
白鸥教授、李佳医生:匹妥布替尼治疗BTK C481S突变的复发难治性CLL/SLL一例,快速缓解与良好耐受性的真实世界观察
慢性淋巴细胞白血病/小淋巴细胞淋巴瘤
(CLL/SLL)是一种常见于中老年人群的成熟B淋巴细胞增殖性肿瘤,以淋巴细胞在外周血、骨髓、脾和淋巴结聚集为特征1。随着布鲁顿酪氨酸激酶抑制剂(BTKi)的广泛应用,CLL/SLL患者的生存率得到了显著提升,但耐药问题也逐渐凸显,尤其是BTK C481S突变已成为共价BTKi(cBTKi)耐药的主要机制之一。在此,医脉通特邀吉林大学白求恩第一医院李佳医生分享一例BTKi耐药(携带BTK C481S突变)的CLL/SLL患者的治疗经过,吉林大学白求恩第一医院白鸥教授做精彩点评。该患者采用匹妥布替尼
三线治疗后达部分缓解(PR),为类似病例的治疗提供了实践经验和治疗思路。
01一般情况
患者,女,57岁。
现病史:2022年患者因乏力伴淋巴结肿大就诊于我院,诊断为“CLL/SLL”,予伊布替尼
治疗后缓解(自述血常规
正常),2024-9患者自行对伊布替尼减量,1月后相继出现乏力、恶心呕吐
,进食后症状加重,偶有腹泻
,遂至我科就诊,完善检查发现高钙血症
(2024-11-04 钙:3.97mmol/L),常规降钙效果不佳,为进一步诊治入院治疗。
既往史:高血压
史1个月,最高200/100mmHg,规律口服硝苯地平控释片
30mg bid,厄贝沙坦氢氯噻嗪片
150mg qd,血压控制良好。
02影像学检查
PET-CT(2024-11-07)示:全身多发淋巴结显示,部分增大伴代谢稍高,较前部分体积缩小、代谢减低,考虑肿瘤活性部分受抑,部分残留。脾略大,代谢不高,倾向反应性改变;余全身所示骨骼及髓腔代谢弥漫增高,待除外淋巴瘤浸润,建议结合骨穿。

图1. 2024-11-07 PET-CT表现
03病理检查
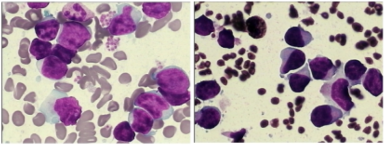
骨髓细胞学检查示(2024-11-07):淋巴细胞比例增加,其中形态异常淋巴细胞占76.5%,形态:胞体大、胞浆量多少不一,少数胞浆可见空泡,核型不规则,可见折叠、扭曲或切迹,核染色质聚集不一,可见团块状,部分细胞可见核仁。诊断意见:考虑淋巴瘤骨髓浸润,请结合免疫分型。

图2. 骨髓细胞形态学表现
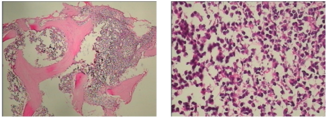
骨髓活检+免疫病理示(2024-11-11):镜下HE及PAS染色示送检骨髓增生明显活跃(60%-70%),异常B淋巴细胞增多(70%-80%),胞体中等至大,胞浆量中等。粒红系细胞少,散在分布。巨核细胞少。网状纤维染色(MF-2级,灶性)。补充免疫组化:CD5(+),CD20(+),CD23(+),PAX5(+),CD3(-),Cyclin D1(-),SOX11(-),CD138(-),LEF1(+),CD10(-)。诊断意见:慢性淋巴细胞白血病治疗后,骨髓增生明显活跃,异常B淋巴细胞多见,胞体偏大,请结合临床及相关检测。

图3. 骨髓活检病理表现
骨髓免疫分型(2024-11-8)示:R1占有核细胞36.55%,主要表达CD19、CD5、CD79bdim、CD200、CD43、CDX4、mLambda、CD25,部分表达CD20、CD23、CD22,不表达CD7、CD10、CD34、CD117、CD38、FMC7、CD11c、CD123、CD138、CD81、CD103,cKi67,mKappa,为异常单克隆B淋巴细胞。结论:CLL复治,有核细胞中可见36.55%异常单克隆B细胞(CD5+CD10-)。
染色体核型分析
(2024-11-19)示:只找到13个可分析分裂相,均为正常核型(还有一部分是近四倍体细胞,因其形态差无法分析,请结合其它相关检查)。结论:46,XX【13】。
FISH检查(2024-11-21)示:17号染色体三倍体2.0%,四倍体72.5%;RB1基因4个拷贝84.5%,不除外其所在13号染色体四倍体,请结合核型分析;12号染色体四倍体,比例76.5%;6号染色体三倍体0.5%,四倍体75.5%。
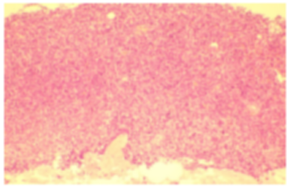
左颈高代谢淋巴结穿刺活检病理(2024-11-15)示:慢性淋巴细胞白血病/小淋巴细胞淋巴瘤(CLL/SLL)加速期。免疫组化:Ki-67(+40%),CD3(-),CD20(+),Pax-5(+),CD43(-),CK-pan(-),CD138(-),CD21(+),Bcl-2(+90%),CD10(-),Blc-6(弱+),CD30(+<5%),CD79a(+),CD38(部分+),Mum-1(部分+),CD23(+),CD5(+),Cyclin D1(-),SOX11(-),c-Myc(+15%),MPO(-),CD19(+),P53(强弱
不等+50%),LEF-1(+),LM02(-),ALK(-),原位杂交:EBER(对照+,样本-)。

图4. 左颈淋巴结活检病理表现(右)
04疾病诊断
慢性淋巴细胞白血病/小淋巴细胞淋巴瘤(CLL/SLL)加速期(进展难治)
05治疗历程
二线治疗
2024-11-20至2025-1-7,予3个周期【R-POLA】(利妥昔单抗
+维泊妥珠单抗
)治疗。治疗1周期后患者血钙逐渐恢复至正常范围,化疗间歇期患者出现IV度粒细胞缺乏,伴发热
,刺激造血后好转,化疗同时送检基因突变位点,提示BTK C481S突变。治疗3周期后患者血钙再次升高,完善PET-CT提示全身多发高代谢淋巴结,较前部分新增,考虑疾病进展,再次行新增高代谢淋巴结活检,病理提示仍为CLL/SLL加速期。

图5. 2025-02-08 PET-CT表现
三线治疗
自2025-2-21起至今,予4个周期(每28天1周期)匹妥布替尼单药200mg qd治疗,2周期后疗效评估为PR,当前已完成第4周期治疗,期间无明显不良事件。
精彩点评
白鸥教授
近年来,CLL/SLL的治疗领域取得了巨大进展。治疗模式从最早期的烷化剂、嘌呤类似物为主,历经以利妥昔单抗为基础的免疫化疗时代,目前已进入BTKi为主的小分子靶向治疗时代2。然而,BTKi的长期治疗可能导致患者出现获得性突变,造成BTKi耐药。本例患者在一线治疗后出现了BTK C481S突变,而Cys-481突变会破坏cBTKi与作用位点的共价结合,导致获得性耐药3。非共价(可逆)BTKi匹妥布替尼不依赖Cys-481位点发挥作用,与Cys-481突变的BTK仍可结合,为cBTKi耐药患者提供了全新的治疗选择3-4。
BRUIN研究5是一项全球、多中心、Ⅰ/Ⅱ期临床试验,旨在评估匹妥布替尼在CLL/SLL等B细胞恶性肿瘤中的疗效和安全性。结果显示,在cBTKi经治的CLL/SLL患者中(n=282),匹妥布替尼的总缓解率(ORR)为81.6%,中位无进展生存期(PFS)为19.4个月。中位随访29.3个月,中位总生存期(OS)未达到,治疗相关不良事件导致停药的患者仅占2.5%。该研究证实了匹妥布替尼在经cBTKi治疗的CLL/SLL患者中的治疗价值。值得一提的是,近期公布的Ⅱ期单臂桥接研究显示,匹妥布替尼在中国CLL/SLL患者中同样展现出良好的疗效与安全性6。鉴于匹妥布替尼的突出疗效,国内外权威指南一致推荐匹妥布替尼用于治疗R/R CLL/SLL患者,无论是否伴有17p缺失/TP53突变7-8。
本例患者在cBTKi伊布替尼治疗后获得缓解,但因C481S突变导致耐药,后续治疗选择受限。匹妥布替尼作为非共价BTKi,独立于Cys481位点发挥作用,对cBTKi耐药突变保持敏感性。本病例中,患者在三线使用匹妥布替尼后迅速达PR,未出现≥3级毒性事件,治疗安全性良好。这一结果印证了匹妥布替尼对BTK C481S突变CLL/SLL的高效可控,为此类难治性患者提供了有效的治疗新策略。随着在临床中更广泛地应用,匹妥布替尼有望进一步改变cBTKi耐药CLL/SLL的治疗模式。未来需开展更多真实世界研究,深入评估其在CLL/SLL治疗中的长期疗效与安全性,为临床医生提供更多循证医学证据,最终为患者带来更优的生存获益。

白鸥 教授
吉林大学白求恩第一医院 血液科副主任
吉林大学白求恩第一医院 淋巴瘤专病联盟 负责人
CSCO 中国抗淋巴瘤联盟(UCLI) 副主任委员
中国老年医学学会血液学分会第二届委员会 副主任委员 青年学组组长
国家卫生健康委能力建设和继续教育中心淋巴瘤专科建设项目临床组 专家
中国抗癌协会淋巴瘤专业委员会 常委
中国抗癌协会肿瘤临床化疗专业委员会 常委
中华医学会血液学分会淋巴细胞疾病学组 委员
中国女医师协会淋巴瘤学组 副组长
吉林省健康管理委员会淋巴瘤专业委员会 主任委员
吉林省卫生系统拔尖人才
发表论文114篇,第一及通讯作者发表SCI论文55篇
获自然科学基金面上项目、重点课题子课题、省级课题45项

李佳 医生
主治医师 医学博士
吉林大学白求恩第一医院 血液科
2014年毕业于吉林大学临床医学七年制
吉林省健康管理学会淋巴瘤专业委员会 委员
吉林省健康管理学会血液病
专业委员会 委员
吉林大学第一医院淋巴瘤专病联盟主要成员
发表SCI文章8篇,中文核心期刊文章5篇,其中第1作者3篇,主持吉林大学纵向课题1项,参与国家自然基金项目1项
熟悉掌握血液系统疾病常规诊断和治疗