨和R-Gemoxd,共2个疗程,患者疾病快速得到有效缓解,疗效达CR,随后进行CAR-T细胞巩固治疗,持续维持CR。
对于多线复发/难治且具有预后不良因素的DLBCL患者,临床治疗选择有限。跳出既往固定的治疗模式,选择全新机制药物塞利尼索,该药物可通过多种通路介导发挥抗肿瘤作用,联合其他作用机制的药物有望为患者带来更多获益。
周辉教授点评
DLBCL伴CNS受侵或复发是一种严重且常见的致死性事件,可导致患者OS显著缩短,通常<6个月,造成这种不良结局的主要原因是由于缺乏能穿过血脑屏障的有效治疗方法3。TP53突变也是DLBCL患者的独立预后不良因素4。DLBCL伴TP53突变的患者生存率低,可能与对化疗药物不敏感、失效和肿瘤复发的发生有关5。对于伴CNS复发和伴TP53突变的DLBCL患者的治疗而言,目前缺乏足够的前瞻性数据,因此制定其最佳治疗方案具有挑战性。
靶向治疗、细胞治疗、免疫治疗等可能会改善此部分患者的生存现状3。对于伴有CNS复发的DLBCL患者而言,找到能穿过血脑屏障直击CNS受侵部位的药物至关重要。塞利尼索作为全新作用机制的XPO1抑制剂与XPO1结合,可激活p53和 IκB等抑癌蛋白,降低胞浆C-MYC和BCL-x等致癌蛋白mRNA的水平,激活GR通路,同时为特殊亚型(如双/三打击和TP53突变)的DLBCL患者带来新的治疗选择。塞利尼索作为分子量为443.3kd的小分子靶向药物,能够有效穿过血脑屏障,可为DLBCL伴CNS复发患者的持续获益做出贡献。
病例一,高侵袭性B细胞淋巴瘤患者,一线治疗后达到CR,但CNS受侵后,后续二、三线治疗都未能使患者再次获得持续缓解。四线治疗时,结合塞利尼索全新作用机制及指南推荐,给予患者含塞利尼索的联合方案,疗效评估达到CR。病例二,合并多个不良预后因素的DLBCL患者,在使用R-CHOP进行一线治疗后疗效仅为SD,在二线治疗时给予患者含塞利尼索的联合方案,患者达到CR。塞利尼索在以上两例特殊亚型的DLBCL患者中显示出令人鼓舞的疗效,但在更多患者中的使用情况仍需进一步探索。希望有更多临床研究可以证实塞利尼索能为特殊亚型DLBCL患者带来有效缓解,希望塞利尼索能造福更多的DLBCL患者!

李亚军 教授
湖南省肿瘤医院淋巴瘤血液内科
副主任医师、肿瘤学博士
CSCO抗淋巴瘤联盟青年委员会委员
中国老年保健协会淋巴瘤专业委员会委员
湖南省抗癌协会淋巴瘤专业委员会秘书
湖南省抗癌协会淋巴瘤专业委员会青年委员会副主任委员
湖南省抗癌协会血液肿瘤专业委员会委员
湖南省抗癌协会肿瘤临床化疗专业委员会委员
发表专业论文多篇,参与多项国家自然科学基金,主持省、市厅级科研课题5项。

周辉 教授
湖南省肿瘤医院淋巴瘤血液内科主任
肿瘤学博士、教授、主任医师、硕士生导师
湖南省抗癌协会淋巴瘤专业委员会主任委员
湖南省淋巴瘤诊疗中心主任
中华医学会肿瘤学分会淋巴瘤学组委员
中华医学会肿瘤学分会肿瘤转化医学组委员
中国医促会肿瘤内科分会委员
中国抗癌协会淋巴瘤专业委员会常委
湖南省医学会肿瘤内科学专业委员会副主任委员
CSCO抗淋巴瘤联盟委员
CSCO抗白血病联盟委员
中国抗癌协会青年理事会理事
注:希维奥®为塞利尼索商品名。2021年12月,中国国家药品监督管理局(NMPA)批准了德琪医药的塞利尼索的新药上市申请,通过与地塞米松联用,治疗既往接受过治疗且对至少一种蛋白酶体抑制剂,一种免疫调节剂以及一种抗CD38单抗难治的复发或难治性多发性骨髓瘤
(R/R MM)。
2020年6月,美国食品药品监督管理局(FDA)批准塞利尼索治疗二线以上弥漫性大B细胞淋巴瘤(DLBCL)患者;除此之外,塞利尼索还获得多国批准,用于治疗复发难治性DLBCL患者。
以上观点系专家临床诊断经验,文章中所涉及的案例为教学案例且已进行匿名化处理。
文章内容仅限医疗卫生专业人士学术交流使用,如为非医疗卫生专业人士请主动退出浏览与阅读,否则由此产生的相关风险与后果应自行承担。
参考文献:
[1] 何天珩,等.弥漫性大B细胞淋巴瘤继发中枢神经系统侵犯的诊疗进展. 中国肿瘤临床. 2021,48(15):797-801.
[2]Galinski B, et al. Transl Oncol. 2021 Aug;14(8):101114.
[3]Jiménez I, et al. J Neurooncol. 2020 Aug;149(1):13-25.
[4]俞文娟,等. 弥漫大B细胞淋巴瘤
患者蛋白表达检测的预后意义. 中华血液学杂志. 2017,38(9):784-788.
[5]刘传才,等. TP53的表达对弥漫大B细胞淋巴瘤患者生存情况的评估价值分析. 癌症进展. 2018,16(13):1654-1657,1683.