
病例分享 | 糖尿病也会“乱舞”?右上肢不自主不规律舞蹈样运动1例
作者:胡一川 沭阳医院内分泌科
模糊、手脚麻木?其实,它还可能引发一种让人”身不由己“的罕见并发症——患者会出现肢体、面部不自主的舞蹈样动作。
今天就通过一则真实病例,带大家认识这种容易被忽视的糖尿病纹状体病。

病例资料
患者信息:女性,76岁,2025年10月23日至10月29日于我科住院。
主诉:发现血糖升高30年,右上肢及面部不自主运动1天。
现病史:患者30余年前体检时发现血糖异常,至当地医院就诊,多次测空腹血糖>7.0mmol/L,餐后2小时血糖>11.1mmol/L,诊断为“2型糖尿病
”,平素应用“二甲双胍格列本脲
”降糖治疗,未严格控制饮食及监测血糖。近3天患者多次测指尖空腹血糖>20.0mmol/L,1天前出现右上肢不自主不规律舞蹈样运动,伴有右侧面部不自主挤眉弄眼及伸舌,在紧张和情绪激动时加重,入睡后消失。病程中患者有全身乏力,有视物模糊,有手足麻木,无四肢发凉、间歇性踱行,无反复心慌、冷汗伴饥饿感,无发热
,无咳嗽
、咳痰、气喘,无胸痛
、胸闷、心悸
,无恶心、呕吐
,无腹痛、腹泻
,无头痛
、头晕,无意识障碍
、偏瘫,饮食、睡眠可,无尿急、尿痛、尿失禁
,无腹泻、便秘
交替,近期体重未见明显增减。
家族史:否认家族中传染性疾病病史;否认家族中遗传疾病病史。
(1)实验室检查

(注:尿常规
提示异常,无膀胱刺激征,择期复查;血气分析提示氧分压低,低流量吸氧后指脉氧
正常,血糖下降后停吸氧复测指脉氧正常。)
②部分指标变化

(注:患者入院时血钾低,补钾治疗后停用血钾再次下降,考虑既往口服利血平导致低钾血症
可能性大,患者年纪大,药物代谢较慢,再次补充及停用后复查血钾正常,遗憾的是未留取24小时尿钾。)
(3)器械检查
心电图
:窦性心律,心电图未见异常。
颈动脉超声:左侧颈动脉内膜面毛糙伴斑块形成。
双下肢动静脉超声:双下肢深动脉内膜面毛糙伴双侧斑块形成,双下肢深静脉目前未见明显血栓形成。
甲状腺超声:甲状腺双侧叶低回声结节(TI-RADS3类);双侧颈动脉旁未见明显肿大淋巴结。
心脏超声:轻度二尖瓣关闭不全
,EF61%。
肝胆胰脾超声:脂肪肝
。
CT(胸部+腹部平扫):左肺小结节,两肺轻度间质性改变;主动脉及冠脉硬化;胆囊多发结石
;肝脏、脾脏、胰腺、双肾大小、形态、密度未见明显异常;腹腔及腹膜后未见明显肿大淋巴结。
磁共振颅脑平扫+MRA:脑内多发腔梗、缺血灶;右侧枕叶及左侧颞枕叶软化灶伴周围胶质增生;左侧基底节区少许斑片状TWI高信号及TW2低信号;DWI右侧小脑稍高信号,伪影可能;老年性脑改变;脑动脉粥样硬化
改变,右侧颈内动脉颅内段未见显示,两侧大脑中动脉狭窄。(图a、b)
颅脑CT平扫
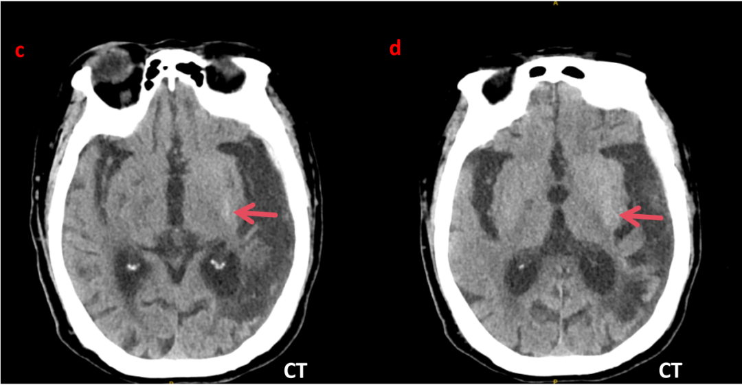
:左侧颞枕叶大片软化灶;左侧颞顶部颅板下见带状高密度影(提示左侧颞顶部硬膜下血肿);左侧基底节区小片状略高密度影;两侧脑室旁、基底节区腔梗。(图c、d)


注:a、b图为患者入院当天时(2025-10-23)颅脑MR图像,提示左侧基底节区斑片状TWI高信号及TW2低信号;
c、d 图为患者入院4天后(2025-10-27跌倒坠床)完善头颅CT图像,提示左侧基底节区高密度影,CT值40HU,无水肿
及占位效应,结合MR,此处高密度影不考脑出血
相关。
入院诊断:1.2型糖尿病;2.偏侧舞蹈症;3.高血压病2级(很高危);4.脑梗死后遗症;
治疗及治疗结果:入院急诊静脉葡萄糖
测定28.31mmol/L,院内报危急值,予下病重,四针胰岛素降糖,同时予补液、调脂对症支持治疗。患者血浆渗透压正常,不考虑高渗高血糖综合征。患者右上肢及面部不自主运动,予盐酸硫必利片
0.1gbid控制。随着血糖逐渐下降,右上肢及面部不自主运动逐渐缓解并消失,出院时调整为阿卡波糖
50mg tid、盐酸二甲双胍缓释片
0.5g bid、门冬胰岛素30注射液
14u、12u早晚餐前即刻皮下注射降糖,血糖基本达标。
鉴别诊断:患有亨廷顿舞蹈病、脑血管疾病、肝性脑病
、威尔逊病、系统性红斑狼疮
、中毒
(锰和有机汞)和使用多种药物(左旋多巴
、抗抑郁药、苯妥英
和可卡因)的患者也可能发生急性至亚急性弹跳/舞蹈病。其中,在威尔逊病、肝性脑病和中毒(锰和有机汞)患者中也可以观察到类似的基底节放射学表现。该患者病史中未发现多种药物使用、舞蹈症家族史、风湿免疫等病史,此次为第一次发作舞蹈症,检查未发现肝功能、血清铜蓝蛋白
、抗核抗体谱异常,角膜 K-F 环(-),已排除掉除脑血管疾病及糖尿病以外的其他原因所致的舞蹈症。且患者符合糖尿病纹状体病诊断 3 个条件,有舞蹈肢体对侧的基底节区影像异常表现,故诊断仍应考虑糖尿病纹状体病。


糖尿病纹状体病(diabetic striatopathy,DS)曾名称不统一、概念不清楚,既往有命名为“高血糖非酮症偏侧舞蹈症”、“非酮症性高血糖合并偏侧舞蹈症”、“舞蹈-高血糖-基底节综合征”等。非酮症性高血糖偏侧舞蹈症(hemichorea associated with non-ketotic hyperglycaemia, HCNH)最早由英国 Bedwell 于1960年次提出了糖尿病偏侧舞蹈症的概念。1985 年Jones 教授第1次报道了 HC-NH 。Chua等于2020年建议命名为“糖尿病纹状体病”,因为该病既可以偏侧舞蹈,也可以双侧,既可以出现非酮症,也可出现在酮症,既可以表现为舞蹈症,也可以不表现为舞蹈症,其他命名均不准确,这也提示DS表型存在多样性,但典型的DS存在以下3个特点可做出诊断,即血糖控制较差的糖尿病患者,出现舞蹈/投掷样运动障碍和/或纹状体异常影像学表现。
舞蹈症是由基底节区或其联系纤维受损引起的锥体外系症状,主要表现为肢体及头部不自主舞蹈样动作。锥体外系的主要组成部分包括新纹状体(尾状核及壳核)、苍白球、黑质、丘脑底核及红核,其共同组成多条调节运动的神经环路,主要包括:(1)新纹状体释放 γ-氨基丁酸(γ-aminobutyric acid,GABA) 至丘脑底核,后者释放谷氨酸
至苍白球内侧部及黑质网状部,从而降低皮质运动区兴奋性,产生抑制运动的效果;(2)黑质致密部神经元释放多巴胺
至新纹状体, 通过调节新纹状体神经元功能来提高皮质运动区的兴奋性,产生易化运动的效果。当上述结构组成的神经环路神经递质生化异常和/ 或环路活动紊乱时,易化运动增强,产生锥体外系症状。舞蹈症导致的运动障碍是随机且连续的。
高血糖可导致多种神经系统损害,当并发运动障碍时,多表现为偏身舞蹈症,当急性发作时典型的影像表现为对侧纹状体MRI T1高信号、CT平扫高密度为该病的特异改变,予以控制血糖、氟哌啶醇+氯硝西泮等药物治疗后患者舞蹈症状缓解。
糖尿病纹状体病是糖尿病患者中一种罕见的并发症。尤以老年女性多见,男女比例约1∶1.8。其中非酮症高血糖性偏侧舞蹈症相对常见,发病率低于1/100000,而因酮症性高血糖所致的偏侧舞蹈症则更为罕见。绝大多数为2 型糖尿病患者(97%),17%为新诊断糖尿病患者,提示糖尿病纹状体病可以是糖尿病的首发临床表现;平均年龄 67.6 岁,最小 8 岁,最大 92 岁;男女比例 1∶1.7。 97.7%的糖尿病纹状体病患者出现舞蹈样不自主运动症状。可突发起病,也可以隐匿起病,症状可间断出现,也可持续存在,通常在紧张时加重,睡眠时消失。其中,9.7%的患者可出现双侧肢体受累。纹状体中壳核、尾状核、苍白球受累的比例分别为 39%、34.8%、26.2%。孤立的壳核受累最常见,其次是尾状核和壳核两个部位同时受累。9.7%糖尿病纹状体病患者双侧纹状体受累。
高血糖导致血浆渗透压增高,并发微血管病变及微循环障碍 ;高血液黏度及血脑屏障的破坏加重局部区域脑组织缺血缺氧,糖化血红蛋白含量升高影响红细胞的氧亲和力, 进一步加重细胞和组织缺氧。目前有几种学说,均认为高血糖导致黑质纹状体系统多巴胺功能增强,从而产生舞蹈症状。
(1)代谢紊乱学说:正常情况下 ,大 脑 中 抑 制 性 的 氨 基 酸 递 质 γ 氨 基 丁 酸(γ⁃amino butyric acid,GABA)与兴奋性的递质多巴胺处于平衡状态。当纹状体系统受损时,GABA减少,多巴胺能神经元脱抑制而过度活跃,从而发生 HC⁃NH。Kumar等发现病灶侧纹状体处于葡萄糖低代谢状态;Tan等的研究结果显示,高血糖可破坏血脑屏障,脑局部葡萄糖代谢下降或衰竭(尤以纹状体为著),以无氧代谢为主,需GABA为能量来源,非酮症时GABA快速耗竭又无法重新合成,合成GABA的乙酰乙酸耗尽导致乙酰胆碱合成障碍,GABA、乙酰胆碱、多巴胺平衡破坏,产生 HC⁃NH。有文献报道,机体非酮症合并感染时,也会导致无乙酰乙酸合成 GABA,纹状体 GABA 更快被耗竭,由此说明了炎症因子可能参与了DS的发病机制。但酮体阳性患者乙酰乙酸并不缺乏,GABA 含量也不会轻易减少,其具体发病机制尚有待进一步研究。
(2)多巴胺超敏现象:高血糖状态时多巴胺能神经元活性改变,使多巴胺受体上调,抑制多巴胺的降解,导致多巴胺神经功能相对亢进,从而引起HC⁃NH。
(3)灌注不足学说:Suzuki 等通 过 单 光 子 发 射 计 算 机 断 层 成 像 术 发 现 DHB⁃HC患者纹状体区域灌注明显下降,考虑其发病可能与缺血有关,从而证实了这一学说。
(4)微出血学说:Nath等尸检发现HC⁃NH患者病灶处微量出血,但其出血不同于一般脑出血,血肿局限于豆状核及壳核,不压迫内囊及邻近结构,无水肿及占位效应,且MRI不符合脑出血时间演变规律。
(5)神经变性因素:长期慢性的高血糖或高渗性会导致纹状体区内的蛋白质发生华勒变性,变性过程出现的蛋白质脱水可以解释HC⁃NH影像学变化 。
然而上述机制无法解释个别患者血糖控制后症状仍持续存在,低血糖和酮症高血糖的患者也可以发生舞蹈病,并且大多数糖尿病性舞蹈病患者为单侧症状,也不是仅用系统性代谢性疾病就能解释。高血糖可以导致外周血红细胞代谢紊乱形成棘红细胞和纹状体的抗原交叉反应,参与舞蹈病的病理过程。总之,不可能是唯一机制所致,其发病机制还有待进一步研究。
高血糖可导致多种神经系统损害,当并发运动障碍时,多表现为偏身舞蹈症,当急性发作时典型的影像表现为对侧纹状体MRI T1WI 高信号,T2WI 则为多变信号,边界清晰,无水肿现象,CT 平扫高密度为该并发症的特异改变。虽然糖尿病纹状体病影像表现具有明显特征性,但当表现出明显 T1WI 高信号、T2WI 低信号及 CT 高密度时,仍需要与出血相鉴别。急性脑内出血周围可见明显水肿信号并且当豆状核、尾状核头均受累时内囊会受累,且 DWI 可明显弥散受限,1~2 周复查糖尿病纹状体病影像改变不明显但是出血改变明显,这些均是重要鉴别点。 DS 患者影像学检查具有特征性表现,患肢对侧纹状体,主要是尾状核头和壳核,发病初期 CT 表现为高密度灶,信号不均匀,急性期呈片状改变,MRI 上 TWI 基底节区尤其是壳核呈高信号,在基底节其他结构性或代谢性损害中未见到这种影像学改变。此影像学表现的解释
说法不一:可逆性钙盐或某种未知物质沉积、胶质细胞增生、代谢紊乱引起的斑片状出血、 脑缺血等原因。2.3%的患者无舞蹈症状,但影像学提示纹状体受累,可表现为意识障碍、癫痫发作、肢体无力、构音障碍、吞咽困难等。CT高密度完全消退时间平均为 60 d,MRI-T1高信号完全消退时间平均为 120 d。
糖尿病纹状体病影像特点明确,并与高血糖尤其是偏身舞蹈症关系密切。但是由于糖尿病纹状体病发病率低,放射科医师可能存在认识不足,故当患者出现明显纹状体CT高密度或MRI T1WI 高信号时需要考虑糖尿病可能,并密切观察患者血糖情况尤其是一侧肢体不自主运动的情况,从而提高诊断率。
虽然 DS 表型存在多样性,但典型的 DS 存在以下 3 个特点即可做出诊断:1.血糖控制较差的糖尿病;2.亚急性单侧肢体舞蹈/投掷样运动障碍;3.舞蹈肢体对侧纹状体特征性MRI为 T1WI 高信号异常影像学表现。这类患者在控制血糖、氟哌啶醇+氯硝西泮治疗后患者舞蹈症状可明显缓解。DS 的 MRI 敏感性为 95.33%,CT 敏感度为 78.86%。当高血糖患者出现舞蹈样运动障碍,而MRI-T1序列未见纹状体高信号,需要做大量的鉴别诊断,排除舞蹈症的其他病因,如血管性、自身免疫性、中毒性、感染性、肿瘤性、炎症性、药物性等,才能做出糖尿病纹状体病诊断。
首先应积极进行病因治疗,尽早迅速控制高血糖状态是预防该病的关键性措施之一,急性期必须应用胰岛素纠正应激性高血糖及防止酮症酸中毒。在控制血糖的同时应积极地纠正电解质和酸碱平衡失调。症状重者,经控制原发病仍不能控制舞蹈症状时可给予多巴胺受体拮抗剂治疗(此患者,考虑年纪大,予治疗),以控制不自主运动。另外,GABA 受体激动剂如氯硝西泮、地西泮,五羟色胺再摄取抑制剂如艾司西酞普兰,多巴胺耗竭剂丁苯那嗪、利血平等药物对该病也有一定的疗效。
需要注意的是,由于部分患者服药过程中可能出现震颤等不良反应, 因此应从小剂量开始,缓慢加量,采取个体化的治疗方案。重症患者可以采用苍白球、丘脑腹外核电凝或冷冻手术治疗,或者经颅磁刺激、苍白球脑深部电刺激疗法治疗。该病在纠正高血糖症、短期使用氟哌啶醇及安定类药物后可以使症状在短期内改善,很少复发,预后较佳。
糖尿病纹状体病是糖尿病的罕见神经系统临床表现,既往有许多模糊不清的术语;典型患者表现为血糖控制差的糖尿病患者出现亚急性偏侧舞蹈症症状,舞蹈肢体对侧纹状体在MRI表现为特征性 T1WI 高信号异常影像学;存在影像学阴性的舞蹈症患者,此时需要排除其他病因;存在无舞蹈症的糖尿病纹状体病患者,以意识障碍、癫痫发作等为临床表现,大多数患者预后良好,但接近1/5 的患者复发糖尿病性舞蹈症好发于血糖控制不良的老年糖尿病患者,糖尿病性舞蹈症的病理生理基础尚不明确,分析可能与血糖升高后的代谢紊乱以及糖尿病脑血管病变所致的急性血脑屏障功能障碍等因素有关。另外,有研究显示糖尿病性舞蹈症多见于老年女性糖尿病患者,推测与更年期老年妇女的雌激素分泌减少,使雌激素对多巴胺受体的超敏现象受到抑制有关。
本例患者中年女性,本次表现为突发右上肢及右侧面部不自主运动,平素糖尿病管理较差,入院血糖水平高达28.31 mmol/L,呈非酮症非高渗状态,MRI在左侧(舞蹈运动障碍肢体对侧)基底节区出现特征性T1WI 高信号表现,头颅CT左侧基底节区片状高密度影,血糖控制良好后症状完全消失,符合DS诊断的特征性改变。患者无肝病史,肝功能、甲功能、血钙磷、铜蓝蛋白无异常,颅内无钙化灶,查体无K-F环,排除亨廷顿舞蹈症、肝豆状核变性、基底节钙化、甲状旁腺功能减退、风湿免疫相关疾病等;患者无发热,无毒物及一氧化碳中毒,无免疫系统相关疾病等,排除药物、中毒、免疫、细菌等相关获得性舞蹈症。患者糖尿病纹状体病诊断成立。但该患者需后续进行随访,如颅脑影像学检查提示右侧基底节区高密度影缩小或消退,更支持DS诊断。
通过有效控制血糖后,大多数 DS 患者的临床症状可随血糖降低在数小时内明显好转或消失,但少部分症状仍会持续存在,在这种情况下需予以对症治疗。该疾病在亚裔、高龄、女性的糖尿病患者中易患,易患因素的人口学数量巨大,而偏身舞蹈症为罕见病,推测存在尚待挖掘的其他危险因素发挥作用。其次,代谢障碍机制难以解释病灶多位于单侧的原因,症状严重程度与哪些因素相关值得进一步探索,患者对药物治疗反应的差异性也值得探索。该病目前相对罕见,尚缺乏规范的诊疗指南。在临床工作中,对于老年糖尿病患者,影像学不典型亦应考虑本病的可能性。综上所述,虽然糖尿病纹状体病(diabetic striatopathy,DS)发病率低,但如不积极诊治,过多高强度舞蹈症可致肌纤维损害、钾离子释放、肌酶升高甚至横纹肌溶解、急性肾功能衰竭,甚至危及生命。查阅大部分文献大部分患者就诊于神经内科,但作为内分泌科医生如何基于典型的临床表现、影像学特征和实验室检查结果做出正确的判断非常重要。提高对本病的认识,可减少误诊、漏诊,及时采取有效的治疗,早期纠正高血糖,改善患者症状及预后。
参考文献
本视频/资讯/文章的内容不能以任何方式取代专业的医疗指导,也不应被视为诊疗建议。医脉通是专业的在线医生平台,“感知世界医学脉搏,助力中国临床决策”是平台的使命。医脉通旗下拥有「临床指南」「用药参考」「医学文献王」「医知源」「e研通」「e脉播」等系列产品,全面满足医学工作者临床决策、获取新知及提升科研效率等方面的需求。
