
腰腿痛别只盯着腰椎!这个64岁病例提醒:骨盆里也可能藏着"替罪羊"
• 一名64岁男性因腰部向右大腿放射痛就诊入院。
• 既往有腰椎手术史,五年前曾行L4/5椎板切除术。
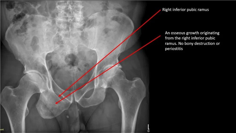
• 行骨盆X线检查——见下图。

骨软骨瘤是起源于骨膜内小软骨结节的良性肿瘤。
好发于四肢,按发生率降序排列依次为:股骨远端、胫骨近端和肱骨近端。
发生于骨盆者罕见,约占5%。耻骨支骨软骨瘤极为罕见。
肿瘤生长缓慢,病程可达数年,常无明显症状。
治疗方案:
• 骨盆骨软骨瘤若出现压迫症状,通常需要手术切除。
• 位于骨盆内的骨软骨瘤可引起压迫性神经病变,或压迫膀胱等重要脏器产生相应症状。
• 耻骨支肿块更多因美容原因(外观畸形)而手术切除。
• 本例骨软骨瘤的位置不太可能引起患者症状。该病变为偶然发现,采取保守治疗。
来源:国际内分泌代谢杂志
本视频/资讯/文章的内容不能以任何方式取代专业的医疗指导,也不应被视为诊疗建议。医脉通是专业的在线医生平台,“感知世界医学脉搏
,助力中国临床决策”是平台的使命。医脉通旗下拥有「临床指南」「用药参考」「医学文献王」「医知源」「e研通」「e脉播」等系列产品,全面满足医学工作者临床决策、获取新知及提升科研效率等方面的需求。
