
多重治疗却难奏效!72岁患者生命为何屡遭危机挑战?丨医起推理吧
作者:王玉
伟
本文为作者授权医脉通发布,未经授权请勿转载。
01
脑梗打击
这位72岁的女性患者,本身患有风湿性心脏病
、多瓣膜病变、心房颤动
和高血压
等多种疾病,长期依靠“华法林
”进行抗凝治疗,如同一道抵御血栓的防线。
然而,这道防线并不稳固——她的INR值始终波动,未能达到标准值。
四个月前,危机终于爆发。
患者突发意识不清、言语功能丧失,伴有右侧肢体完全无法活动,于是前往神经内科就诊,被诊断为“急性脑梗死
”。颅脑MRA检查提示“左侧大脑中动脉闭塞,右侧大脑中动脉狭窄”,结合患者房颤病史,元凶直指“心源性脑栓塞”。
经积极抗凝、脱水降颅压等治疗后,虽然她保住了生命,却留下了言语含糊和右侧肢体瘫痪
的后遗症。
病情稳定后,患者转入康复医院,希望的火苗重新燃起。
通过系统训练,她的右下肢肌力逐渐恢复,家人和治疗师都期待着她能再次站立行走。然而,谁也不曾料到,一场更大的风暴正在悄然酝酿。
02
心梗危局
那是凌晨一点,患者突然烦躁不安,用含糊的声音和手势指向自己的胸前。
值班医生迅速上前询问:“是胸口疼吗?”患者连连点头。
立即行心电图
检查,提示“心房颤动,V5、V6导联ST段抬高(图1)”;急查心肌酶谱及D-二聚体
,结果显示α-羟丁酸脱氢酶
、乳酸脱氢酶轻度升高,肌酸激酶及其同工酶正常,而D-二聚体显著升高至4.66mg/L(参考范围0–0.55mg/L)。

图1
医生迅速判断其为“急性ST段抬高型心肌梗死
”,但康复医院并不具备急诊冠脉介入的手术条件。
鉴于患者目前仍在服用华法林,医生立即给予“阿司匹林
200mg、硫酸氢氯吡格雷
225mg”口服,并静滴“单硝酸异山梨酯
”治疗,同时紧急联系上级医院转诊。
而在上级医院急诊科值班的,正是我们熟悉的王乂医生。
03
事有隐情
接到转诊通知后,急诊胸痛
中心团队迅速启动,介入医师提前就位,准备在患者到达后立即进行手术。
然而在转运途中,患者的胸痛有所缓解,复查心电图显示ST段已开始回落(图2)。因此,王乂医生并未启动“双绕”流程,而是安排患者先进入急诊抢救室进行全面评估。

图2
监护仪刚一接上,就显示患者为房颤伴快速心室率,心率高达160–180次/分,王乂立即嘱持续泵入“艾司洛尔
”控制心率;听诊双肺底可闻及少量湿啰音,随即静推“呋塞米
”利尿。
接着,他请患者活动四肢:左上肢活动正常,右上肢仍完全无法抬起,令人意外的是,双腿也一动不动。
王乂以为患者没听清,便俯身到她耳边,温和地问道:“老太太,咱们抬抬腿,好吗?”
家属在一旁解释道:“她的腿没事的,之前我们去探望时,她都能把腿抬得老高,我们都盼着她能早点下地走路。只是最近她说腿疼、发冷,像是‘老寒腿’犯了,所以穿得厚,还盖着被子,可能这样才动不了吧……”
“老寒腿?”王乂心中生疑。
“是啊,不就是老年人常说的腿脚凉、疼嘛。”家属回应。
王乂迅速回顾了化验结果——D-二聚体显著升高!事情恐怕没那么简单。他掀开被子,卷起患者那裹着厚秋裤的裤脚,伸手一摸,双下肢触感冰凉,明显比上肢温度低,而且两侧脚踝颜色也不一致。
他请家属协助将患者的裤子脱下以便进一步检查,家属虽面露不解,仍配合照做。
这一脱,眼前景象令人心头一沉:右下肢皮肤颜色
苍白,左下肢则遍布花斑!
王乂立刻电话联系床旁超声检查,同时通知在导管室等待手术的同事:“手术可能需要推迟,我们可能遇到更棘手的情况了!”
04
动脉栓塞
床旁超声证实了王乂最坏的猜想——双下肢动脉栓塞。
他向血管外科发出了急会诊。
经会诊医师查体发现,患者双下肢皮温偏低,以膝关节以下为著,双侧股动脉搏动极其微弱,腘动脉及足背动脉搏动未能触及,左下肢足踝区感觉与运动功能完全丧失,情况万分危急,需立即进行强化CT检查
,并进行紧急手术,即便是手术顺利,也有可能面临截肢甚至生命危险。
“怎……怎么会这样?”家属的眼中充满了不解。
“又有房颤的血栓掉下来了。”王乂沉重地解释,“只要房颤存在、抗凝不达标,左心房里就可能形成新的血栓,它们随时可能脱落,引发脑梗死、心肌梗死或下肢动脉栓塞。四个月前的脑梗是第一次警告;当腿部出现发凉、疼痛时,是疾病在发起冲锋;等到胸痛发作才来医院,已经是在补救一个非常危险的局面了。”
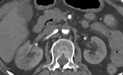
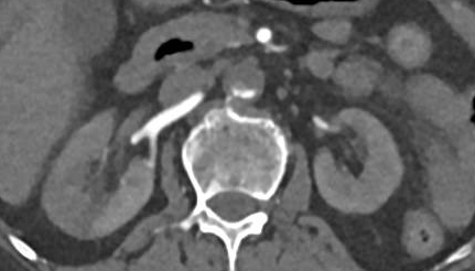
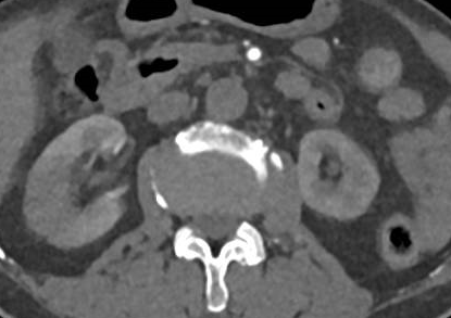
通过强化CT检查发现,患者腹主动脉肾动脉以远、左肾动脉及肠系膜下动脉开口处、双髂动脉及双侧下肢动脉血栓形成,右肾斑片状弱/无强化影,提示右肾梗死(图3-5)。

图3

图4

图5
因为患者胸痛症状缓解、心电图ST段回落,患者被收治血管外科并行急诊手术治疗,术中取出数枚血栓,后证实双侧髂总动脉狭窄,经导丝置入球扩覆膜支架。
手术虽然顺利,但患者状况极差,术后送往ICU继续生命支持。
05
沉重警示
这个病例残酷地揭示了心房颤动的最大威胁——血栓栓塞。
研究表明,房颤患者发生缺血性脑卒中
的风险是非房颤患者的4-5倍。我国房颤患者脑卒中和短暂性脑缺血发作
的发病率约为18.8%;60%左右的体循环栓塞患者需介入或外科手术干预,事件发生30天内致残率为20%,致死率为25%。
正是因为对房颤的认识不足、抗凝治疗不达标,才让悲剧不断重复。唯有科学认知、规范治疗、时刻警惕,才能为生命筑起最坚实的防线。
参考文献:
[1] 中华医学会心电生理和起搏分会,中国医师协会心律学专业委员会.中国心房颤动管理指南(2025)[J].中华心律失常
学杂志,2025,29(04): 265-338.