
急性腹泻伴高烧,这个病你得会诊断
本文为医脉通编译整理,未经授权请勿转载。
病历资料
患者女,18岁,既往体健,无慢性疾病,现因腹泻
而前来就诊。
患者诉水样便,在Bristol大便分型量表中为7级, 白天腹泻多次,夜间无排便,粪便非血性。腹泻出现于就诊前2周,相关症状包括发热
、腹痛、恶心和呕吐。 患者未针对腹泻使用任何药物,其3周前有危地马拉旅行史。 体格检查发现,患者的体温为39.1℃,心率为80次/分钟,血压为109/65 mmHg。患者全身出汗,巩膜无黄疸
。 体格检查发现,腹平软,具有轻微的弥漫性压痛,肠鸣音
正常。未见异常皮疹
。 实验室检查结果提示白细胞计数为4.7 x 109 / L,血红蛋白
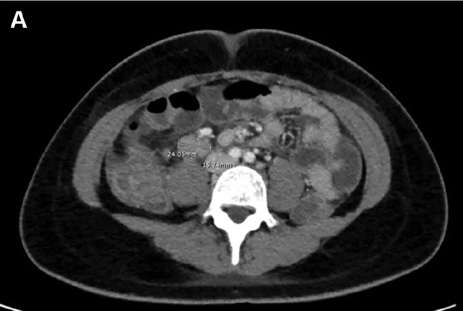
为10.5 g / dL,血小板计数为95 x 109 / L,碱性磷酸酶为401 IU / L,AST为 223 U / L,ALT 为117 U / L。 包括CT扫描在内的影像学检查显示回肠末端肠壁增厚,右结肠与肠系膜淋巴结肿大(图A)。

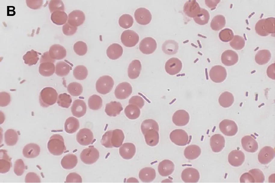
血液培养,发现了细菌生长(图B)。

以下哪像不是该患者疾病的典型临床表现?
A.相对缓脉
B.腹部、胸部的玫瑰斑
C.肠穿孔
D.外周血涂片
可见破裂的红细胞碎片
答案揭晓
答案为D。
患者的临床表现与肠道沙门氏菌感染一致。
除了D选项,所有选项的临床特征都为伤寒的典型特征。
伤寒是一种由肠道沙门菌(伤寒和副伤寒
A,B和C)引起的肠道传染病,人体通常由摄入被人类粪便污染的食物或水而获得这种菌。 危险因素包括疫区旅行史,尤其是中南亚旅行史。典型的临床表现是发热,腹痛,和腹泻(常出现在感染后平均7-14天的潜伏期后)
患者可能出现的异常体格检查结果包括相对缓脉(其脉搏
的加快与体温升高的程度不呈比例)(选项A),腹部弥漫性压痛,腹部、胸部的玫瑰疹(淡淡的鲑鱼色斑丘疹性皮疹,见于<30%的病例)(选项B),肝脾肿大。实验室检查可见贫血
,肝功能异常,白细胞增多或减少。
诊断的金标准来自血培养
,其阳性率为80%,粪便培养的阳性率仅为30%。 对于持续时间超过7天的中度至重度腹泻的患者,可以考虑进行粪便培养以识别病原体,指导治疗。 该例患者在血培养和粪便培养中均发现了沙门氏菌的生长。 胃肠道并发症包括peyer氏斑(Peyer’s patch 派尔集合淋巴结)引起的肠道出血,穿孔(选项C) 。
治疗方法是补液,进行对症支持治疗,并使用抗生素,治疗目的是缩短病程,降低死亡风险。 如果机体未对氟喹诺酮类药物产生耐药性,则氟喹诺酮类药物是一个良好的选择。
该患者在接受了为期14天的环丙沙星
治疗后,随之退烧,腹痛得到了减轻,腹泻消失。该患者未发展出任何并发症。
伤寒、副伤寒的全球流行概况
伤寒曾在世界各地普遍流行,直到二十世纪中期后,随着人们对木病流行规律的逐渐认识、社会经济的发展、供水及粪便处理等卫生设施的改善、抗生素的广泛应用,大规模的流行已明显减少。
日前,伤寒,副伤寒在世界各地均有发生。以2000年统计数据为例,全球伤寒发病主要集中在亚洲、非洲和拉丁美洲,其中亚洲伤寒发病数占总发病数的59%;北美洲、大洋洲和欧洲三大洲伤寒发病数只占全球发病数的1%。
据调查,在我国境内,2015-2016年共报告伤寒、副伤寒病例22 536例,死亡2例,年平均发病率为0.83/10万,病例均以农民和民工为主,其次为散居儿童和在校学生,伤寒、副伤寒发病率均以0~4岁组儿童最高(分别为1.70/10万和0.80/10万)。贵州、云南、广西、广东、浙江、湖南和新疆为疫情高发省份。