
李文瑜教授:CAR-T细胞治疗1例高龄伴顽固性感染DLBCL患者达CR,助力开拓治疗新思路
弥漫性大B细胞淋巴瘤(DLBCL)是最常见的侵袭性B细胞淋巴瘤,约占所有淋巴瘤的30%1。随着新药不断涌现,以R-CHOP方案为基础的治疗使DLBCL患者生存率得以提高,但仍有部分高龄、双打击等具有不良预后因素的患者疗效欠佳,亟待新的治疗方案。近年来,以靶向CD19 的嵌合抗原受体T(CAR-T)细胞治疗为代表的细胞免疫疗法正逐渐改变着血液肿瘤的治疗格局,给患者带来了新的治愈希望,特别是在淋巴瘤领域,取得较好成绩。本期特邀广东省人民医院李文瑜教授分享一例阿基仑赛治疗高龄伴顽固性感染DLBCL患者的诊治过程,并做出精彩点评。医脉通现将精彩内容整理如下,以飨读者。
一般情况
患者男,84岁。
主因“发现右侧颈部淋巴结增大4月余”于2023年6月入院。
现病史:患者于2023年2月发现右侧颈部淋巴结增大,外院行淋巴结穿刺术,术后病理提示DLBCL(非GCB组,双表型,TP53突变)。2023年3月至2023年5月行3个周期IR2方案,疗效评价为疾病平稳(肿瘤增大13%),后于2023年6月行R-mini CHOP方案治疗,化疗后患者自觉右侧淋巴结仍持续增大,为行进一步治疗入我院。
既往史:无特殊。
查体:神清,右侧颈部可触及肿大淋巴结,质地韧,活动度差,与周围分界不清,大小约7×4cm,余浅表淋巴结未及,心肺腹无异常。
实验室检查
血常规
:WBC 7.05×109/L,Hb 105g/L,PLT 262×109/L,NE 4.24×109/L。
血生化:ALB 36g/L,ALT 31U/L,AST 47U/L,LDH 300U/L。
凝血及炎症指标未见异常。
影像学检查
PET/CT:全身多发淋巴结肿大,伴糖代谢不同程度增高,右颈II、III区可见多个淋巴结融合成团,约2.7x2.8x6.5cm,鼻咽双侧咽鼓管圆枕处黏膜稍增厚,SUVmax:3.6,结合临床病史,符合淋巴瘤影像改变。
免疫组化:CD20(10%+),CD3(T细胞+),CD21(小灶+),CD79a(+)、CD5(T细胞+),Bcl-2(80%+),Bcl-6(10%+),CD10(-),MUM1(60%+),C-MYC(60%+),P53(90%+),Ki67(90%+),EBER(-)。
疾病诊断
DLBCL(非GCB组,双表型,ECOG体能状态评分2分)。
治疗历程
2023年7月15日起采集单个核细胞。
桥接治疗:予40mg甲泼尼龙
琥珀酸钠降低肿瘤负荷,2023年7月17日期予局部放疗36Gy。
2023年8月1日起加用XPO-1抑制剂40mg 2次/周 控制肿瘤进展。
2023年8月21日患者因出现发热
、咳嗽
、咳痰入院,行肺泡灌洗,结果提示曲霉菌感染,先后予莫西沙星
和伏立康唑
抗感染治疗,体温均无明显下降。
2023年9月4日起调整抗生素为两性霉素B
(使用前地塞米松
预处理,后调整为两性霉素B胆固醇硫酸酯复合物,疗程共6周)+亚胺培南+万古霉素
+复方磺胺
甲恶唑+西沙他星,夜间出现亢奋,思维奔逸,进行性加重,行头颅MRI检查后于9月6日至9月8日予替莫唑胺
抗肿瘤治疗,亢奋症状消失。
2023年9月13日至9月14日予氟达拉滨
20mg清淋治疗,9月18日回输CAR-T细胞,清淋及回输过程中持续予亚胺培南+万古霉素+复方磺胺甲恶唑+西沙他星+两性霉素B胆固醇硫酸酯复合物抗感染治疗,同时予左乙拉西坦
预防癫痫
,回输后出现1级细胞因子释放综合征(CRS)及免疫效应细胞相关神经毒性综合征(ICANS),予地塞米松 2mg qd一次后好转。
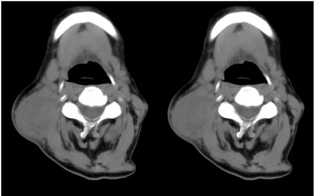
2024年1月15日PET/CT:原右颈II、III区淋巴结明显缩小,现仅示右颈血管鞘间隙呈轻度高代谢,程度近似纵隔本底(Deauville评分3分)。疗效评估为完全缓解(CR)(图1)。

图1. 影像学检查
*R-CHOP:利妥昔单抗
,环磷酰胺
,多柔比星
,长春新碱
,泼尼松
;IR2:伊布替尼
,利妥昔单抗,来那度胺
李文瑜教授点评
大多数DLBCL患者在≥60岁时确诊,三分之一的患者在>75岁时确诊[2-3]。老年患者通常具有肿瘤异质性强、合并症多、化疗耐受性差、疾病侵袭程度高、复发风险高等特点,常导致不良预后,生存结局较差[2-4]。此外,高龄与美国东部肿瘤协作组(ECOG)体能状态评分较高是临床试验中常见的排除标准,因此暂不明确各治疗方案在上述患者人群中的疗效[3,5]。一项针对复发或难治性大B细胞淋巴瘤(R/R LBCL)患者人群的国际多中心回顾性研究(SCHOLAR-1)显示:传统治疗方案下,在年龄≥65岁的患者人群中,中位总生存期(mOS)仅为6.9个月,2年OS率为19%;在ECOG体能状态评分≥2分的患者人群中,mOS仅为3.0个月,2年OS率为6%,表明传统治疗方案下老年和/或ECOG体能状态不佳R/R LBCL患者预后较差,提示需要探索新的有效治疗方案[6]。
近年来CAR-T细胞疗法发展迅速,成为复发/难治性淋巴瘤的重要治疗方法之一,可显著改善其生存期,为众多患者带来治愈的希望。ZUMA-7研究显示,对于原发难治或12个月内复发的LBCL成人患者,与二线标准治疗相比,CAR-T细胞疗法阿基仑赛显著改善了患者的无进展生存期(PFS)。其中,≥65岁 R/R LBCL 患者亚组分析的结果显示,阿基仑赛治疗组总缓解率(ORR)(88% vs 52%;OR=8.81)(图2)、CR率(75% vs 33%;OR=8.95;P<0.0001)均较标准治疗组显著更高。

图2. CAR-T细胞治疗组和标准治疗组ORR
阿基仑赛治疗组中位PFS明显更高(21.5个月 vs 5.0个月,HR=0.384;P=0.0005)(图3)。

图3. CAR-T细胞治疗组和标准治疗组PFS曲线
本例患者为DLBCL,Ki67为90%+,侵袭性强,且患者84岁,诸多药物应用受限,治疗期间出现顽固性感染,较为棘手。鉴于CAR-T细胞治疗的良好疗效,在该患者一般情况稳定后,给予CAR-T细胞治疗,期间出现轻度CRS和ICANS,对症处理后好转,且获得CR。本案例初步说明了CAR-T疗法在老年和/或ECOG体能状态不佳的R/R LBCL患者中的临床获益[3]。
未来期待CAR-T细胞治疗的临床研究可及早向临床实践转化,为更多的淋巴瘤患者带来长期生存,乃至实现治愈的可能性。
专家简介

李文瑜 教授
医学博士,主任医师,硕士生导师广东省人民医院肿瘤医院淋巴瘤科行政主任
广东省女医师协会淋巴瘤专业委员会主任委员
广东省基层医药学会淋巴瘤专业委员会主任委员广东省女医师协会血液学专业委员会副主任委员
广东省医学会肿瘤内科分会副主任委员
广州市血液肿瘤专业委员会副主任委员广州市抗癌协会淋巴瘤专业委员会常务委员