
极易被误诊的特殊类型肿瘤:细说胃神经内分泌肿瘤
作者:蓝鲸晓虎
本文为作者授权医脉通发布,未经授权请勿转载。
导读
神经内分泌肿瘤(neuroendocrine tumors,NET)是一类起源于肽能神经元和神经内分泌细胞的具有高度异质性的肿瘤,胃肠道是NET最常见的发病部位之一,约占全部NET的50.6%¹。胃NET(gastric neuroendocrine tumors, g-NETs)具有高度异质性和复杂性,长期以来对其认识局限。近年来g⁃NETs发病率较前明显升高,对其认识逐渐加深,但仍存在许多尚未解决的问题困扰临床医生。本文就以一病例切入,对g⁃NETs的流行病学、临床表现、诊断标准、治疗方法等最新进展进行介绍。
病例探案
患者女,55岁,因“间断性腹胀、反酸、呃逆3个月余”就诊,消化内科门诊胃镜检查
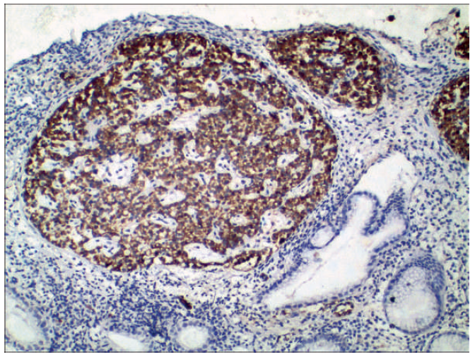
示:“胃底、胃体可见多发大小约0.5~1.5 cm 的黏膜隆起,表面光滑,色红”。病理活检提示“嗜铬粒素CgA(+)、突触素Syn(++)、Ki67<10%”(图1),诊断为NET(G2)入院。

图1 肿瘤免疫标志物的表达:嗜铬粒素CgA(+)(SP×100)²
查体:贫血
貌,上腹部及脐周轻压痛、无反跳痛。化验:血红蛋白
81 g/L;叶酸
10.3 ng/mL;血生化、凝血时间
及肿瘤标志物等检验结果均未见异常。进一步行超声内镜检查
示 “胃底、胃体病灶处黏膜层、黏膜肌层结构不清呈中等偏低回声,黏膜下层、固有肌层、浆膜层完整”。腹部CT
检查未见肝、胆、胰、脾、肾等脏器异常,未见淋巴结肿大及转移灶。追问病史患者近期有间断面部潮红,出汗等症状。建议患者行外科手术治疗。但患者因体质较弱,要求内镜下治疗并签署知情同意书,行胃多发病灶内镜下黏膜切除术(endoscopic mucosal resection,EMR)。术后病理提示为神经内分泌肿瘤。
3个月后,患者因再次出现阵发性面部潮红、出汗等症状来院复查。胃镜示:“胃底、胃体可见3枚大小约0.5 cm×0.6 cm半球形黏膜隆起”。患者仍要求内镜下治疗,故再次予EMR术,病理提示仍为神经内分泌肿瘤。术后上述症状消失。
5个月后复查胃镜示:“胃底、体上部多发0.5~1.0 cm隆起性病变”,病理活检提示神经内分泌肿瘤,故建议患者到普外科行手术治疗。患者遂接受外科手术,行近侧胃大部分切除术。术中见胃底、胃体多个大小不等隆起性病变,最大者约1.0 cm×0.8 cm,表面光滑、质软。术中探查肝、胆、胰、脾未见明显异常。术后病理提示神经内分泌肿瘤,癌组织部分侵及黏膜下层,上下切缘未见癌组织,淋巴结未见癌转移(0/2)。随访至今,未见远处转移,最近一次胃镜提示:食管-胃吻合口黏膜光滑,下方小弯侧可见一大小约1.5 cm×3.0 cm黏膜隆起。超声胃镜提示:吻合口下方隆起处黏膜层、黏膜下层结构不清呈中等偏低回声,局部未见肿大淋巴结(图2)。病理结果示:慢性炎症并灶性神经内分泌肿瘤复发。

图2. 术后随访超声胃镜提示:未见淋巴结转移
胃NETs
NETs是一组具有高度异质性的肿瘤,起源于胚胎的神经内分泌细胞,可发生于全身许多器官和组织,消化系统最为常见。g-NETs属于胃肠胰神经内分泌肿瘤(GEP-NETs)。GEP-NETs的发病率约占胃肠道肿瘤的2%,并呈逐年递增趋势。g-NETs约占GEP-NETs的9%。
发病机制
g-NETs起源于处于增殖状态的肠嗜铬样细胞,这些细胞最初发现于胃黏膜层的泌酸细胞中,主要位于胃体部。促胃液素能使肠嗜铬样细胞激活并释放组胺,后者作用于胃壁细胞使之分泌胃酸。促胃液素还可以营养肠嗜铬样细胞,在高胃泌素
血症的环境下(图3),肠嗜铬样细胞逐渐增生和肥大,从肠嗜铬样细胞的肥大-增生-不典型增生这个通路最终演变成g-NETs³。

图3. 高胃泌素血症环境³
gNETs的诊断
g-NETs分为非功能性和功能性两大类。非功能性胃NETs主要表现为非特异性的消化道症状,如腹痛、腹胀和腹部肿块等;功能性g-NETs主要表现为肿瘤过量分泌激素如胃泌素等物质引起的相关临床症状,包括难治性消化性溃疡
和腹泻
等。胃镜、超声胃镜、CT、生长抑素
受体显像(somatostatin receptor scintigraphy, SRS)和PET等影像学检查有助于明确肿瘤的位置、大小、起源、局部浸润和转移等情况。SRS是近年发展较快、敏感度和特异度均较高的胃NET原发和转移灶定位诊断技术,同时还可预测肿瘤对生长抑素类药物或核素治疗的敏感度。对于生长抑素受体表达阴性的g-NETs.可采用以¹¹C-5-羟色胺
(¹¹C-5-hydmxytryptophan, ¹¹C-5-HTP)等为示踪剂的PET来进行诊断。
对于g-NETs肿瘤标志物的检测,铬粒素A(chromogranin A, CgA)是目前公认最有价值的NETs通用肿瘤标志物。血清或血浆CgA升高诊断NETs的敏感度和特异度均在70%~ 100%之间,并可用于疗效监测及随访,但目前国内开展CgA检测的医院较少。其他如胃泌素和5-羟色胺等可作为相应的胃NETs肿瘤特异性标志物。
g-NETs分型和临床病理特征
病理学诊断仍然是g-NETs的诊断金标准。g-NETs在临床上可广义地被分为高分化和低分化g-NETs两种。高分化胃NETs较为常见,其临床分型分为I、Ⅱ和Ⅲ型,I型和Ⅱ型g-NETs血清胃泌素水平增高,一般预后较好:而Ⅲ型g-NETs血清胃泌素水平正常,相对预后较差。低分化g-NETs如胃小细胞癌等较为少见,恶性程度很高,预后极差。
WHO 2019年更新的消化系统NET病理分类中明确了g-NETs的分型及其临床病理特征⁴,见表1。
表1. 2019年WHO g-NETs分型和临床病理特征⁴

胃NETs的治疗
手术治疗
手术切除仍然是治疗g-NETs的首选方法。对于局限型g-NETs,根据临床分型,有以下3种方案⁵:
•对于I、Ⅱ型g-NETs,肿瘤直径小于1 cm且少于5个病灶,可行内镜下切除,6个月后胃镜随访;
•对采用第一种方案治疗者随访时复发或I、Ⅱ型g-NETs、肿瘤直径大于1cm或多于5个病灶者,可行胃窦部切除和局部切除术,6个月后胃镜随访,如复发则行全胃切除;
•对于Ⅲ型g-NETs,建议行胃大部切除或全胃切除术加区域淋巴结清扫
对于进展期肿瘤,姑息性手术可达到降低肿瘤负荷和减轻并发症的目的。对于只有肝脏转移的g-NETs患者,可选择肝叶楔形切除、TACE和RFA等治疗手段。
非手术治疗
晚期患者可综合运用生物治疗、化学治疗、靶向治疗及核素治疗等⁶⁻⁷
•化疗
按WHO病理分类标准,分化较好的胃NETs对化疗的敏感性较差,对于分化差的胃神经内分泌癌(NEC)可采用细胞毒药物作为一线治疗,常用顺铂
一依托泊苷
(EP方案),其总有效率在53%~67%之间。指南推荐化疗主要适用于NET G2级(Ki-67 >15%)、肿瘤具有较高侵袭性者。
•生长抑素类药物
近年来,生长抑素类药物(somatostatin analogue, SSA)成为治疗包括胃NETs在内的GEP-NETs的研究热点。目前,临床主要使用长效SSA如长效奥曲肽
(善龙)等对GEP-NETs进行治疗,能够有效提高患者的生存期。SSA可降低分化好的、转移性NET的肿瘤进展风险,有抗肿瘤增殖的作用,因此可作为g-NETs一线治疗药物,但长期应用需警惕胆囊结石、甲状腺功能减低等不良反应。
•靶向治疗
分子靶向治疗药物依维莫司
、索凡替尼
和贝伐单抗等均在GEP-NETs中进行了临床试验并取得了一定成果(主要以胰腺NETs为主)。美国FDA 已经批准依维莫司应用于SSA或核素治疗后进展的胃肠道NET患者,因此二线药物可选择依维莫司进行全身治疗。
•放射性核素治疗
无法手术切除的胃神经内分泌肿瘤原发灶,或已发生转移的病灶而内科治疗效果欠佳、生长抑素受体显像(SRI)阳性的患者,生长抑素受体介导的放射性核素治疗(peptide receptor radionuclide therapy,PRRT)是建议考虑的选择。利用放射性核素标记的生长抑素类似物,杀伤表达SSTR 的肿瘤细胞。与大剂量长效奥曲肽相比,PRRT可显著延长患者的无进展生存时间。目前PRRT推荐用于SSA或依维莫司等药物治疗失败的分化良好的进展期g-NET。
g-NETs 的分型治疗原则如下图所示:

图4 g-NETs 的分型诊治流程图⁴