
AAD 2025 | 急性痘疮样苔藓样糠疹难治?乌帕替尼给出新答案!
背景
急性痘疮样苔藓样糠疹(PLEVA)是一种罕见的皮肤炎症性病,临床表现为不同愈合阶段的斑块、丘疹、水疱、脓疱和/或溃疡,大疱性皮损
较为罕见。其发病机制尚未完全明确,目前认为可能与潜在的感染性病因相关,或是T细胞功能紊乱引发的一种炎症反应。
现有治疗手段包括口服抗生素、外用糖皮质激素
、紫外线疗法及免疫调节剂等,但疗效有所差异。乌帕替尼
作为一种口服Janus 激酶(JAK)1 抑制剂,尚未见文献报道用于PLEVA治疗。本文报道一例成功使用乌帕替尼治疗大疱型PLEVA的病例。
一、病例报告
一名67岁男性患者以主诉“全身瘙痒性皮疹
伴鳞屑1月余”就诊。皮损在随后6个月内呈多种形态变化:初期表现为湿疹样,继而发展为银屑病
样斑块,最终出现大疱样皮损。各阶段皮损行组织病理活检均显示:海绵样改变、银屑病样表皮增生和浅表血管周围炎症,支持慢性湿疹性皮炎诊断,直接免疫荧光检查阴性(图1)。

图1 患者皮疹的多形态临床表现,包括湿疹样、银屑病样及大疱样皮损
A 右上肢近端有少量带鳞屑的斑块,临床症状类似特应性皮炎
合并脓疱病
B 躯干出现银屑病样斑块
C、D 全身分布着带鳞屑的丘疹和斑块,还有紧张性大疱,部分伴有出血,临床表现为大疱性皮炎
患者实验室检查结果:快速血浆反应素试验
、自身免疫性水疱血清学检测及肝炎筛查均为阴性。治疗期间,患者对其它药物无效,二次活检显示:浅层血管丛淋巴细胞浸润,呈楔形延伸至真皮深部,伴苔藓样浸润、角化不全及散在红细胞外渗(图2、图3),确诊为PLEVA。鉴于皮损的临床表现,最终诊断为大疱型PLEVA,使用乌帕替尼治疗后皮疹消退,遗留炎症后色素沉着。

图2 治疗后转归
A 多形性皮损(丘疹、斑块及水疱)伴糠疹样外观,不同演化阶段的皮损共存
B 乌帕替尼治疗1月后遗留炎症后色素沉着

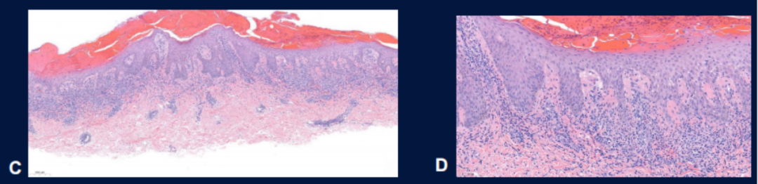
图3 病理切片表现
C 低倍病理:楔形苔藓样浸润,浅表血管周围炎,融合性角化不全及鳞屑形成
D 高倍病理:淋巴细胞浸润伴晕轮形成,红细胞外渗,海绵样改变,基底细胞空泡变性
二、讨论
本文报道了一例使用乌帕替尼成功治疗的大疱性PLEVA病例。大疱形成是PLEVA的一种罕见皮肤表现。目前存在两种具有水疱表现的独立临床分型—大疱性PLEVA和天疱疮性PLEVA。天疱疮性PLEVA表现为PLEVA与天疱疮的重叠,其天疱疮抗原抗体检测呈阳性。本病例虽出现水疱,但血清学检测阴性,故确诊为大疱性PLEVA。
PLEVA的发病机制尚未明确,现有理论支持其与感染或T细胞功能异常引发的炎症反应有关。乌帕替尼是一种JAK1抑制剂,通过阻断JAK-STAT信号通路抑制多种炎性细胞因子的转录,从而调控Th1和Th2免疫应答。
据悉,这是首例采用乌帕替尼成功治疗的大疱性PLEVA病例,其临床表现、病理特征及自身免疫性大疱病血清学阴性结果均支持大疱性PLEVA的诊断。对于一线治疗失败的PLEVA患者,乌帕替尼可能成为潜在的治疗选择。