
肺大泡过度充气,你见过没?|病例分享
概述
肺大泡患者接受非胸外科手术时,其麻醉管理具有一定的挑战性,主要关注的是避免正压通气引起的肺大泡破裂和围手术期张力性气胸
。今天,一起学习1例肺大泡患者接受双腔管进行单肺通气的腹腔镜
胆囊切除术,从而导致另一侧未通气肺的肺大泡过度充气。
病例描述
1名75岁男性急性胆囊炎
患者计划接受腹腔镜胆囊切除术。患者有肺气肿
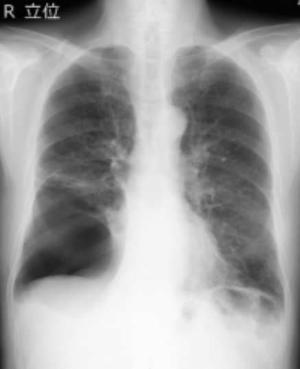
和自发性气胸病史,日常活动并没有受限制。术前呼吸功能检查显示轻度阻塞性障碍。术前胸片显示一个肺大泡泡占据了右侧胸腔下半部分(图1)。

图1. 胸片显示一个肺大泡泡占据了右侧胸腔下半部分
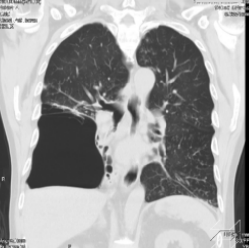
CT显示肺大泡压迫了右肺中叶和下叶,导致肺不张
;但是,右肺上叶充气良好(图2)。

图2. CT显示肺大泡压迫了右肺中叶和下叶,导致肺不张;但是,右肺上叶充气良好
为防止腹腔镜胆囊切除术期间肺大泡破裂和张力性气胸,医生计划在全身麻醉下,对患者进行单肺通气管理。异丙酚80mg、芬太尼100ug、罗库溴铵
60mg诱导麻醉,并维持4–5% 地氟醚和瑞芬太尼
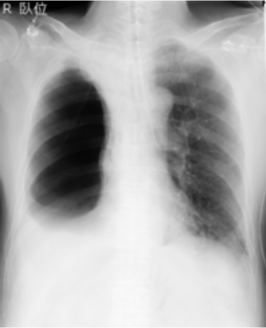
0.13–0.18ug/kg/min。插管后立即开始单肺通气,并在整个手术过程中持续进行。整个手术过程中外周血氧饱和度为98-99%。拔管前的胸片显示右侧胸腔透光度高(图3)。

图3. 胸片显示右侧胸腔透光度高
医生怀疑肺大泡破裂导致气胸;但是,由于血流动力学和呼吸状态稳定,未置入胸腔引流管
。 胸部 CT显示右肺肺不张,少量胸腔积液
(图4)。

图4. CT显示右肺肺不张
回到手术室,尝试使用中等压力的肺复张策略来缓解肺不张。但是,X线显示右肺没有扩张。 随后,医生决定在自主呼吸下观察过度膨胀的肺大泡,并在患者全身麻醉苏醒后拔管。拔管后患者呼吸状态正常,未见明显异常。术后第3天的X线与术前相似。患者于术后第7天出院。
总结
区分肺大泡过度充气和气胸具有挑战性。一般来说,肺大泡过度充气时和气胸很相似,但肺大泡过度充气时一般不需要置入胸腔引流管。在本病例中,CT有效地区分了肺大泡过度充气和气胸,使患者避免不必要的胸腔引流管的置入。
参考文献:
1.Mayahara T, Fukuoka R, Shimada N, Nishiyama J. Spontaneous hyperinflation of a giant bulla of the non-ventilated lung during laparoscopic cholecystectomy under one-lung ventilation: a case report. JA Clin Rep. 2022 Aug 9;8(1):62. doi: 10.1186/s40981-022-00552-1. PMID: 35943611; PMCID: PMC9363544.