
45岁患者胸痛6年,真的是重度抑郁与焦虑惹的祸吗?丨医起推理吧
作者:努尔巴哈尔
本文为作者授权医脉通发布,未经授权请勿转载。
会诊室的灯光彻夜不灭,连日来的高强度工作让医生们眼中布满血丝,但每一个生命信号都牵动着他们的心弦。
今天,急诊科送来了一位特殊的患者——45岁的周女士,她带着6年的胸痛
史和重度抑郁、焦虑的“双重标签”,第N次捂着胸口走进了医院。
连急诊科的医生看到她,都条件反射般地皱起了眉头,心中暗自嘀咕:“又是焦虑惹的祸吧?”然而,谁也没有想到,这次让她疼得直不起身的“元凶”,竟然是“它”。
本文将带您走进这场“误诊迷案”,看医生如何拨开焦虑的迷雾,揪出导致心肌缺血的“隐形杀手”,同时也为临床诊疗敲响警钟:面对持续胸痛,再常见的“精神病因”也不能成为忽视少见病的理由。
胸痛常客的“固定剧本”
在急诊室的常客名单中,45岁的周女士绝对算得上“老面孔”。
自从6年前母亲去世后,她便成了这里的“常驻嘉宾”。每次胸痛发作,她总是捂着胸口,眉头紧锁,说胸口像被什么紧紧揪住一般。然而,心电图
一查,结果总是“正常”。
再结合她手里那份“重度抑郁+广泛性焦虑”的诊断书,以及常年服用的氟伏沙明
,医生们都默认:这是焦虑情绪在“作祟”。
毕竟,焦虑引发的胸痛太过常见——疼痛位置不固定,持续时间或长或短,总在安静坐着时悄然降临;而真正的心脏缺血疼痛,则往往是活动后发作,像有块沉重的石头压在胸口,休息片刻或含服硝酸甘油
后便能缓解。
然而,临床最棘手的,就是这两种疼痛常常“纠缠不清”,尤其是当患者本身就患有精神疾病时,医生很容易陷入“先入为主”的误区[1]。
但医生们心里也清楚,除了常见的动脉粥样硬化
,心脏还可能藏着“冷门杀手”——比如心肌桥。
这种先天异常就像给冠状动脉穿上了一件“心肌外套”:本该行走在心脏表面的血管(大多是左前降动脉),却偏偏钻进了心肌里[2,3]。平时它安安静静,毫无存在感;可一旦心肌收缩,它就会像一根无形的绳索,将血管紧紧勒住,严重时甚至会引发缺血、心律失常
,乃至罕见的猝死
[3,4]。
而要诊断它,还得依靠冠状动脉造影
这一“火眼金睛”[3];在治疗上,β受体阻滞剂是首选药物,而硝酸类药物则可能让情况变得更糟[4,5]。
这次周女士的病例,就将这种“冷门病”与“常见精神问题”的碰撞,演绎得淋漓尽致。
打破常规的“疼痛升级”
2025年的冬天,周女士的胸痛突然“变了样”。
以往疼起来忍忍就过,这次却像顽固的敌人,连续一周都不肯离去。无论是坐着休息,还是走几步路,胸口都会传来阵阵钝痛,仿佛有无数根细针在扎。
她上个月刚做过心电图,结果依然正常,医生因此依旧怀疑是焦虑加重,开了运动平板试验和心脏超声的检查单,让她进一步排查。
可周女士自己却没当回事,心里想着:“以前疼几天就好,这次肯定也一样,没必要折腾检查。”
就这么拖了一周,疼痛突然如潮水般汹涌而至,难以忍受——像是有人在胸口狠狠攥了一把,还伴随着喘不上气的疲劳感,哪怕只是从沙发上站起来拿杯水,都觉得吃力不已。
这下她慌了神,赶紧在家人的陪同下被送进了急诊。
可急诊检查的结果,又一次让医生们陷入了困惑:体温、血压都正常,心电图(见图1)没看出缺血迹象,心肌三项也在正常范围。

图1 示心电图未见心肌缺血
难道真的还是焦虑在作祟?可周女士这次的疼痛,跟以往完全不一样——没有情绪激动的诱因,反而越活动越重,这更像是心脏缺血发出的“求救信号”。
周女士不敢再拖延,赶紧完成了之前未做的检查。这不查不知道,一查吓一跳:运动平板试验显示,患者运动3分钟后即出现胸痛症状,同步心电图显示Ⅱ、Ⅲ、aVF导联及V4-V6导联ST段水平压低0.1~0.2mV,提示心肌缺血,试验结果阳性。
心脏超声检查显示:左心室射血分数(LVEF)48%(正常参考值≥50%),左心室前壁及侧壁心肌运动幅度减低,余心腔大小、室壁厚度及瓣膜功能未见明显异常。
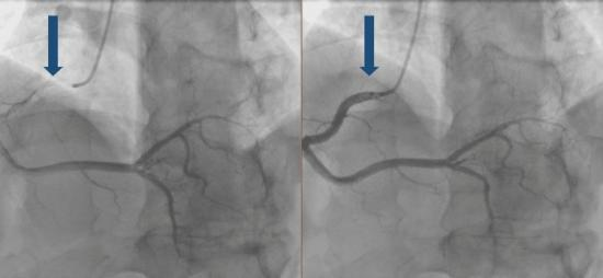
为明确心肌缺血的根本原因,医生们决定进行冠状动脉造影检查
(图2)。造影结果显示:左冠状动脉主干、左旋支及右冠状动脉未见明显狭窄或斑块形成;左前降支中段可见一段血管走行于心肌组织内,心肌收缩期血管管腔明显狭窄(狭窄程度约70%),舒张期狭窄缓解,符合“心肌桥”典型影像学表现。
图2 冠状动脉造影示“挤奶”
明确诊断后,医生们给予了β受体阻滞剂治疗。服药几天后,她的胸痛便明显缓解了,再也没有出现过呼吸困难
的症状。
出院时,医生反复叮嘱她:“以后可别再把胸痛都归为焦虑了,有不舒服一定要及时来查!”
焦虑与心脏“抢戏”背后的真相
周女士的病例,就像一面镜子,清晰地映照出了临床诊断中的“两难”境地——当精神疾病与躯体症状相遇时,医生该如何准确分辨?
研究表明,精神心理疾病与器质性心脏病
之间存在着双向关联。一方面,重度精神心理障碍患者的冠心病
患病率可达9.9%,显著高于普通人群,这可能与自主神经功能紊乱、炎症反应激活、不良生活方式等因素密切相关[6,7];另一方面,冠心病患者中抑郁、焦虑的发生率分别约为20%、23%,精神心理因素可增强患者对躯体症状的感知,加重痛苦体验,同时影响治疗依从性,进而恶化预后[6,7]。
这就意味着,医生在看病时,既不能忽视精神因素的作用,也不能被其“带偏”,必须全面考虑、两头兼顾。
再说说心肌桥这个“冷门选手”。它在造影检查中的检出率虽然只有1.7%,但在尸检时却发现,有25%的人都存在这个先天结构[2,3]——也就是说,很多人带着它一辈子都没有任何感觉,可一旦心肌收缩力变强、心率变快,血管被“勒紧”,就会引发疼痛。
周女士就是这样,之前可能症状较轻,被焦虑掩盖了;直到这次缺血加重,才露出了马脚。
对于有症状的患者来说,β受体阻滞剂是首选药物,它可通过减慢心率、延长舒张期、减弱心肌收缩力,从而减轻心肌对冠状动脉的压迫,缓解缺血症状[2,3,5]。
若β受体阻滞剂不耐受或效果不佳,可选用非二氢吡啶类钙通道阻滞剂(如维拉帕米
)、伊伐布莱定等药物作为替代[2,4,6]。需特别强调的是,硝酸酯类药物是心肌桥患者的用药禁忌[5,6]。
硝酸酯类药物可扩张静脉、降低心脏前负荷,同时反射性引起心肌收缩力增强、心率加快,会进一步加重心肌对冠状动脉的压迫,导致缺血症状恶化。如果药物无法控制症状,才会考虑心肌桥松解术[3]。
周女士还算幸运,靠药物就控制住了症状。
别让“常见”遮住“少见”的眼
周女士的经历,给所有医生都提了个醒:
面对有精神病史的胸痛患者时,千万别掉进“焦虑万能论”的陷阱。哪怕初步检查正常,只要症状持续或变重,就得多问一句“会不会有其他问题”,比如心肌桥这种少见病。
对患者来说,也得记住:
身体的疼痛不会“骗人”,如果胸痛的特点变了——比如从忍忍就过变成活动后加重,从没有诱因变成一走路就喘——一定要及时告诉医生,别像周女士那样拖延检查,耽误了诊断。
这起“误诊迷案”的落幕,不仅让周女士摆脱了胸痛的困扰,更给临床诊疗上了生动一课:医学没有“固定剧本”,只有仔细观察、全面评估,才能揪出每一个“隐形杀手”,给患者真正的健康保障。
参考文献:
[1] Alegria JR, Herrmann J, Holmes DR Jr, Lerman A, Rihal CS: Myocardial bridging. Eur Heart J. 2005, 26:1159-68.
[2] Cooke RA, Smeeton N, Chambers JB: Comparative study of chest pain characteristics in patients with normal and abnormal coronary angiograms. Heart. 1997, 78:142-6.
[3] Corban MT, Hung OY, Eshtehardi P, et al.: Myocardial bridging: contemporary understanding of pathophysiology with implications for diagnostic and therapeutic strategies. J Am Coll Cardiol. 2014, 63:2346-55.
[4] Lee MS, Chen CH: Myocardial bridging: an up-to-date review. J Invasive Cardiol. 2015, 27:521-8.
[5] Evbayekha EO, Nwogwugwu E, Olawoye A, et al.: A comprehensive review of myocardial bridging: exploring diagnostic and treatment modalities. Cureus. 2023, 15:e43132.
[6] Correll CU, Solmi M, Veronese N, et al.: Prevalence, incidence and mortality from cardiovascular disease in patients with pooled and specific severe mental illness: a large-scale meta-analysis of 3,211,768 patients and 113,383,368 controls. World Psychiatry. 2017, 16:163-80.
[7] Hare DL, Toukhsati SR, Johansson P, Jaarsma T: Depression and cardiovascular disease: a clinical review .Eur Heart J. 2014, 35:1365-72.