
病例分享 | Warshaw术治疗SCN1例
作者:徐林医生
病例分享
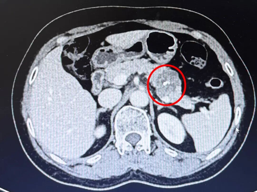
基本资料:患者为58岁女性,因“体检发现胰腺占位1月”入院,身体状况良好,BMI:22.5,CA199:5.5,增强CT提示胰尾3.5cm混杂低密度灶。

术前影像学评估及规划:MRI上呈多囊型、“蜂窝征”,中央钙化,我的初步印象符合SCN浆液性囊腺瘤“奶奶瘤”的表现。做Kimura还是Warshaw?CT增强看到肿瘤几乎将脾动静脉完全“吃”进去,但肿瘤距离LGA和SA在脾门的汇合点有一定距离。我知道Kimura很好,但在腔镜下剥离脾静脉带给我的多是一些不太美妙的回忆,而且从我做Warshaw的经验看,患者普遍恢复得不错。


我们按照LPD经典的笑脸五孔法建孔,做胰腺不管是LPD还是LDP,我都这么打。打开大网膜时,保护胃网膜动脉弓,处理脾门时在LGA与SA汇合点之前离断胰尾,在预定胰腺切断线稍内侧分离过7号线,以切割闭合器切断胰腺及脾血管,手术结束,患者恢复顺利,随访1年状态很好。

一、Warshaw教授:保留脾脏的胰体尾切除术(不保留脾动静脉)

Warshaw教授发表于1988年的论文中首次提出了保留脾脏的胰体尾切除术,胰尾与脾脏共享主要供血血管,脾切除一直被认为是胰体尾切除术的必要步骤。然而脾脏切除带来的感染和脓毒血症风险增大,但warshaw教授认为耗费大量时间保留脾动静脉并非是必须的,正常大小的脾脏功能可以通过胃短血管保持并发挥功能,肿大的脾脏可能无法耐受。
Warshaw技巧:打开胃结肠韧带后,将胃向头侧挑起,充分显露胰尾与脾门,在到达胃短血管前停止分离,必须保护胃短血管不受损伤,沿胰腺下缘向左侧打开腹膜后沿着进入胰腺尾部背侧的无血管平面。避免损伤左肾上腺。胰尾部已成为游离状态,将胰尾与脾门之间的脾蒂血管结扎离断,将胰尾部向右翻起,将脾脏留在脾床内,保留脾脏周围韧带。

二、Russia State University of Medicine:Warshaw手术脾脏的供血真的是依赖胃短血管吗?

1980年Sutherland和1988年Warshaw报道了保留脾脏的胰体尾切除术,将胃短血管的反向血流作为术后脾脏血供的重要来源。而Remero-Torres提出供应脾脏的主要动脉侧支是胃网膜左动脉,但他的观点被认为证据不足。俄罗斯州立大学医学院进行了脾脏供血侧支循环的研究,探讨保留脾脏的胰体尾切除术后脾脏的血供来源。通过10例尸体的美蓝染色,以及23例胰体尾切除术患者术前后的ct血管造影
三维重建,和术中超声观察血液流向并在胃网膜左动脉起始处远端脾门附近的脾动脉终末支上测量平均收缩期的流速和血流量,来判断Warshaw术后脾脏的供血血管。
图1中我们可以看到胃胰脾的血供情况。

图2中在结扎除胃短动脉之外所有与脾相关的动脉后,用亚甲蓝
灌注胃左动脉和胃网膜右动脉时尸体胃的粘膜下动脉网的染色,胃粘膜的染色发生在1-2分钟,脾脏在20分钟内未染色。

表2我们可以看到阻断胃左动脉和胃网膜右动脉,保留胃短动脉,进行美蓝灌注,脾脏是基本没有染色的;而通过胃网膜右动脉灌注,脾脏的染色是非常明显的。

图3中对应是表2中的效果,我们可以看到保留胃短进行灌注时,进入脾脏的美蓝几乎是没有的。

图4我们可以看到a图中脾动脉夹闭后血流量下降3倍;b图中脾动脉被夹闭时,夹闭胃网膜左动脉导致动脉血流停止;而在胃网膜左动脉夹闭前后,夹闭胃短动脉不会产生任何血流参数改变。

表3我们看到的是量化的数据,可以看到夹闭胃短血管对脾门的血流没有任何影响,而在夹闭胃网膜左血管后,脾脏的供血几乎降低到0

图5我们看到如果切断了胃网膜动脉弓,无论是否以及按何种顺序夹闭胃网膜左动脉和胃短动脉,脾脏均无血流。

图6中我们直观的看到当夹闭sa后,如果夹闭胃短动脉,脾门血流无影响;而如果此时夹闭LEGA,脾门血流几乎下降到0

图7是一名53岁的慢性胰腺炎
患者的动脉造影三维重建,图a是术前的造影,图b是术后14天的造影图,可以看到除了胃网膜左动脉,脾脏几乎没有其它血供

图8是一名59岁女性神经内分泌肿瘤患者,术后10天造影可以看到脾脏通过胃网膜弓供血;图9是两名胰腺囊性肿瘤患者术后7天以及30天的造影,提示供应脾脏的唯一血管是胃网膜弓。

图10我们看到保脾胰体尾切除术后,胃网膜左动脉代偿后直径和末端脾动脉相同

本视频/资讯/文章的内容不能以任何方式取代专业的医疗指导,也不应被视为诊疗建议。医脉通是专业的在线医生平台,“感知世界医学脉搏
,助力中国临床决策”是平台的使命。医脉通旗下拥有「临床指南」「用药参考」「医学文献王」「医知源」「e研通」「e脉播」等系列产品,全面满足医学工作者临床决策、获取新知及提升科研效率等方面的需求。
