
产后精神症状可能并非“产后抑郁”那么简单,警惕「抗NMDAR脑炎」的可能!
当一名正在使用精神药物的患者同时出现精神症状及神经系统症状时,诊断往往很有难度;如果患者正好还是一名妊娠期或产后妇女,或存在其他可能影响脑功能的情况,诊疗难度则会进一步升高。
一项发表于J Psychiatr Pract. 的个案报告中,新西兰学者报告了一例个案:患者为年轻产后女性,首发症状类似产后常见的抑郁和精神病性障碍,但随后的临床表现让治疗团队怀疑恶性综合征及5-羟色胺
综合征的可能;辗转多个科室后,患者最终被确诊为抗N-甲基-D-天冬氨酸(NMDA)受体脑炎。
病例
患者女,29 岁,因疲乏、发热
、语无伦次、心境不稳、思维反刍、食欲下降、饮水少、睡眠不规律 2 周收入急性期精神科病房。患者此时尚无典型的精神病性症状。
患者 11 个月前产下二胎,曾被全科医生诊断为产后抑郁。本次起病时,患者正在哺乳,并持续服用舍曲林
50 mg/d。
第一站:精神科
首次精神检查中,患者存在言语应答慢、情感受限、烦躁、思维混乱和妄想思维,自知力差。初步诊断为伴精神病性症状的抑郁,给予奥氮平
5 mg qd+10 mg qn。
入院第 2 天,患者病情恶化,自诉整个人茫然无措,如同「坐在世界各地的过山车上」;可查及接触性离题,对外界并不明显的刺激产生反应。短期记忆受损。
入院第 3 天和第 4 天,病情继续恶化,开始出现幻视及命令性幻听,攻击并咬伤医生,伴言语贫乏及精神运动性迟滞。诊断修改为产后起病的精神病性障碍,肌注珠氯噻醇
100 mg,以改善急性精神病性症状及严重的行为紊乱。
患者肌酸激酶(CK)回报888 μ/L(正常30-180),血压90/52 mmHg,心率60 bpm,体温34.7℃;拒饮拒食。考虑到患者的血容量状况持续恶化,入院第 5 天转入内科治疗。
第二站:内科
第 5 天,内科观察到患者出现持续性呼吸困难
、CK升高及意识水平波动,临时诊断恶性综合征(NMS),停用奥氮平。
第 6 天,患者出现波动性的紧张症和反射亢进体征,治疗团队考虑诊断可能并不是NMS,而是5-羟色胺综合征(SS)。停用舍曲林,但症状仅轻微改善。
第 8 天和第 9 天,尽管已停用奥氮平和舍曲林,但患者仍激越,并存在间断性发热、面部麻木及警觉性水平波动。患者还出现了一次癫痫
发作。临时诊断为非感染性脑炎,磁共振未发现任何脑炎证据。
第 10 天,患者仍存在紧张症的表现,如缄默、违拗和显著的精神运动性迟滞,可观察到咬舌及持续凝视空中,对声音及触摸无反应。未发生强直-阵挛发作。给予劳拉西泮
1 mg tid,以改善紧张症。
第 11 天,患者出现高热、心动过速
、肌强直,但未观察到阵挛;再次出现癫痫发作,与前次类似,即刻给予劳拉西泮2 mg后改善。心电图
未发现任何癫痫或脑病的电生理学证据。腰穿回报葡萄糖
3.6 mmol/L,蛋白质3.6 mmol/L,单纯疱疹病毒(HSV)
-PCR阴性,血管紧张素转换酶(ACE)<2.5 mmol/L。
第 12 天,考虑到患者神经系统症状复杂,且实验室及辅助检查未见显著异常,患者被转入神经科病房。
第三站:神经科
综合考虑患者 12 天内的病情,包括停药后仍然存在精神状态波动,发热,复杂的神经系统症状,以及MRI、脑电图
、腰穿结果为阴性,神经科团队考虑脑炎可能性大,继发于病毒、边缘叶、副肿瘤或自身免疫病因。鉴于腰穿提示HSV-PCR阴性,ACE<2.5 mmol/L,脑炎由病毒及副肿瘤所致的可能性不大。
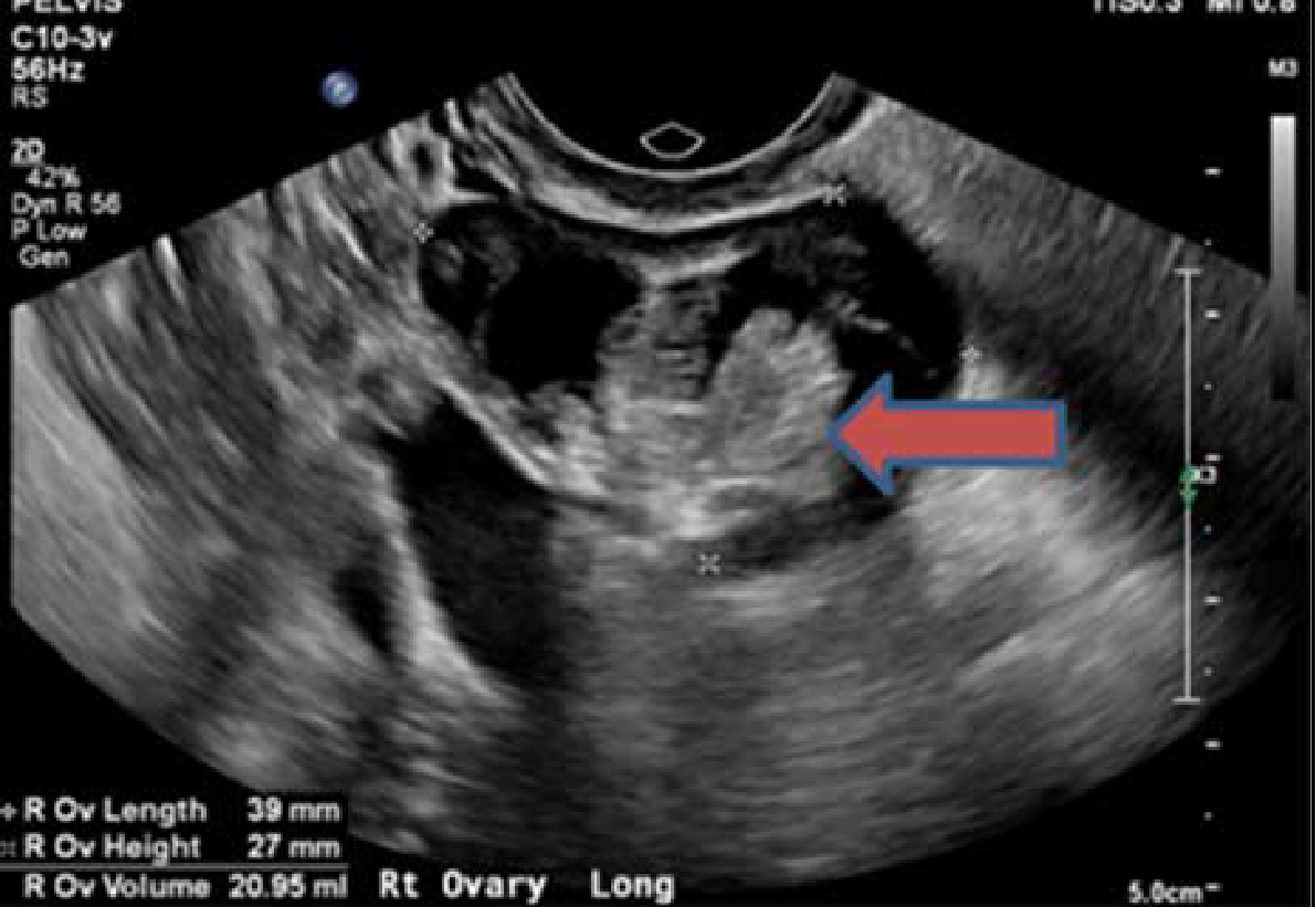
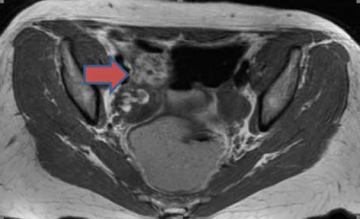
然而,患者血清抗NMDA受体抗体回报阳性。关键是,患者的盆腔超声及MRI提示右侧卵巢肿块,与囊性畸胎瘤表现一致。上述发现确认了抗NMDA受体脑炎的诊断。

图1 盆腔超声发现右侧卵巢肿物,符合囊性畸胎瘤表现

图2 盆腔MRI发现右侧卵巢肿物,符合囊性畸胎瘤表现
第 15 天,诊断抗NMDA受体脑炎,启动静脉免疫球蛋白(IVIG)治疗,疗程 10 天。患者的症状即刻显著减轻,时间、地点、人物定向力改善,可与他人恰当交流。
妇科的加入
第 20 天,即IVIG治疗 5 天后,妇科团队通过手术移除了右侧畸胎瘤。患者随后重新开始IVIG治疗,无任何并发症。
经过 10 天的IVIG治疗,患者在ICU接受了血浆置换
术;尽管病情总体显著改善,但仍存在一定程度的妄想和认知水平的波动。完成血浆置换后,患者出院,并在出院后 2 周和 6 周返院接受两轮利妥昔单抗
治疗。这些治疗均未造成并发症,患者此前的很多症状也显著改善。
神经科团队的结论是:NMS和SS均无法解释患者的表现,最终诊断为抗NMDA受体脑炎。
讨论
本个案强调了抗NMDA受体脑炎临床相的复杂性——患者的诊断考虑从产后抑郁到精神病性障碍,再到NMS和SS,最后确诊为抗NMDA受体脑炎。加上检验科及影像科,共有六个科室直接参与了患者的诊疗。
2007年,Dalmau等首次描述了抗NMDA受体脑炎——12 名患者存在各种各样的神经及精神症状,脑脊液抗NMDA受体抗体阳性。此后,抗NMDA受体脑炎个案报告的数量超过了 500 例,并成为仅次于急性脱髓鞘性脑炎的第二常见的自身免疫性脑炎
类型。
抗NMDA受体脑炎常见于 45 岁以下个体,女性发病率接近男性的 4 倍。约 58%的抗NMDA受体脑炎患者同时或既往罹患肿瘤,通常为卵巢畸胎瘤。抗NMDA受体脑炎的高危因素包括既往罹患自身免疫性疾病及副肿瘤综合征,而临床表现差异很大,与其他精神疾病存在重叠,如继发于精神分裂症
、物质使用、短暂妄想性障碍的精神病性发作。此外,抗NMDA受体脑炎的死亡率较高,部分个案报告中的死亡率达 25%。因此,准确识别及及早治疗对于改善患者转归至关重要。
抗NMDA受体脑炎的病理生理学以NMDA受体功能低下假说为中心,后者在针对精神分裂症起源的研究中经常被讨论。抗NMDA受体抗体作用于突触前GABA能神经元NMDA受体NR1a亚单位,而这些神经元在海马、额叶及前额叶脑区分布较多,故抗NMDA受体抗体可造成突触后谷氨酸
能神经元脱抑制,导致额叶多巴胺
能紊乱。一些研究显示,这些抗体常作为机体针对特定肿瘤组织的应答而产生,如卵巢畸胎瘤。
通常认为,抗NMDA受体脑炎的病程包括多个阶段——
1. 患者常报告经历前驱期,表现类似于流感
,症状包括头痛
、萎靡不振、疲乏等,持续约 2 周;
2. 随后很快进入精神病期,表现包括妄想、思维混乱、幻觉,常导致患者被收入精神科病房;
3. 如果抗NMDA受体脑炎仍未被检出,患者则可能发展为紧张症期,伴癫痫发作、运动障碍、记忆损害及自主神经功能紊乱。此阶段最严重,常导致患者被收入ICU甚至死亡。
本例患者的首发表现为前驱期症状,如发热、疲乏、注意力受损、睡眠紊乱及言语延迟;随后出现精神症状,包括激越、思维紊乱、妄想、幻听、幻视等;疾病的继续进展,以及锥体外系症状的出现,导致临床团队开始怀疑NMS及SS的可能,这也是文献中经常提到的诊疗弯路;一系列实验室及辅助检查的阴性结果,以及血清抗体阳性,同样与既往文献一致。最后,患者对IVIG、血浆置换、畸胎瘤切除、利妥昔单抗治疗反应良好,也高度符合既往文献的记录。
结论
抗NMDA受体脑炎是精神科不可遗漏的诊断考虑之一。精神科医生应提高警惕,早期检出及有效管理该病,以降低患者死亡、收入ICU、复发、出现并发症及海马不可逆损害的风险。此外,抗NMDA受体脑炎的治疗与其他常见精神障碍
差异很大,有必要加以了解。
来源:医脉通精神科