
龚畅教授:一例绝经前HR+/HER2-乳腺癌患者经CDK4/6抑制剂联合AI新辅助内分泌治疗后达pCR的病例分享
近年来,以CDK4/6抑制剂为代表的靶向药物联合内分泌治疗为HR+/HER2-乳腺癌
患者带来了新的、有效且安全的治疗方案,在HR+乳腺癌的治疗中具有广阔的应用前景。同时,联合卵巢功能抑制(OFS)也能够提高年轻的、绝经前的女性乳腺癌患者的生存获益。本文分享了一例绝经前HR+/HER2-乳腺癌患者经CDK4/6抑制剂联合芳香化酶抑制剂(AI)和OFS新辅助治疗后达病理完全缓解(pCR)的病例,和中山大学孙逸仙纪念医院龚畅教授共同探讨真实世界中CDK4/6抑制剂联合治疗在年轻乳腺癌患者中的应用价值。
基本情况
患者,年轻女性,因发现左乳肿物1周就诊我科门诊,既往无基础疾病,无手术史,无肿瘤家族史。
诊疗经过
患者因发现左乳肿物1周就诊我院,门诊复查彩超提示:左乳晕区内上象限可见一低回声区,范围为5+×1.5cm,形态不规则,边缘不规整,考虑乳腺癌(BI-RADS 4C);余左乳结节,较大位于外上象限,最大约1.5×1.1cm。左腋窝可见多发淋巴结声像(可疑1个):较大为2.6×0.9cm,性质待查。
后行乳腺肿物及腋窝淋巴结穿刺提示:(左乳肿物)穿刺:乳腺导管原位癌(中-高级别),伴钙化,可见多灶性微小浸润(最大浸润直径0.28mm)。免疫组化结果:CK(+)、CK5/6灶性(-)、P63灶性(-)。(左腋下淋巴结)穿刺:淋巴组织中见癌巢浸润,符合淋巴结转移癌。免疫组化结果:ER约95%强(+)、PR约60%中等-强(+)、Her-2(0)、Ki67热点区域约60%(+)。
后因患者个人原因,门诊拒绝有创操作定位等措施,如乳腺及腋窝clip定位操作,且暂不接受细胞毒类药物治疗,如化疗。于是与患者商定采取新辅助内分泌治疗,方案为CDK4/6抑制剂(瑞波西利
)+AI(依西美坦
)+OFS(醋酸戈舍瑞林缓释植入剂
)。
新辅助治疗期间因患者个人原因仅同意乳腺彩超监测疗效,结果如下:

治疗约5个月时,术前彩超还提示:左侧锁骨上淋巴结,皮髓质界不清,淋巴门受压消失,大小约1.6×0.7cm,性质待查。
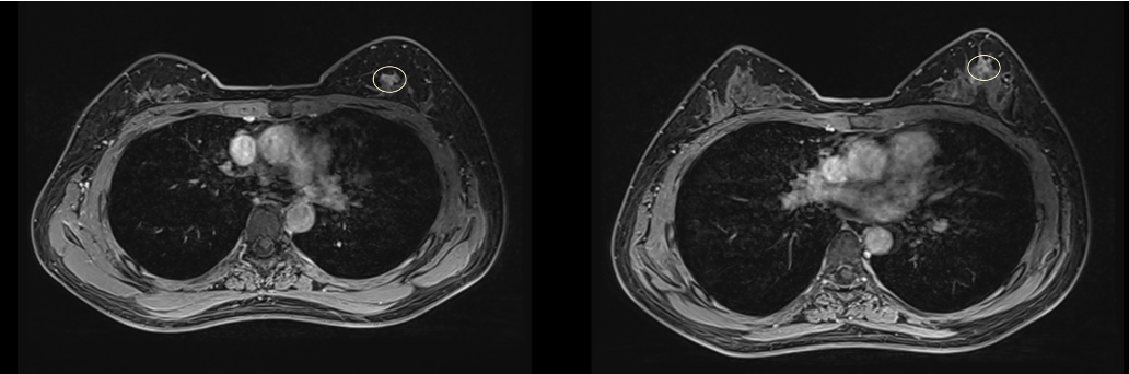
术前MR提示:左侧乳腺内象限及上象限区不规则结节影,最大层面范围约15×11mm,T1W呈等信号,T2W呈高信号,DWI呈弥散受限,增强呈明显强化,动态强化曲线呈速升型,边缘毛躁,符合乳腺癌治疗后改变;双侧腋窝内多个淋巴结。

术前MR
术前我院钼
靶提示:左乳癌治疗后,左乳可见多发簇状、区域性分布粗糙不均质钙化,范围较大者位于上方,范围为4.3×1.8cm。

术前钼钯
因患者有强烈的保乳意愿,并不愿意行锁骨上淋巴结穿刺活检,要求直接行锁骨上淋巴结清扫,后于治疗约5个月时制定手术方案,并行术前乳腺癌定位夹、乳腺钙化导丝定位。

术前肿物定位夹标记

术前钙化导丝定位
患者行多模态影像引导下左侧乳腺癌保乳根治术+左侧带蒂胸外侧动脉穿支皮瓣缺损修复+左侧腋窝淋巴结清扫术+左侧颈部IV区、V区淋巴结清扫术。

术中图片

术中钼钯
术后病理提示:
(左乳肿物)送检乳腺组织可见广泛透明变性、多核巨细胞反应及灶性钙化,仅见极少量中级别导管原位癌,未见明确浸润癌。未见明确脉管内癌栓、未见神经束侵犯;
新辅助治疗反应评估,MP系统分级:5级;
免疫组化结果:原位癌ER(3+,95%)、PR(1+,5%)、Her-2(2+)、Ki67约20%(+);
(左腋窝LN、左颈IV区LN)淋巴结(0/4、0/2、0/5)未见癌转移,其中标本4中1枚淋巴结伴出血。
保乳边缘未见癌,4号边缘可见局灶钙化。
专家点评
本病例中,患者为初诊HR+/HER2-早期乳腺癌的年轻女性,乳腺肿块较大、有淋巴结受累,不愿接受术前新辅助化疗但有强烈的保乳意愿。综合目前诊疗指南推荐与患者治疗需求采用了CDK4/6抑制剂(瑞波西利)+AI(依西美坦)+OFS(醋酸戈舍瑞林缓释植入剂)新辅助内分泌治疗后行保乳根治术方案,术后评估为病理完全缓解(pCR),达到了良好的治疗效果。
对于可手术但未达到保乳或保腋窝条件的早期乳腺癌患者,NCCN、ASCO-EBC、CACA、CSCO等国内外指南均推荐进行术前新辅助治疗。化疗是目前临床常用的新辅助治疗方案,但鉴于患者不愿接受化疗,且雌激素
受体(ER)、孕激素
受体(PR)高表达[ER约95%强(+)、PR约60%中等-强(+)],提示患者可能对内分泌治疗更敏感,指南也推荐对于这类高选择性人群可选新辅助内分泌治疗。考虑到患者年轻、绝经前、相对中高危的复发风险,以AI为基础内分泌治疗方案,联用了OFS和CDK4/6抑制剂以降低患者复发风险,以达到治愈的目标。
CDK4/6抑制剂为HR+/HER2-乳腺癌的治疗不断带来新的突破:从晚期治疗的无进展生存期(PFS)乃至总生存期(OS)显著获益,到早期辅助治疗的无侵袭性疾病生存期(iDFS)显著获益,再到新辅助治疗阶段的研究进展不断突破,比如CORALLEEN、NEOLBC、NeoPAL、CARABELA等诸多新辅助研究均证明CDK4/6抑制剂联合内分泌治疗对比化疗可以达到近似的疗效。在本病例中同样看到CDK4/6抑制剂联合内分泌治疗达到了非常令人惊喜的pCR疗效。
综合指南推荐、研究证据和临床实践,CDK4/6抑制剂联合内分泌治疗可作为不愿意或不能耐受化疗的HR+/HER2-早期乳腺癌患者争取手术机会或保乳、保腋窝机会的可选替代治疗方案。但这一方案作为标准治疗,仍需更多的临床研究探索和数据支持。
此外,需要注意的是,乳腺癌新辅助治疗疗效评估通常采用乳腺MR,而在本病例中,因考虑到患者意愿,在新辅助治疗过程中,仅采用乳腺彩超进行疗效评估,但术前四次彩超检查结果所示左乳肿物大小并无显著变化。术前乳腺MR结果提示,左乳肿物显著缩小,但结合术后病理来看,似乎并不准确。这样的结果,引起我们的思考,CDK4/6抑制剂联合内分泌新辅助治疗期间应采用何种影像学手段评估疗效?除乳腺MR外,是否有更为灵敏、准确度更高的检查手段?是否有更为精准的影像学参数可供临床参考,以进一步评估新辅助治疗效果?
其次,该患者的左乳病灶具有多中心、多灶、广泛钙化的特点,是保乳手术的相对禁忌症。基于综合考量,患者选择行多模态影像引导下的联合多个标记物(marker)定位的左侧乳腺癌保乳根治术+左侧带蒂胸外侧动脉穿支皮瓣缺损修复,以达到多个病灶的一次性、完整地切除,并且在保证切缘阴性的情况下,最大限度地保留了患者相对正常的腺体,最终实现了患者保乳的手术目标。多模态影像技术包括乳腺超声、钼靶及MR检查,三种检查方法相互补充、联合诊断。在上述技术实时监控下,临床医生在不可触及乳腺病灶内植入标记物并联合体表定位实现对乳腺病灶的精准定位或治疗效果监测,以精准切除乳腺病灶,同时保留乳房原有的外形。“多模态影像技术引导下不可触及乳腺病变精准诊疗”的特色新技术,进一步帮助临床突破保乳手术的禁忌症,也是中山大学孙逸仙纪念医院的新的保乳手术特色之一。在本病例中,该特色技术为患者实现保乳的预期,并且有效地、最大限度地保护了正常乳腺腺体,避免了不必要的损伤并降低手术并发症的发生概率。并且,更好地减轻了患者的心理压力,在疾病缓解的同时,也疏导了心理,将“以患者为中心”的理念贯穿于诊疗的各环节。
