
【说文解泌】丁森泰教授团队成果:基于中国专家共识的高级别尿路上皮癌HER2表达及替雷利珠单抗联合ADC的初步疗效
前言
大量研究发现人类表皮生长因子受体-2 (HER2)在尿路上皮癌中表达水平较高,但目前没有统一使用的评分系统。本期【说文解泌】邀请山东省立医院泌尿外科丁森泰教授,解读其团队近期发表在Frontiers in Pharmacology杂志的研究结果。该研究基于2021年发布的《中国尿路上皮癌HER2检测临床病理专家共识》,探讨了HER2在高级别尿路上皮癌中的表达水平及临床意义。此外,还观察了HER2靶向抗体偶联药物(ADC)维迪西妥单抗
(DV)与PD-1抑制剂替雷利珠单抗
联合用于局部晚期或转移性尿路上皮癌患者的预后。

研究背景
高级别尿路上皮癌(UC)常伴有间质浸润,预后较差。而局部晚期或转移性患者5年生存率仅为4.6%-34%。目前,晚期尿路上皮癌的治疗方式包括化疗、免疫治疗和靶向治疗。替雷利珠单抗是国内最早获得晚期尿路上皮癌适应症的免疫治疗药物,近年来,另一种靶向HER2(也称ERBB2)的ADC被开发应用于临床。HER2在包括尿路上皮癌在内的各种恶性肿瘤的发病和进展中起着至关重要的作用,但现有的HER2表达检测方法主要依赖于乳腺癌
评估标准,缺乏标准化的评分体系,有必要进一步验证。在本文中[1],分析了HER2表达与高级别UC的临床病理关系,并探讨PD-1抑制剂替雷利珠单抗与靶向HER2的ADC药物维迪西妥单抗(也称为RC48)联合治疗的疗效。
研究方法
本研究纳入2019-2022年在山东第一医科大学附属山东省立医院病理诊断为高级别尿路上皮癌的所有病例,病理标本通过各种手术方式获得,包括经尿道膀胱肿瘤切除术、部分膀胱切除术、根治性膀胱切除术、输尿管节段切除术或肾盂输尿管全切除术。
为了评估联合治疗的疗效,纳入了2020-2022年期间接受治疗的患者。入组标准为:1)年龄≥18周岁;组织或细胞学证实的局晚期或转移性疾病,至少存在一个可测量的肿瘤病灶;2) ECOG≤1;3) 允许既往全身化疗失败患者入组;4)允许先前使用过PD-1/PD-L1抑制剂的患者入组。排除标准包括:1)缺乏关键临床数据;2)无法检测HER2表达或缺少病理切片;3)同时存在其他恶性肿瘤;4)既往接受过酪氨酸激酶抑制剂治疗。
根据《中国尿路上皮癌HER2检测临床病理专家共识》(2021年版)[2]评分标准,对石蜡包埋标本进行HER2免疫组化(IHC)判读:

纳入本研究的患者接受替雷利珠单抗与DV联合治疗。具体方案为替雷利珠单抗200 mg每3周给药,DV 2.0 mg/kg每2周给药,持续治疗直到患者因疾病进展、无法耐受的副作用、死亡或撤回知情同意而停药。患者接受基线体格检查。短期评价指标包括客观缓解率(ORR)和疾病控制率(DCR),长期评价指标为中位无进展生存期(PFS)和总生存期(OS),每4个治疗周期进行疗效评估(RECIST 1.1版)。
研究结果
HER2表达
本研究共纳入185例高级别UC患者,患者基线情况如下:

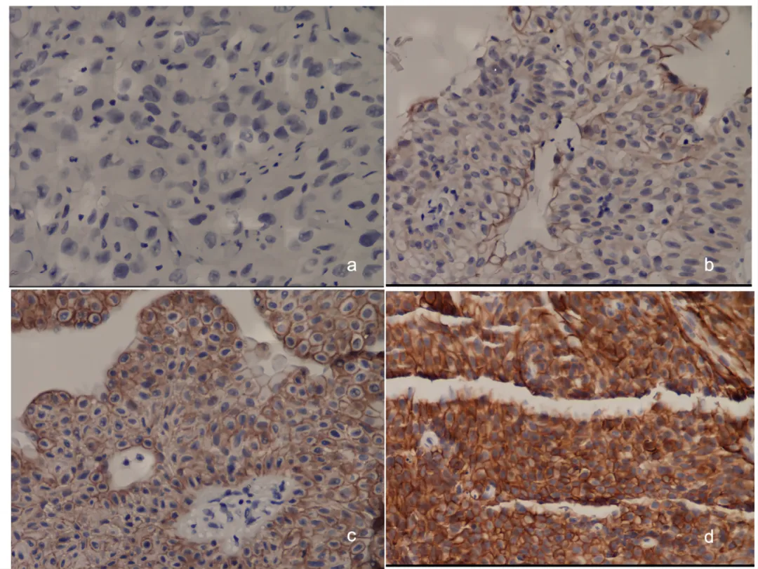
在185例UC手术标本中,159例(86.0%)观察到HER2蛋白表达(图1)。其中32例(17.3%)显示HER2 1+表达,110例(59.5%)显示HER2 2+表达,只有17例(7.6%)显示HER2 3+表达。

图1 UC中HER2表达
高级别膀胱肿瘤组织有127例,其中115例(90.6%)显示HER2蛋白表达:21例(16.5%)表达HER2 1+,79例(62.2%)表达HER2 2+,16例(12.6%)表达HER2 3+;此外,高级别输尿管肿瘤组织有36例,其中25例(69.4%)显示HER2蛋白表达。高级别肾盂肿瘤组织22例,其中19例(86.4%)显示HER2蛋白表达。(图2)

图2 HER2在尿路上皮癌不同原发部位的表达
185例高级别UC患者的HER2阳性率(IHC 2+和3+)为68.65%。本研究分析显示,患者的临床分期与HER2阳性呈正相关(p=0.019)。然而,HER2阳性与性别(p=0.345)、年龄(p=0.289)、肿瘤大小(p=0.107)、吸烟状况(p=0.175)、肌层侵犯(p= 0.133)、区域淋巴结转移(p=0.143)或肿瘤原发部位(p=0.066) 无显著相关性。Logistic回归分析显示,所有检测的血液指标均未显示HER2+表达的预测价值(图3)。

图3
联合治疗疗效
16名一线治疗失败的局部晚期/转移性UC患者参加了这项研究,中位年龄为66岁。中位随访时间14(1.0-19.0)个月后,根据RECIST 1.1标准,1例患者达到完全缓解(CR), 9例患者达到部分缓解(PR),4例患者表现为疾病稳定(SD), 2例患者表现为疾病进展(PD),ORR为62.5%,DCR为87.5%。在10例HER2 2+水平表达的HER2阳性患者中,ORR高达70%。中位无进展生存期及总生存期尚未达到。

图4 与基线相比患者肿瘤大小的变化
11例患者报告了DV治疗后的副作用,其中最常见的是触觉
减退(5/16)、脱发(4/16)、白细胞减少(4/16)、虚弱(4/16)和消化道症状,如恶心和厌食(4/16)。未发生3级或更高级别的不良事件。
研究结论
建立标准化的评分系统对于准确识别适合抗HER2 ADC治疗的个体至关重要。本研究采用了一种新的中国标准来评估高级别UC患者中HER2的表达率,目的是促进UC研究中评估HER2表达的一致性。研究结果表明HER2蛋白在尿路上皮癌中广泛表达,替雷利珠单抗与DV的联合为晚期尿路上皮癌患者提供了一种既有效又可耐受的治疗方案。
专家点评
尽管已知HER2在多种肿瘤中过度表达,但关于其作为尿路上皮癌的致癌驱动因素或预后标志物的作用,仍有相互矛盾的数据,HER2在尿路上皮癌中的表达检测也尚未纳入常规临床实践。根据我们的研究,在UC的不同临床阶段中,HER2+的百分比存在显著差异。值得注意的是,HER2过表达被认为是尿路上皮肿瘤发展的早期事件,在随后的肿瘤进程中很少发生。因此,可能与肌层浸润深度或淋巴结转移的相关性有限。
DV可作为表达HER2的局部晚期或转移性UC患者二线治疗选择。在临床前研究中观察到,PD-1抑制剂与DV的组合促进免疫记忆的形成,并对肿瘤的再次挑战(tumor rechallenge)提供了肿瘤特异性的长期保护。临床数据也支持这一点,一份关于RC48和pembrolizumab联合治疗晚期UC的报告(Xu等[3])显示患者获得CR和长期PFS(>12个月)。
同时需要分享的是,我们的研究存在几个局限性。首先,随访时间不足以观察到PFS或OS的数据。HER2阳性与UC长期预后之间的相关性尚不清楚。其次,晚期患者接受了ADC和替雷利珠单抗的联合治疗,而不是单独使用ADC,因为我们的目标是改善患者的预后。因此,需要随访更长期、更充分的数据以指导临床实践。