
类风湿关节炎患者并发局灶性肌炎,误诊误治后竟靠它“绝境翻盘”?
前情提要
肌炎是类风湿关节炎
(RA)的一种罕见的关节外表现。局灶性肌炎(FM)是一种不同于系统性肌炎的局部炎症性肌肉疾病,影响单块肌肉,并在组织学上表现出炎症细胞(巨噬细胞和T细胞)浸润和纤维化等特征。
本文介绍了一例长期患有RA的患者,该患者出现急性左腰椎区域、髋部和腿部疼痛,并伴有C反应蛋白(CRP)、肌酸激酶(CK)升高和可触及的皮下肿块。患者最初两次被误诊为感染,且对抗生素治疗反应不佳,最终患者被确诊为FM,使用糖皮质激素
和Janus激酶(JAK)抑制剂治疗效果极佳。
病例介绍
患者基本信息
基本信息:女性,58岁,10年稳定RA病史。
主诉:每日使用来氟米特
(20mg)进行治疗,左腰部、髋部和腿部疼痛持续1个月,近10天加重。
既往史:既往RA病情稳定,无明显关节肿胀或疼痛,无近期患病、受伤或旅行史。
家族史:无肌炎家族史。
症状与检查
体格检查
左髂和腰部有压痛,可触及皮下肿块,左下肢活动受限。
实验室检查
炎症指标升高,包括C反应蛋白(172.6mg/L)、血清淀粉样蛋白A
(>320.0mg/L)、丙氨酸
氨基转移酶(60U/L)、天冬氨酸氨基转移酶(115U/L)、肌酸激酶(2408U/L)和乳酸脱氢酶(428U/L)。
抗核抗体、抗中性粒细胞胞浆抗体、抗肌炎谱抗体、结核
感染T细胞及肿瘤标志物检测
均为阴性。
影像学检查及超声引导下活检
磁共振成像
(MRI)显示左髂腰肌、腰大肌和竖脊肌弥漫性肿胀,怀疑感染(图1)。超声引导下的活检显示横纹肌存在局部成纤维细胞增生和炎性细胞浸润(图2A)。
治疗过程及转归
初始治疗
使用左氧氟沙星
和塞来昔布
治疗,未见效果;换用头孢曲松
和莫西沙星
继续治疗,依然无效,且患者伴有反复低热。
调整治疗
经风湿科会诊,考虑可能是类风湿关节炎相关肌炎。采用静脉注射甲泼尼龙
(40mg/d)治疗。患者疼痛和发热
症状明显改善,炎症指标下降。但患者不愿继续激素治疗,转诊至感染科。
患者在另一家医院重新评估并进行肌肉活检
,结果显示左竖脊肌有胶原纤维增生和慢性炎症,但宏基因组测序未发现细菌感染。停用激素后,使用头孢哌酮-舒巴坦
和利奈唑胺
进行治疗,患者疼痛加剧,并出现低热症状。

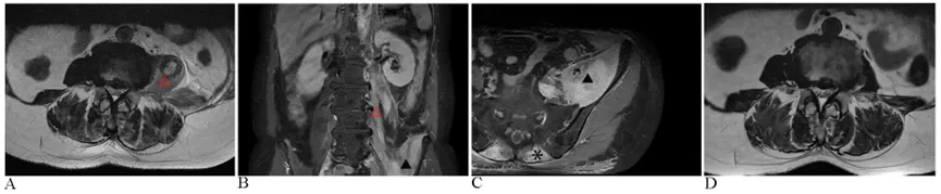
图1 调整治疗前后的图像
(A)初步MRI评估显示T2加权序列上左腰大肌(△)明显肿胀。(B)造影剂增强的冠状MRI显示,钆喷酸二葡甲胺给药后,左髂腰肌(▴)和腰大肌存在异质性高信号强度。(C)增强轴位MRI进一步显示左侧髂腰肌弥漫性肿胀,以及双侧竖脊肌(*),表现出明显的异质信号强度;腰部区域也存在皮下筋膜水肿
。(D)开始连续糖皮质激素治疗后25天,MRI成像显示与图像A相比,肌肉肿胀显著减轻。
后续治疗
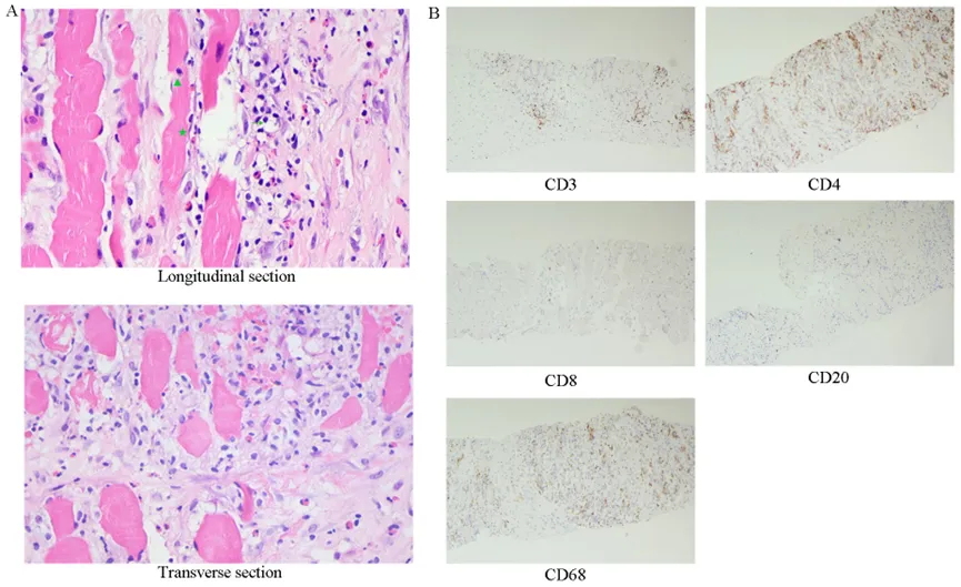
患者要求返回原医院进一步治疗,活检标本的免疫组化分析显示CD3(+)、CD4(+)、CD8(散在+)、CD68(+)和CD20(散在+)细胞,与局灶性肌炎的病理特征相符(图2B)。

图2 初始肌肉活检,以及随后的免疫组织化学分析
(A)骨骼肌组织表现出明显的纤维增生,伴有成纤维细胞局部增殖(★),HE400x。此外,淋巴细胞(→)、中性粒细胞(▴)明显浸润,嗜酸性粒细胞少量存在。(B)免疫组织化学,100x。
患者重新使用甲泼尼龙(40mg/d)和来氟米特治疗,疼痛缓解,肌酸激酶和CRP水平恢复正常。但糖皮质激素减量至泼尼松
25mg/d时症状复发。加用托法替布
(5mg,每日2次)治疗,2周后症状显著改善。11个月后,患者成功从糖皮质激素过渡到托法替布和来氟米特治疗,且两年多未复发(图3)。

图3 病程中血清CK和CRP水平的动态变化
病例讨论
局灶性肌炎是一种罕见的特发性炎症性肌病,容易误诊,需与多发性肌炎
、感染、肿瘤等疾病鉴别诊断。该患者曾两次被误诊为感染,接受抗感染治疗无效,后根据病理结果重新诊断。
患者局灶性肌炎的具体病因尚不明确,推测可能与类风湿关节炎引发的免疫介导性血管炎
症有关,导致供血管血栓形成,局部肌肉缺血坏死、炎性渗出和肌纤维再生,进而形成可触及的肿块,但两次肌肉活检均未发现该患者存在血管炎迹象。需要注意的是,这两次活检均是通过超声引导下的经皮穿刺活检完成的。相比之下,开放性肌肉活检可能提供更高的诊断价值,因为核心针活检可能遗漏关键的组织特征。
既往研究表明,部分局灶性肌炎患者可能对物理治疗或非甾体抗炎药治疗有应答,而肌酶显著升高的患者常需使用糖皮质激素治疗,尤其是在与风湿病相关的肌炎患者中。这些患者可能在尝试减少糖皮质激素用量时经历症状复发。本例患者采用大剂量糖皮质激素联合来氟米特治疗,初期症状迅速缓解,但泼尼松减量后症状复发。托法替布是一种口服JAK抑制剂,常用于治疗RA,其通过抑制T细胞增殖、细胞因子分泌和细胞毒性作用,从而降低自身免疫活性。此外,托法替布已证明对血管炎和多发性肌炎有效。考虑到局灶性肌炎中有大量巨噬细胞和T细胞浸润,且该RA患者有进展为多发性肌炎或免疫介导性血管炎的可能,因此加用托法替布作为辅助免疫抑制治疗。这种方法旨在减少患者对糖皮质激素的依赖,且被证明效果显著。最近的研究还表明,包括托法替布在内的JAK抑制剂可能促进巨噬细胞向更具抗炎表型的重编程,这或许可以解释其在本例患者中的治疗成功。
病例总结
本报告介绍了一例与RA相关的局灶性肌炎患者,其通过使用托法替布治疗,成功实现了疾病管理。鉴于RA相关局灶性肌炎的罕见性和诊断难度,早期识别、准确诊断和及时治疗至关重要。对于难以减少糖皮质激素用量的患者,托法替布可作为一种有效的替代免疫抑制治疗策略,帮助患者实现长期的疾病控制。