
年轻女性进行性吞咽困难,食管癌?不!万万没想到
医脉通编辑整理,未经授权请勿转载。
病历资料与提问
患者女,34岁,因新发吞咽困难
于消化科门诊就诊,有哮喘
和花生过敏史。
入院前一年该患者参加了一项随机、双盲、安慰剂对照的口服免疫治疗研究,在试验期间,对照组所有参与者被要求摄入300mg花生蛋白,该患者被分配至安慰剂组,在此6个月间无任何不良反应。6个月后,患者被分配至接受花生蛋白的组。
短短3月余,患者出现了食物吞咽困难,呈进行性加重,伴随间歇性胸痛
,无食物嵌塞感。于是该患者退出了研究。
对该患者进行胃镜检查
,取近、远端食管、胃部和十二指肠活组织送检,并行内镜下扩张术。
结果发现:胃、十二指肠组织正常;食管和食管活检的典型图像如下所示(A、B、C)。


下列哪一项是对该患者目前来说最合理?
A.口服氟康唑
B.静脉注射布地奈德
C. 食管24小时pH监测
D.食管测压
答案揭晓
正确答案是B。
该患者具有嗜酸性食管炎(EoE)的内镜特征,包括环状食道,纵沟,水肿
以及食管近端、中段狭窄。
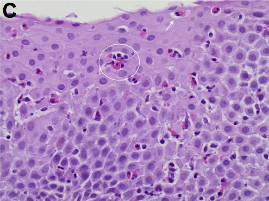
食管活检支持该诊断,每个高倍视野可见至少15个嗜酸性粒细胞(箭头处),浅表微脓肿(圆圈内),细胞内水肿。
总结与讨论
据文献报道,在过去的几十年中,EoE的发病率逐渐增高。其病因及发病机制暂不清楚,大多数研究结果都提示,吸入和食物过敏
反应可能诱发该病的发作。
其典型症状包括吞咽困难,胸痛和食物受累。
诊断标准多强调以病理为主的综合诊断,同时要除外其他继发性消化道嗜酸性粒细胞增多疾病。
治疗以控制饮食和糖皮质激素
为主,近年来,白三烯抑制剂、肥大细胞稳定剂等免疫靶向药物也被认为有一定疗效。
值得注意的是,EoE的许多患者都有食物过敏史。
口服免疫疗法(OIT)是一种对过敏的新兴疗法。目前,学术界逐渐认可EoE是OIT的并发症之一。一项研究发现,OIT后新发EoE的发生率为2.7%。
该患者停止OIT后接受了布地奈德治疗,并在不久之后,顺利康复并出院。
在长达一年的随访中,患者报告由于在饮食中完全避免了花生的摄入,吞咽困难与其他的食管症状均消失。
该病例与GERD的鉴别要点在于,GERD的狭窄通常见于食道远端,而EoE所致的狭窄常见于食管中端和近端,且为多处狭窄。若怀疑患者患有GERD,应行食管pH监测(C)。
食管运动障碍一般伴有胸痛和吞咽困难(D),但由于EoE一般也与食管动力障碍有关,因此下一步也可以行食管测压。
总之,随着OIT的普及,今后临床医生若遇上有食物过敏史的患者发作吞咽困难、胸痛或食物嵌塞,均建议往EoE上考虑。