
长生存迈向治愈:首评即PR,生存超3年!替雷利珠单抗助力2例ES-SCLC伴高危转移特征患者实现生存突破
前言
近年来,免疫检查点抑制剂的应用为广泛期小细胞肺癌
(ES-SCLC)患者带来了全新的治疗选择,显著改写了ES-SCLC的治疗格局。其中,我国自主研发的PD-1抑制剂替雷利珠单抗
,凭借Ⅲ期RATIONALE-312临床研究的突破性成果,已获国家药品监督管理局(NMPA)批准用于ES-SCLC一线治疗并正式纳入国家医保目录。研究数据显示[1],替雷利珠单抗联合化疗的中位总生存期(OS)达15.5个月,3年OS率高达25%,刷新了免疫联合化疗用于ES-SCLC的Ⅲ期研究长期生存纪录。
本期,来自郑州大学第一附属医院的黄思远医生分享了两例入组RATIONALE-312研究的病例。两例患者在接受替雷利珠单抗联合化疗后,首次疗效评估均达到部分缓解(PR),并分别实现了超过40个月和39个月的长期生存。基于此,医脉通特邀郑州大学第一附属医院李醒亚教授就病例进行点评,探讨替雷利珠单抗为ES-SCLC治疗格局带来的突破性改变及其广阔的临床应用前景。


病例分享1
一、基本信息
患者:女性,年龄45岁。
现病史:2020年1月因“胸闷” 至当地医院,2021年1月11日胸部CT显示:1.左肺门占位性病变。2.左肺炎症。3.左侧胸腔积液
。4.心包积液。遂至我院。
既往史、个人史、家族史:无特殊。
二、辅助检查
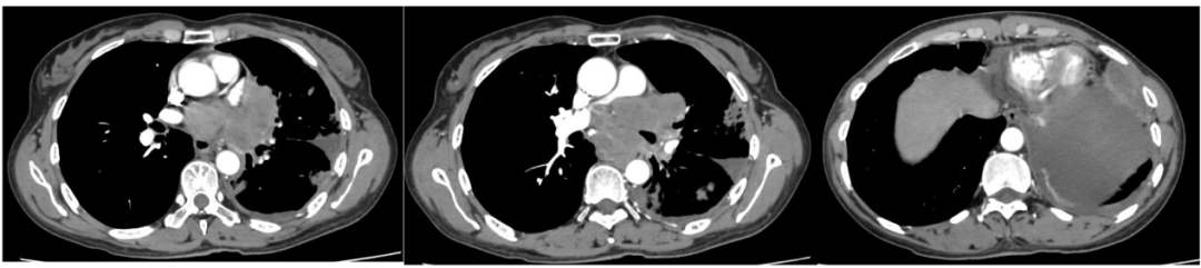
2021年1月14日行胸腹部增强CT。

图1. 2021年1月14日胸腹部CT
图像
脑部MRI及骨扫描:未见转移征象。
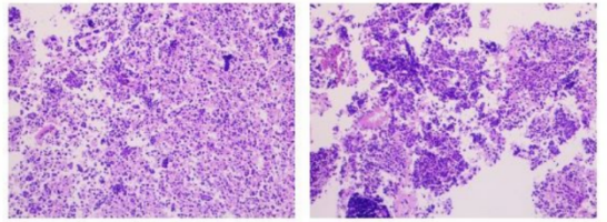
穿刺活检:涂片
见癌细胞。免疫组化: AE1/AE3(CK)(+)、SYN(+)、CD56(+),TTF-1(-),P40(-),Ki-67 增殖指数约80%。

图2. 穿刺活检结果
三、临床诊断
广泛期小细胞肺癌(cT4N3M1a,ⅣA期)
四、诊疗过程
在与患者进行充分沟通,并综合考虑其经济状况后,患者最终选择入组探索铂类药物+依托泊苷
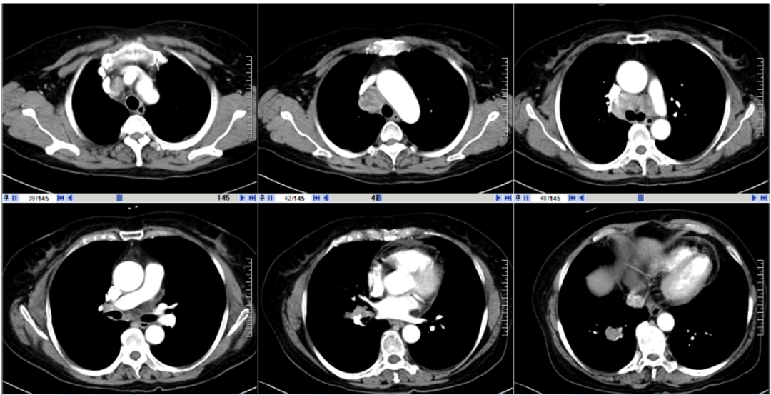
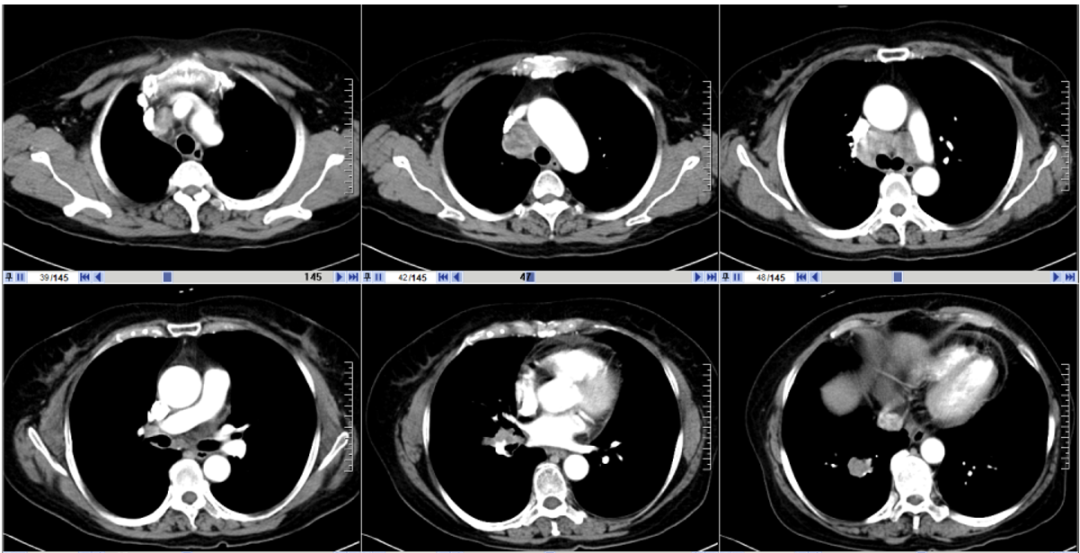
联合或不联合替雷利珠单抗用于未经治疗ES-SCLC患者的疗效及安全性的随机、双盲、安慰剂对照的Ⅲ期RATIONALE-312研究。患者于2021年2月22日接受首次治疗后,肿瘤快速缓解,第一次评疗效估即达到PR。此后经定期影像学随访评估,疗效持续维持,PFS已超过40个月。在整个治疗过程中,患者总体安全性可控,生活质量良好。


图3. CT复查结果
病例分享2
一、基本信息
患者:女性,年龄58岁。
现病史:2020年12月于外院体检发现肺占位。2020年12月4日外院就诊,行增强CT显示:1、考虑右肺癌伴右肺、右肺门及纵膈多发转移,请结合临床。 2、右肺中叶及左肺上叶下舌段少许炎症3、心包积液。头部MRI增强显示:额骨、右侧颞骨局部异常信号,考虑转移。
既往史、个人史、家族史:无特殊。
二、辅助检查
支气管镜下活检:病理诊断提示:1.“右肺中间支气管”活检小细胞恶性肿瘤,倾向小细胞癌,建议免疫组化协诊分类。2.“灌洗液”见肿瘤细胞。
头颅MRI:1.额骨、右侧颞骨异常信号,考虑颅骨转移。2. 额部硬脑膜增厚并异常强化,考虑脑膜转移。为排除脑膜转移行腰穿,脑脊液线性流出,未见肿瘤细胞,结合神经内科会诊意见,暂不考虑脑膜转移。
2020年12月11日行胸部增强CT:提示右肺门及右肺下叶占位,考虑恶性。右肺及左肺斜裂多发小结节,考虑转移。纵隔内及右肺门多发淋巴结增大,考虑转移。心包少量积液。左肺下叶小肺大疱。颈部、全腹CT平扫
加增强未见明显异常。

图4. 2020年12月11日CT检查
结果
三、临床诊断
广泛期小细胞肺癌(cT4N3M1c,ⅣB期),伴骨转移。
四、诊疗过程
充分沟通后,患者选择入组RATIONALE-312研究。于2020年12月18日-2021年3月26日行“依托泊苷+卡铂
+替雷利珠单抗/安慰剂”治疗5个周期。用药后,肿瘤快速缓解,第一次疗效评估达到PR。2021年4月17日起,进入维持治疗阶段。

图5. CT复查结果
2022年3月23日行头颅MRI:提示头部出现转移病灶。肺部病灶稳定。与试验方沟通后,允许脑部病灶给予放疗,并继续原方案维持治疗。脑部放疗方案为PGTV:45GY,4.5GY/次,5次/周。至此,患者PFS1已达15个月。
2023年6月5日患者出现头部症状重,头脑不清楚,行MRI提示放射性脑坏死。此后患者出组,临床揭盲确认其属于替雷利珠单抗组。
2023年7月给予患者“贝伐珠单抗
联合化疗”治疗4周期后头部症状缓解。后继续替雷利珠单抗维持治疗,期间定期影像学随访,疗效维持PR。
最后一次影像学随访时间为2024年3月22日。此时,PFS2已超过39个月。

图6. 2024年3月22日CT结果
病例总结
黄思远医生:
病例一患者为45岁女性,因“胸闷”于2020年1月就诊。经影像学检查、病理检查
确诊为广泛期小细胞肺癌(cT4N3M1a,ⅣA期)。患者因经济因素入组RATIONALE-312研究,于2021年2月22日起接受研究方案(铂类+依托泊苷联合替雷利珠单抗或安慰剂)治疗。治疗后肿瘤快速缓解,首次疗效评估即达到PR。此后定期进行影像学随访,结果显示疗效持续,病灶控制稳定,PFS已超过40个月,且治疗期间总体安全性可控。
另一例患者为58岁女性,2020年12月体检发现肺占位。经检查确诊为广泛期小细胞肺癌(伴颅骨转移,ⅣB期)。该患者同样入组RATIONALE-312研究,接受“铂类+依托泊苷联合替雷利珠单抗或安慰剂”治疗,首次评估亦达PR。治疗过程中出现颅脑进展,经局部放疗后继续原方案治疗。后因放射性脑坏死退出研究,临床揭盲证实其隶属于替雷利珠单抗组。后续经贝伐珠单抗联合化疗,头部症状缓解后继续替雷利珠单抗治疗,疗效始终维持PR。至2024年3月22日末次随访,其PFS2已超过39个月。
两例病例均证实,替雷利珠单抗联合化疗作为ES-SCLC的一线治疗方案,能带来快速、深度且持久的缓解,助力患者实现长期获益。
专家点评
李醒亚教授:
本期分享的两例病例均来自RATIONALE-312研究,具有重要的临床参考价值。病例一为45岁女性,确诊为ES-SCLC(cT4N3M1a,ⅣA期),伴胸腔及心包积液;病例二为58岁女性,诊断为ES-SCLC(cT4N3M1c,ⅣB期),伴颅骨转移。两例患者均属于伴有高危转移特征、传统治疗预后差的患者群体。令人鼓舞的是,在接受替雷利珠单抗联合化疗方案治疗后,两例患者均迅速达到PR,并分别实现了超过40个月和39个月的持续疾病控制。尤为值得注意的是,病例二在治疗过程中出现颅内进展,经与研究团队沟通后接受局部放疗,并继续原免疫方案维持治疗,病灶再次得到有效控制。后续虽因放射性脑坏死短暂中断治疗,但经对症干预后再次重启替雷利珠单抗维持治疗,依然表现出持续的治疗响应,体现出该方案良好的耐受性和持久的疾病控制力。
RATIONALE-312研究是一项针对中国ES-SCLC人群的随机、双盲、安慰剂对照Ⅲ期临床试验,其研究结果为中国临床实践提供了高级别证据。数据显示[1],替雷利珠单抗联合化疗可显著延长患者中位OS至15.5个月,并将3年OS率提升至25%,意味着约四分之一的患者可实现长期生存,刷新了目前免疫联合化疗一线治疗ES-SCLC Ⅲ期研究的3年生存率新高,也为该类患者争取“慢病化管理”提供了可能。此外,该联合方案可有效控制疾病进展,12个月的PFS率相较单纯化疗组提升了4倍以上(分别为21% vs. 5%)。上述数据与这两例病例实践形成强有力的互证,表明替雷利珠单抗联合化疗可为ES-SCLC患者带来快速、深度且持久的治疗响应,显著延长PFS与OS,使长期高质量生存成为可能。
基于充分的临床证据,2025版中国临床肿瘤学会(CSCO) NSCLC及SCLC诊疗指南,已将替雷利珠单抗全面纳入肺癌治疗推荐中,实现“5大适应症的全线、全人群Ⅰ级推荐”,包括鳞状NSCLC一线、非鳞状NSCLC一线、NSCLC二线及后线、ES-SCLC一线及可手术NSCLC围术期治疗五大适应症。 目前替雷利珠单抗目前已在欧盟获批用于ES-SCLC的一线治疗,进一步证实了其在SCLC治疗中的疗效和安全性,为全球SCLC患者带来了新的治疗选择。且随着医保覆盖的全面落地,药物可及性也进一步提升。相信未来将有更多中国患者能够从这一创新药物中获益,迈向高质量的长生存。