
病例学习丨一例罕见的胆囊急症
医脉通编辑整理,未经授权请勿转载。
病例资料
患者,男,65岁,有慢性酒精中毒病史,就诊于急诊科,自诉从3米高的机动车碰撞中坠落后腹痛严重。
体格检查:全腹部压痛、反跳痛、肌肉紧张,伴移位性浊音,肠鸣音
减弱。
实验室检查:轻度贫血
(血红蛋白
,91g/L),肝功能障碍(天门冬氨酸
转氨酶,254 U/L;丙氨酸
转氨酶,138 IU/L)。
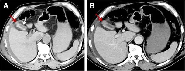
随后行腹部增强CT以进一步评估,CT图像如图A、B所示。

图A、B
问:患者最可能的诊断结果为?
答案揭晓:孤立性外伤性胆囊破裂
CT扫描示胆囊内高密度积液,壁轻度增厚,增强差,基底“断流”,有少量游离胆囊周液(图A, B)。未见肝或脾破裂。这一结果高度提示胆囊创伤性破裂。患者随后接受胆囊切除术,胆囊底部破裂3厘米。术后病程平稳。
外伤性胆囊损伤并不常见,由于解剖保护,其发生率约为2%。胆囊损伤包括挫伤、撕脱和撕裂/穿孔。在此病例中,患者的创伤机制为从高处坠落致使急性减速,从而导致了相对可移动的胆囊受压和撕裂。
此外,患者有慢性酒精中毒病史。酒精中毒可能导致腹壁松弛,这通常提供一定程度的保护。此外,长期酗酒会增加Oddi括约肌的紧张性和胆道压力,增加胆囊损伤的可能性。因此,急性减速和酒精摄入是本病例潜在的创伤机制。
由于非特异性体征和症状,孤立性胆囊损伤往往术前诊断困难,通常在剖腹手术时诊断。但迟发性并发症可能导致严重的发病率和死亡率。CT扫描是诊断该病的有效工具。胆囊损伤的典型征象包括胆囊内血肿、胆囊壁增厚、胆囊壁断流、胆囊周围积液。接诊腹部外伤患者时,应多注意这些征象,以免延误诊断。一般来说,胆囊切除术是治疗胆囊损伤最常见的方法。