
病例透视 | 精神紧张、视网膜下积液,是中心性浆液性脉络膜视网膜病变吗?
病例透视 | 精神紧张、视网膜下积液,是中心性浆液性脉络膜视网膜病变
吗?
左眼视力
逐渐下降伴视物变形6个月
一名58岁的女性近视
患者,因“左眼视力逐渐下降伴视物变形6个月”到眼科寻求帮助。患者既往无眼科疾病史,无其他全身病史及激素使用史。值得注意的是,患者自述症状出现期间长期处于高度精神紧张状态。
眼科检查
显示右眼最佳矫正视力:右眼1.0,左眼0.4。眼前节检查未见异常。右眼散瞳眼底检查
无异常。左眼可见累及中心凹的圆形神经上皮层脱离。值得注意的是,左眼后极部脉络膜血管纹理减少,双眼均未见年龄相关性黄斑变性(AMD)相关改变,如玻璃膜疣(图1)。由于患者长期处于高度精神紧张状态,结合眼底病变年,医生怀疑患者为中心性浆液性脉络膜视网膜病变(CSC,简称中浆)。

图1,左眼后极部脉络膜血管纹理减少,可见累及中心凹的神经上皮层脱离。
多种影像检查发现病灶
光学相干断层扫描(OCT)
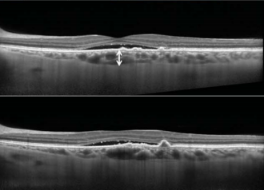
显示:右眼黄斑结构基本正常,中心凹下脉络膜厚度155μm;左眼黄斑中心凹存在视网膜下积液(SRF),其下方可见小范围新生血管导致的色素上皮脱离,中心凹下脉络膜厚度280μm。值得注意的是,新生血管组织区域正下方可见显著局灶性脉络膜增厚伴大管径血管扩张,且该区域脉络膜毛细血管层和Sattler层结构消失(图2)。由于存在新生血管组织,因此排除了急性CSC的诊断。

图2,左眼黄斑中心凹存在SRF,其下方可见小范围新生血管导致的色素上皮脱离,中心凹下脉络膜厚度280μm。
左眼荧光素血管造影
(FFA)显示与隐匿性脉络膜新生血管(CNV)渗漏一致的高荧光区。吲哚菁绿
血管造影(ICGA)显示该高荧光区对应大管径扩张的脉络膜血管,晚期影像可见该区域脉络膜高渗透征象(图3)。

图3,左眼FFA显示与隐匿性CNV渗漏一致的高荧光区。ICGA显示该高荧光区对应大管径扩张的脉络膜血管,晚期影像可见该区域脉络膜高渗透征象。
抗VEGF治疗效果不佳
初步诊断为息肉状脉络膜血管病变(PCV)。此后,患者接受了玻璃体腔内注射抗VEGF治疗,在20个月内,每1-2月注射1次,共11次。经过治疗,SRF部分改善,然而息肉样结构却逐渐增大(图4)。

图4,患者接受抗VEGF治疗后,分别在第8、16、20个月随访时OCT显示,视网膜下积液部分改善,然而息肉样结构却逐渐增大。
鉴于抗VEGF治疗效果不佳,患者持续存在SRF,患者在外院接受了光动力疗法(PDT)。治疗后4个月复查,视网膜下积液完全消退,期间未再抗VEGF治疗。
然而,患者在4个月后左眼SRF再次复发,在我院再次接受玻璃体内抗VEGF治疗。近期随访,左眼最佳矫正视力为0.5。
PCV的特征
PCV是1型黄斑新生血管的亚型之一,其特征性病变是异常分支血管网(BVN)和血管网末端血管瘤
样的膨大(polyps)。患者眼底常伴有视网膜下渗漏及出血,病灶一旦累及黄斑则提示预后差。眼底造影、OCT以及OCTA可清晰显示PCV解剖结构。PCV病变在荧光素钠
眼底造影的病灶区域常表现为弥漫性渗漏,而ICGA所用的吲哚菁绿分子量大,与血红蛋白
结合率高、荧光度高,能够更好地显示脉络膜的血管,所以目前认为ICGA是诊断PCV的金标准。活动性PCV在ICGA表现为:早期可见脉络膜内层异常分支的伞状血管网,其末端膨大呈囊袋状强荧光,其周可围绕低荧光晕轮;血管网末梢的强荧光灶对应的是眼底检查所见的橘红色结节样病灶;造影晚期可见内层脉络膜的纤维膜染色。静止性PCV在ICGA表现为:早期不显影,中晚期则呈稍强荧光,后期荧光可逐渐消退或呈现中心弱荧光、周围环状染色的“冲刷”现象[1]。在OCT影像上,PCV形态表现为RPE层高耸凸起,在Bruch膜和RPE 层之间可见中高等反射信号的“双层征”现象(图5)。 OCTA扫描上均有浆液性视网膜色素上皮脱离,且RPE层内部有环形或圆形的血流信号[2]。值得注意的是,肥厚型脉络膜谱系疾病( PCD)是一组以病理性脉络膜增厚为共同特征的疾病谱系。其特征性改变包括Haller层脉络膜血管扩张,脉络膜毛细血管层和Sattler层变薄。目前建议将PCV归入PCD之中。本例患者也存在脉络膜增厚伴大管径血管扩张,且该区域脉络膜毛细血管层和Sattler层结构消失[3]。

图5 ,OCT图像显示PCV的特征性表现:a 息肉样病灶(白色箭头),b 色素上皮脱离中的切迹(星号和细白色箭头),双层征表现为两条高反射线(白色箭头),内层线代表视网膜色素上皮浅层隆起,外层线代表Bruch膜,c 显示脉络膜增厚(白色箭头)[4]。
抗VEGF治疗效果不佳
造成PCV患者视力丧失的主要原因是反复出现的病灶渗漏和视网膜下出血所引起的视网膜纤维化瘢痕增生及色素上皮萎缩。目前用于PCV的治疗手段有眼底激光光凝术、PDT、抗VEGF治疗和玻璃体切除术以及联合应用方案,总体治疗效果不佳。目前专家指南推荐以下六条意见[5]:(1)对于非活动性PCV患者,建议观察而非立即治疗;(2)对于未经治疗的PCV患者,建议采用抗VEGF单药治疗或抗VEGF联合PDT,而非单独使用PDT;(3)对于拟进行抗VEGF联合PDT治疗的PCV患者,建议采用延迟/挽救PDT而非起始联合PDT;(4)对于拟进行抗VEGF单药治疗的PCV患者,建议在完成三个月负荷治疗后采用“治疗和延长”(T&E)方案,而非“按需治疗”(PRN)方案;(5)对于抗VEGF负荷治疗三个月后在OCT上出现持续性SRF的患者,建议继续抗VEGF治疗而非停药观察;(6)对于伴有新鲜大量视网膜出血且累及黄斑区的PCV患者,建议进行玻璃体切除术联合玻璃体腔内注射组织纤溶酶原
激活剂及气体填充,而非抗VEGF单药治疗。本例患者起初按照第五条治疗:患者坚持了11次抗VEGF,然而并未明显好转。于是在外院选择了单独PDT治疗,此时并未遵照第二条,即患者没有同时进行抗VEGF治疗,这可能是患者治疗失败的一个因素。
总之,就目前PCV的治疗方案而言,抗 VEGF联合PDT疗效均较其他方案显著。临床医生应对PCV患者预后进行综合判断和采用个性化的治疗。
参考文献
[1]陈丽娜,徐国兴.息肉状脉络膜血管病变诊疗进展[J].国际眼科纵览,2021,45(02):103-110.
[2]李虎,应嘉宁,易全勇.不同类型脉络膜新生血管形态与血流学特征的研究进展[J].中华眼视光学与视觉科学杂志,2025,27(01):74-79.
[3]何桂琴,文峰.肥厚型脉络膜谱系疾病的广角眼底影像研究进展[J].眼科学报,2025,40(02):179-188.
[4]Sahu Y,Chaudhary N,Joshi M,et al.Idiopathic polypoidal choroidal vasculopathy a review of literature with clinical update on current management practices[J].International Ophthalmology,2021,41(4).
[5]陈有信,张誉清,陈长征,等.息肉状脉络膜血管病变治疗中国指南(2022)(英文)[J].Chinese Medical Sciences Journal,2023,38(02):77-93.