
一名 50 岁男性出现慢性咳嗽,你的诊断是?
患者情况:一名 50 岁男性出现慢性咳嗽。

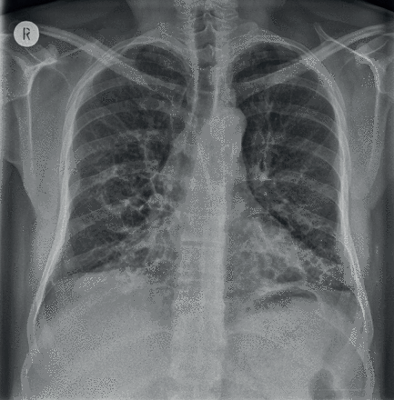
问题:主要异常情况或潜在诊断是什么?
a) 特发性肺纤维化
b) 囊性支气管扩张
c) 肺动脉高压
d) 淋巴管平滑肌瘤病
e) 囊性纤维化
答案
正确答案:b)囊性支气管扩张。
诊断分析:
影像学检查显示双肺下叶广泛存在多个囊状透亮区,伴有气道壁增厚及扩张表现。尽管囊性纤维化晚期也可出现显著支气管扩张,但其病变分布通常更为弥散,且以上肺野为主。特发性肺纤维化的胸部 X 光片异常表现则多位于肺外周及基底部位。本病例中,肋膈角未受累及。
病情概述:
该患者确诊为囊性支气管扩张,其发病可追溯至童年时期经历的一次严重感染,此次感染直接诱发了支气管扩张的形成。