
颅脑MR中易漏诊点全面总结
本文全面总了一下过去几年在颅脑MR平扫阅片中遇到的易漏诊点,包括自己漏的和别人漏的。他山之石可以攻玉,相信大家认真看完,肯定会有不小的收获和进步。
颅腔内病变


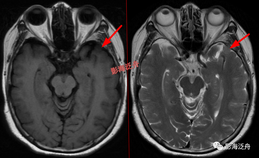
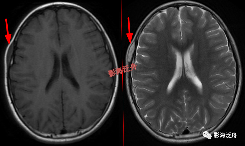
左侧颞部脑膜瘤
,在T1WI、T2WI、Flair、DWI四个序列上都非常接近脑实质的信号。这么小的脑膜瘤在MR平扫上漏诊率极高,避免漏诊的办法就是把颅脑解剖学好,然后看片子的时候把脑沟快速地捋一遍,脑沟发生形态改变的区域重点观察。


延髓左侧小梗死灶。这种斑点状的梗死灶漏诊也非常多见,患者症状一般不明显,我自己漏诊过两次。小的梗死灶多见于脑干、侧脑室周围,大脑皮层区一般不多见。因此,重点区域进行细致观察,可以减少此类疾病的漏诊。

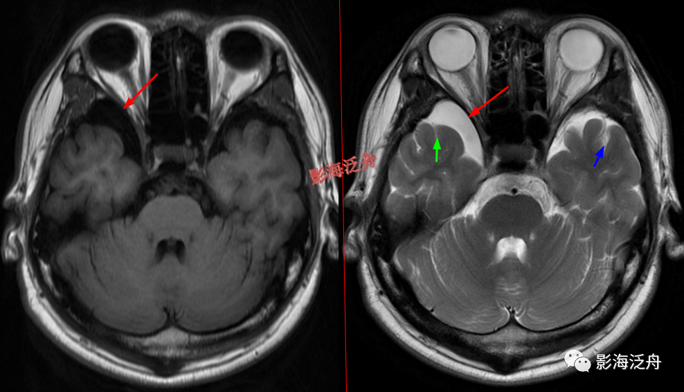
颞极前方蛛网膜囊肿(红箭)漏诊率也比较高,尤其在老年患者中,常常被误认为是扩大的蛛网膜下间隙,仔细观察可以发现右侧颞叶受压,脑沟闭塞(绿箭),与健侧(蓝箭)对比更为明显。
脑室、脑池病变

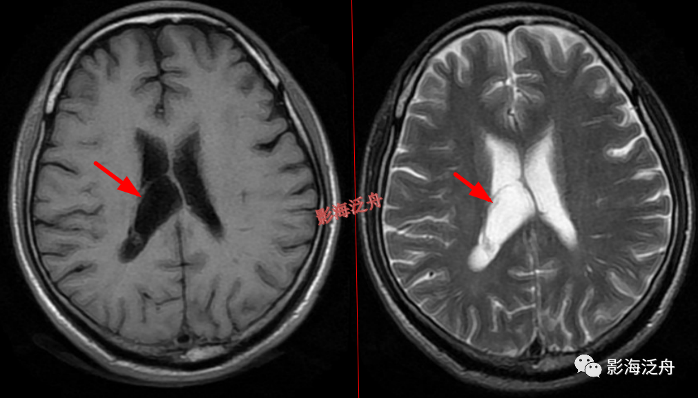
右侧侧脑室体部囊性占位(红箭),整体信号与脑脊液一致,病灶边缘部分显示,透明隔稍移位。

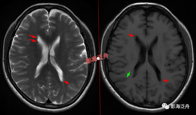
灰质移位,患者既往有癫痫
病史。右侧侧脑室前角及左侧侧脑室后角可见异位的灰质结节(红箭),与大脑皮层下的灰质信号一致(绿箭),灰质异位患者多伴有癫痫症状。

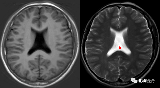
透明隔缺如,我自己漏诊过的病例。上面有很多正常的图像可供对比观察。
这个烟雾病的病例在之前的文章中(颅脑MR平扫中极易漏诊的点!)已经提到过,再拿出来复习一下。

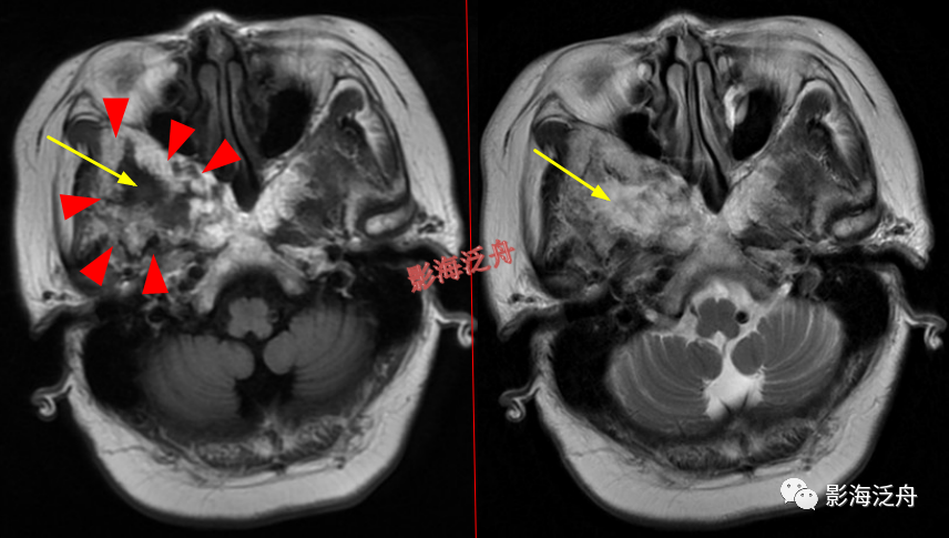
脑膜炎
患者,桥前池内可见异常增多的血管影(红箭),正常人的桥前池因为脑脊液流动产生的伪影也可以看到池内絮状低信号(绿箭),但不如右侧患者的明显,这个观察起来比较困难,就如在腹部CT
上观察患者是否存在肝脏肿大一样,需要一个经验积累的过程。黄
箭指基底动脉,蓝箭指三叉神经。
颅骨病变

左侧岩尖部囊性病变(红箭头),患者未术,病理不明。MR对骨质结构显示不佳,因此很多读者会忽略掉颅内骨质病变的观察,很多颅内病变,如三叉神经鞘瘤、鼻咽癌
等都会造成颞骨岩部(红色标注区)骨质破坏,因此,平时应对此处多加留意。黄箭头指听神经及内耳结构。


蝶骨骨纤维异常增殖症(红箭头),病灶内部可见特征性的囊变区(黄箭)。蝶骨的病变在MR上识别起来更为困难,因为蝶骨位于颅底部,此处骨骼、肌肉、脂肪等多种组织成分混杂,导致正常情况下也看起来非常乱。不要着急,慢慢学。

左侧顶骨骨纤维异常增殖症。病灶位于左侧顶骨板障区,局部骨质呈膨胀性改变,病灶边缘骨质硬化,呈明显低信号(红箭头),内部可见大片状絮状结构(黄箭)以及局灶性的玻璃样变性区(绿箭头)。

乳腺癌
术后患者,枢椎骨质信号异常,随访证实为骨转移。随着肿瘤患者越来越多,行颅脑MR检查排除脑转移的检查也逐渐增多,不要只顾着在脑子里面找转移灶,周围的结构也应该观察一下。

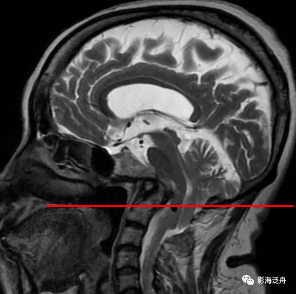
矢状位上另一个需要观察的就是齿状突的高度,异常增高往往是颅底凹陷症导致的(红线为钱氏线)。
头皮下病变

头皮下血管瘤以及皮脂腺瘤是非常常见的,单也很容易漏诊,尽管临床意义不大,但还是应当避免漏诊,毕竟现在的大家的处境一言难尽~

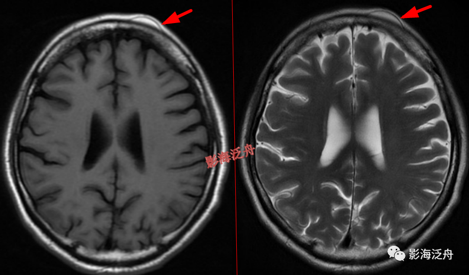
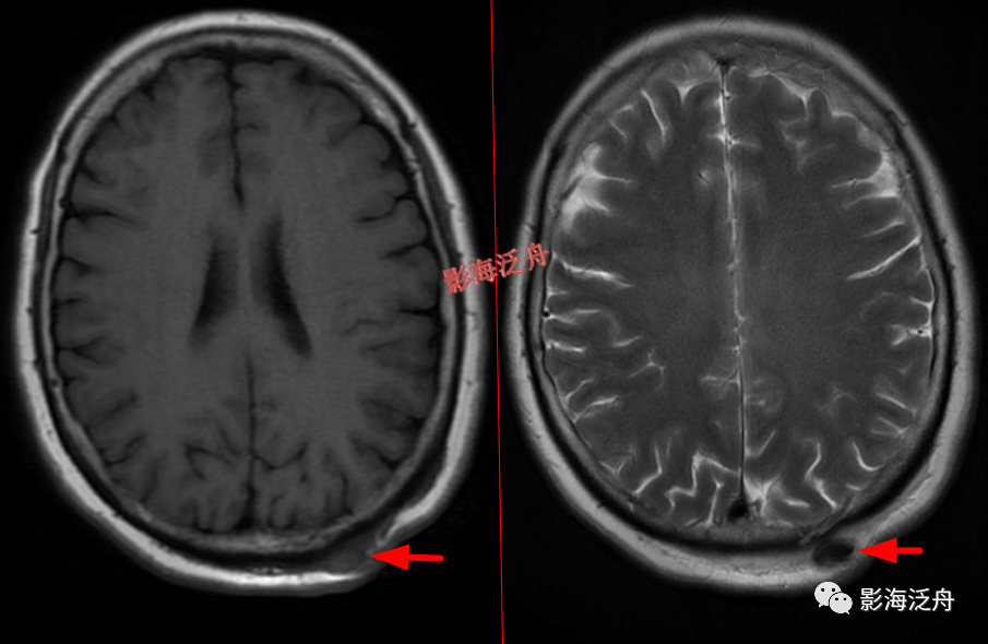
右侧额部头皮下血管瘤。患者为11岁女性,是本病的高发年龄段,这个结节要是漏诊,恐怕会有麻烦。

头皮血肿(急性期),病灶在T1WI及T2WI上均呈低信号。
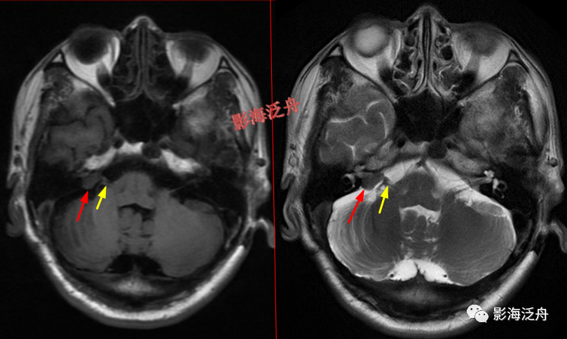
海绵窦、CPA区病变

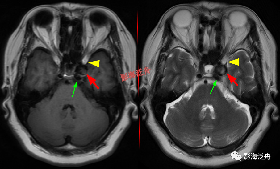
左侧颈内动脉海绵窦段动脉瘤
伴血栓形成(红箭),绿箭为海绵窦段起始端,黄箭头所指为颈内动脉分段的重要解剖标志——前床突(颈内动脉分段可参考之前的文章 颈内动脉CTA分段(超实用))。

海绵窦周围除了动脉瘤外,占位性病变也比较常见,如脑膜瘤、神经鞘瘤、脑外海绵状血管瘤
等。

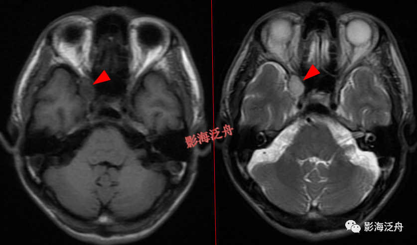
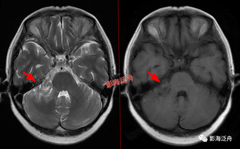
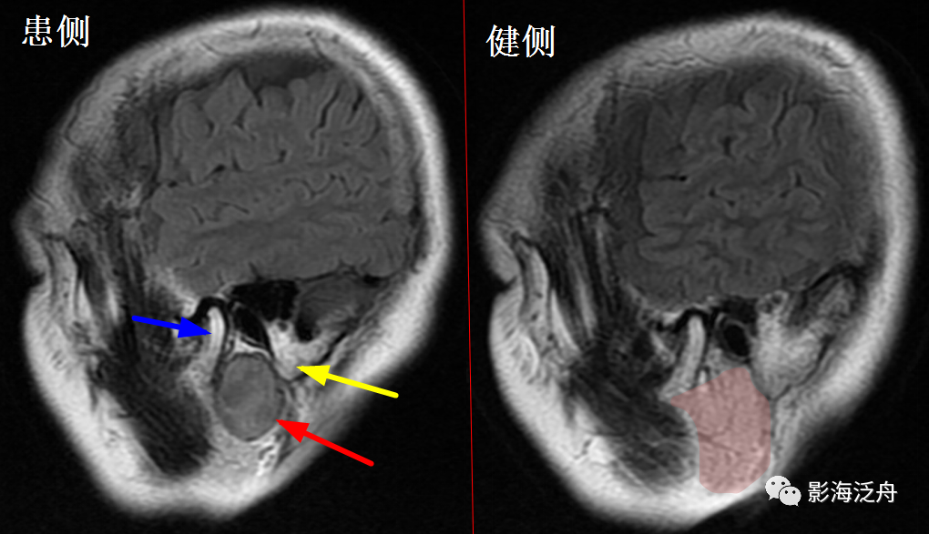
右侧CPA区(桥小脑角区)占位(红箭),呈T1WI及T2WI呈等低信号,邻近的听神经显示可(黄箭),因此倾向于诊断脑膜瘤。这个患者病史未诉听力障碍
,因此平时写报告千万不要等到患者有听力障碍才去观察两侧的听神经。

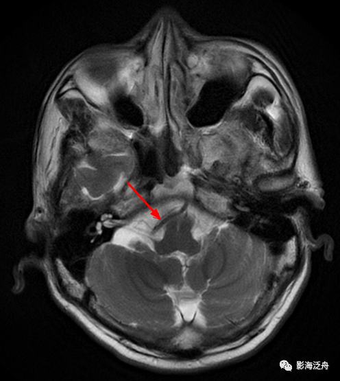
右侧CPA区听神经瘤
(红箭)。有些单位使用1.5T MR,对蝶鞍区及幕下结构的显示会不太理想,再加上本例患者的桥小脑角池发育的比较狭窄,不能把病灶很好的衬托出来,此时就很容易造成漏诊。

椎基底动脉迂曲走行导致邻近延髓受压,也是比较常见的,虽然算不上漏诊,但笔者认为这种病理性改变还是应当在报告中体现出来。
眼耳鼻喉病变

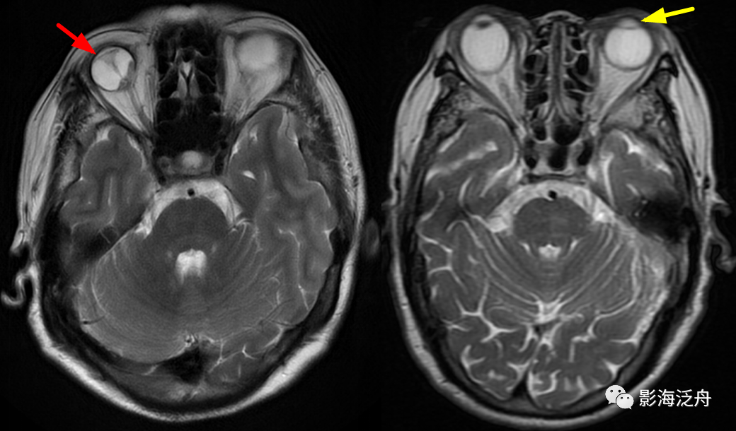
右侧为视网膜剥脱(红箭),眼球后部为剥离的视网膜组织及积血区;左侧为白内障
患者,T2WI上患眼晶状体信号均匀增高为其特征性表现。

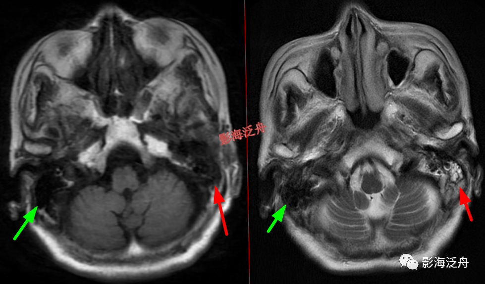
左侧乳突
炎(红箭),右侧乳突气化良好,不含炎症,在MR上呈无信号(绿箭)。

部分患者的乳突窦气化不佳或者邻近颞骨外侧部过厚且黄骨髓较多时,可以在T2WI上呈高信号,尤其是两侧乳突发育不对称时很容易误诊为乳突炎。注意右侧粗大的流空血管影(绿箭)为颈内静脉。

老年男性患者,诉头晕,行颅脑MR发现鼻咽癌。这么大个的鼻咽癌漏诊我也是见过的,这种主要是阅片习惯不好导致的。注意本例患者两侧的咽旁间隙很清晰,说明病灶还没开始广泛侵犯周围组织,这种情况下,患者往往无法提供有价值的病史信息。
头颈部病变

腮腺在轴位序列上不可见,但在矢状位Flair序列上可以观察到(红色标注区)。本例为右侧腮腺沃欣瘤(红箭),病灶位于乳突(黄箭)与下颌支之间。

矢状位上另一个容易被忽视的部位就是甲状腺,本例甲状腺体积增大,信号尚均匀,应建议进一步行超声检查。
全文小结:看完本文,大家是不是会吃惊的发现,原来颅脑MR平扫中有这么多需要观察的结构!是不是瞬间感觉自己以前可能已经漏诊了一大堆病灶?没关系,通过以上常见漏诊病例的总结,大家可以结合自身实际情况,为自己制定一套正确的阅片顺序,这样在以后的工作当中就能有效避免漏诊。
本视频/资讯/文章的内容不能以任何方式取代专业的医疗指导,也不应被视为诊疗建议。医脉通是专业的在线医生平台,“感知世界医学脉搏
,助力中国临床决策”是平台的使命。医脉通旗下拥有「临床指南」「用药参考」「医学文献王」「医知源」「e研通」「e脉播」等系列产品,全面满足医学工作者临床决策、获取新知及提升科研效率等方面的需求。
