
病例挑战|12年前诊断乳腺癌,12年后因急性阑尾炎入院,病理却诊断……
医脉通编辑撰写,未经授权请勿转载。
一般情况
患者,女,51岁,白人。
主诉及现病史
患者持续性右下腹痛伴恶心1天,坐轮椅由丈夫推送至急诊科,入院时体温37.7℃。
既往史及治疗史
12年前诊断IV期乳腺癌
,经表阿霉素和环磷酰胺
序贯紫杉醇
(EC×4-D×4)方案新辅助化疗后,行右侧乳房切除术及腋窝淋巴结清扫术,术后病理示:三阴性乳腺癌;淋巴结转移3枚(3/15)。术后序贯放疗。2年前,患者因左乳肿物来诊,确诊为左乳浸润性小叶癌(ER+/PR+,HER2-,GCDFP-15+),伴腰椎病灶免疫组化提示骨内有非典型上皮细胞浸润,病理与左乳病灶一致。患者行来曲唑
和ribociclib治疗,现病情稳定。
家族史
否认乳腺癌家族史。
体格检查
体温:37.7℃,阳性体征,局部右下腹痛和压痛。
辅助检查
影像学检查
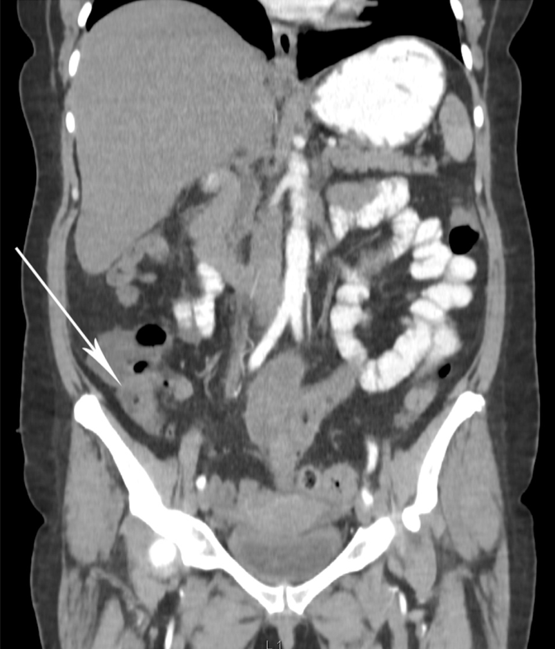
腹部CT
显示阑尾增大伴阑尾周围脂肪条索样改变,提示急性阑尾炎(图1)。


图1. 腹部CT
探查性腹腔镜
检查,发现阑尾炎性穿孔,周围大网膜覆盖。
诊断
诊断依据
阑尾组织术后病理为诊断金标准。
目前诊断
阑尾乳腺癌转移伴炎症
治疗
患者行阑尾切除术。无腹腔内转移。病理检查
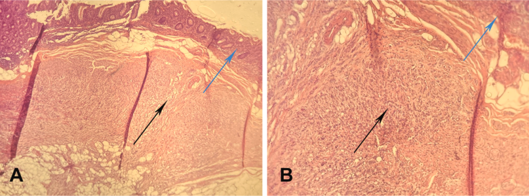
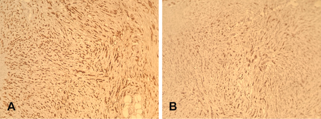
显示,阑尾尖端发现半分化癌病灶一处(图2和3),提示浆膜转移癌侵及肌层,免疫组化结果:ER+/PR+,GCDFP-15+,HER2-,提示左侧乳腺癌转移。患者术后恢复顺利,于术后3日出院。

图2. 苏木精伊红(HE)染色,4×(A)和10×(B),黑色箭头显示乳腺癌转移灶,蓝色箭头显示正常阑尾黏膜

图3. 免疫组化染色,ER(A)阳性,GCDFP-15(B)阳性
经多学科肿瘤委员会会议讨论,建议采用内分泌治疗和靶向治疗。
讨论
乳腺癌最常见的转移部位是淋巴结、肺、骨、脑和肝脏,累及胃肠道较少见。而阑尾转移非常罕见,原发癌确诊和转移灶发生可能间隔很多年。既往研究表明,乳腺癌转移及扩散受两个重要因素的影响:第一是ER状态,ER阴性肿瘤向胃肠道转移的可能性更高,第二是小叶癌更容易向胃肠道转移。
1946年,Oldfield报道了一例表现为急性阑尾炎的转移性乳腺癌(MBC)病例。此后,Connor等回顾性分析,发现行阑尾切除术的7970例患者中,病理诊断为阑尾肿瘤的患者共74例,其中仅11例为转移癌,且研究发现最常见的临床表现为急性阑尾炎(49%)。Yoon等人也报道了139例继发性阑尾肿瘤,其中最常见的原发肿瘤来源为卵巢(56例)。
单发阑尾转移是相当罕见的。即使在有癌症病史的患者中,急性阑尾炎等阑尾良性疾病和阑尾原发肿瘤的发生率也远高于阑尾转移癌,且临床表现难以区分。早期急性阑尾炎的症状往往不确切,且在进展期,阑尾炎性穿孔和肿瘤性穿孔难以鉴别。目前,临床特异性检查手段较少,常以CT作为阑尾肿瘤诊断金标准。此外,PET扫描有助于发现未出现腹痛等临床症状患者的阑尾转移灶。
虽然阑尾炎是一种炎性疾病,但对于患有晚期乳腺癌病史的患者,就诊时须考虑到肿瘤转移的可能,避免漏诊误诊。目前临床上关于此类患者的治疗指南尚属空白,多学科会诊可为患者带来更优获益。
参考文献:Hughes VG, Osácar P, Ramallo D. Acute appendicitis secondary to metastatic breast cancer. 12 Years after first primary tumor diagnosis. A case report. Int J Surg Case Rep. 2022 Jul 25;97:107452. doi: 10.1016/j.ijscr.2022.107452. Epub ahead of print. PMID: 35905680; PMCID: PMC9403286.