
脑出血MR信号特点及分期
来源:医影杂苑
脑出血
在日常工作较为常见,脑出血不同时期在磁共振上也有不同表现。
基本原理:脑出血后血肿的病理演变过程非常复杂,从刚开始出血的红细胞悬液,随着时间进展血液浓缩,血凝块形成和收缩,红细胞破裂溶解,到后期的低蛋白的血肿液,是一系列连续复杂的动态变化过程。
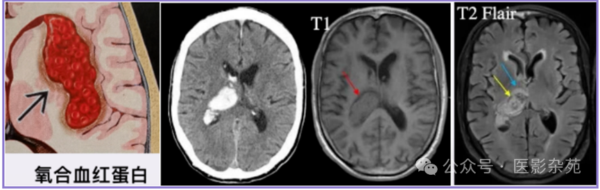
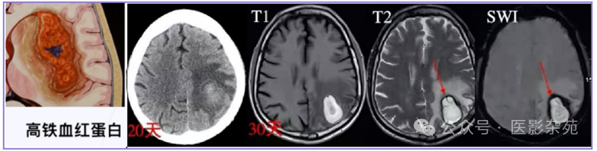
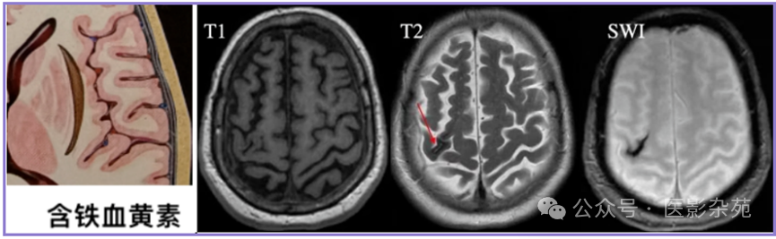
血肿内血红蛋白
的演变过程:氧合血红蛋白(HBO2)→脱氧血红蛋白(DHB)→正铁血红蛋白(MHB)→含铁血黄素(H-S)(各个时期不是完全孤立的,可出现相互重叠),氧合血红蛋白是抗磁性,脱氧血红蛋白和正铁血红蛋白是顺磁性,含铁血黄素是超顺磁性。
血红蛋白的氧合状态及其位置(无论是包含在红细胞内还是在细胞外空间中扩散)对血液的成像效果有巨大的影响。要考虑的三种血红蛋白状态是氧合血红蛋白、脱氧血红蛋白和高铁血红蛋白。
氧合血红蛋白占动脉血中血红蛋白的95%,占静脉血中血红蛋白的70%。它只是弱抗磁性,几乎没有T2*效应,并且仅轻微缩短T1弛豫时间。这是血红素铁以亚铁形式存在的结果(Fe2+) 没有不成对的电子。
相反,脱氧血红蛋白失去了氧气,具有四个不成对的电子,因此具有很强的顺磁性。这会导致T2*加权序列(如磁化率加权成像)上出现大量信号丢失和光晕伪影。
高铁血红蛋白是由血红素分子氧化变性为铁(Fe3+)形式。它有五个不成对的电子,并且还具有很强的顺磁性。
一般来说,血肿演变的五个阶段如下:
细胞内氧合血红蛋白
T1:等信号
T2:等信号至高信号
DWI:高
ADC:低

细胞内脱氧血红蛋白
T1:等信号至低信号
T2:信号强度下降(T2缩短)转为低信号
DWI:低
ADC:低

细胞内高铁血红蛋白
T1:信号逐渐增加(T1缩短)至高信号
T2:保持低信号
DWI:低
ADC:低

细胞外高铁血红蛋白
T1:保持高信号
T2:在接下来的几周内,随着细胞分解和细胞外高铁血红蛋白的增加,信号逐渐增加
DWI:高
ADC:低

细胞外T1:等信号
T2:高信号
DWI:低信号
ADC:高信号
细胞内含铁血黄素
T1:低信号
T2:低信号

总结表格

坐标系助记

本视频/资讯/文章的内容不能以任何方式取代专业的医疗指导,也不应被视为诊疗建议。医脉通是专业的在线医生平台,“感知世界医学脉搏,助力中国临床决策”是平台的使命。医脉通旗下拥有「临床指南」「用药参考」「医学文献王」「医知源」「e研通」「e脉播」等系列产品,全面满足医学工作者临床决策、获取新知及提升科研效率等方面的需求。
