
瑞聚例量 | 晚期HCC患者使用阿得贝利单抗联合贝伐珠单抗及肝动脉灌注化疗后,快速获得PR
近年来,免疫检查点抑制剂与分子靶向药物在临床中被广泛应用。然而对于不可切除肝细胞癌
(HCC)患者,使用单一治疗手段往往获益有限,介入治疗联合靶向、免疫治疗方式逐渐成为HCC治疗研究的热点。但由于各种联合治疗方案的搭配模式、应用时机、疗效和安全性等尚未完全明确,仍需要更多探索和验证1。本期为大家分享由林乐涛副主任医师提供的一例入组“肝动脉灌注或静脉输注阿得贝利单抗
,联合静脉输注贝伐珠单抗
及肝动脉灌注-FOLFOX化疗用于晚期不可切除肝细胞癌(HCC)的一线治疗:一项多中心、开放、随机II期临床试验(HAIbrave-001)”的晚期肝癌患者,经肝动脉置管术,术后动脉给予FOLFOX+阿得贝利单抗,静脉给予贝伐珠单抗治疗后,快速获得部分缓解(PR),并特邀范卫君教授进行点评,希望为临床诊疗提供参考。

病例资料
一、基本情况
患者男,61岁
主诉:发现肝占位1个月。
现病史:患者1个月前因腹胀于外院就诊发现肝占位,于2024-11-28进一步就诊我院,既往乙肝大三阳。
二、基线检查
2024-12-13,CT:肝右叶多发肿块、结节,考虑肝癌并多发子灶,肝右、中静脉受累。

图1基线影像学检查

三、临床诊断
1.原发性肝癌
(BCLC C期,CNLC IIIa 期),Child A级
2.乙肝后肝硬化
四、治疗过程
患者入组“肝动脉灌注或静脉输注阿得贝利单抗,联合静脉输注贝伐珠单抗及肝动脉灌注-FOLFOX化疗用于晚期不可切除肝细胞癌(HCC)的一线治疗:一项多中心、开放、随机II期临床试验(HAIbrave-001)”,随机至研究的动脉臂,于2025-01-03至2025-02-14行两程肝动脉造影+肝动脉置管术,术后动脉给予FOLFOX+阿得贝利单抗1200mg,静脉给予贝伐珠单抗800mg

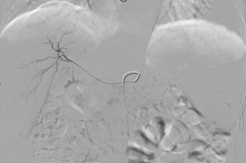
图2行肝动脉置管术
2025-02-15,MR:肝右叶多发肿块、结节,较前缩小、强化减低。疗效评价PR。

图3术前与术后MR检查

图4 肿瘤标志物
逐步下降
2025-03-07至2025-03-28,行第3-4程肝动脉置管术,术后动脉给予FOLFOX+阿得贝利单抗1200mg,静脉给予贝伐珠单抗800mg

图5 行肝动脉置管术
2025-04-11,MR:肝右叶多发肿块、结节,较前稍缩小,强化减低。疗效评价PR。

图6 治疗期间MR检查

图7 肿瘤标志物维持正常
病例小结
本例肝癌(BCLC C期,CNLC IIIa 期)患者,入组了“肝动脉灌注或静脉输注阿得贝利单抗,联合静脉输注贝伐珠单抗及肝动脉灌注-FOLFOX化疗用于晚期不可切除肝细胞癌(HCC)的一线治疗:一项多中心、开放、随机II期临床试验(HAIbrave-001)”,2025-01-03至2025-02-14行两周期肝动脉造影+肝动脉置管术,术后动脉给予FOLFOX+阿得贝利单抗,静脉给予贝伐珠单抗,肿瘤标志物逐步下降,疗效评价PR;2025-03-07至2025-03-28行第3-4周期肝动脉置管术,术后动脉给予FOLFOX+阿得贝利单抗,静脉给予贝伐珠单抗,治疗四周期复查病灶较前缩小,疗效评价PR,肿瘤标志物恢复接近正常。
专家点评
近年来,在肝癌领域,靶向治疗与免疫治疗相关探索取得了诸多进展,但整体治疗有效率仍有待提升。免疫+靶向+介入这一综合治疗模式,有望开启晚期肝癌治疗的新篇章。
在2024 ASCO会议上,一项“阿得贝利单抗联合阿帕替尼
和肝动脉灌注化疗治疗不可切除HCC的安全性和有效性”的回顾性研究结果显示,根据mRECIST标准,20例接受阿得贝利单抗联合阿帕替尼和HAIC-FOLFOX治疗的不可切除HCC患者中,客观缓解率(ORR)70%,疾病控制率(DCR)85%2。由此可见,靶免+HAIC的联合方案能够改善晚期HCC的疗效,为该类患者的治疗带来新选择。
为了探索更多适宜的治疗方案,范卫君教授团队目前正开展一项多中心、开放、随机II期临床试验(HAIbrave-001),旨在探索肝动脉灌注或静脉输注阿得贝利单抗,联合静脉输注贝伐珠单抗及肝动脉灌注-FOLFOX化疗用于晚期不可切除HCC的一线治疗的疗效及安全性。在前期探索中,HAIC联合阿得贝利单抗及贝伐珠单抗治疗HCC展现出良好的疗效及安全性。
从理论上来讲,抗血管生成靶向治疗作用于肿瘤新生血管,促进血管正常化,改善肿瘤微环境,为免疫细胞的浸润和杀伤创造了有利条件。同时,HAIC作为局部治疗手段,精准地将化疗药物输送到肿瘤部位,提高了药物局部浓度,减少全身副作用1。阿得贝利单抗为国产原研IgG4抗体,Fab段及Fc段均经过改造,抗体更纯净、耐受性更优。其与抗血管生成靶向治疗和HAIC的联合应用,可产生协同增效的抗肿瘤作用。而从原理上讲,PD-L1抗体靶向肿瘤表面的PD-L1抗原,通过局部灌注的方法有机会实现更强的免疫治疗效应,同时减少全身不良反应。
本例入组HAIbrave-001研究的HCC(BCLC C期,CNLC IIIa 期)患者,行肝动脉造影+肝动脉置管术,术后动脉给予FOLFOX+阿得贝利单抗4程,肿瘤标志物逐步降低接近正常,肿瘤缩小明显,疗效评价PR。再次印证了以阿得贝利单抗为基础的系统治疗联合介入治疗能够给晚期HCC患者带来获益。
总体而言,随着介入材料的更新以及技术的成熟,中晚期HCC的局部介入治疗持续优化,而靶向联合免疫治疗时代的兴起,更为该领域注入了“新的活力”。鉴于中晚期不可切除HCC患者的治疗需要多方位、多学科的综合治疗理念,局部介入联合靶向+免疫治疗的模式将成为中晚期HCC治疗的优选。在联合治疗适宜人群的筛选上,可综合考量患者基础病因、体能状态、肝功能状况、门静脉癌栓、肿瘤大小、分期及生物标志物1。未来,还需探索更多联合治疗方案,细化不同治疗手段的配合时间点,针对患者个体差异及肿瘤异质性制定个性化治疗选择,并通过更多前瞻性、大样本临床对照试验,进一步完善治疗方案,以提升肿瘤反应率,延长患者远期生存时间。

