
【病例】年轻女性多发肝占位:“棒棒糖”征象指向什么疾病?

医脉通-临床病例平台
病例资料
33岁女性患者,数月来右上腹间歇性不适,伴早饱、腹胀及恶心,症状反复后就诊。
体格检查无明显异常。实验室检查肝功能及肿瘤标志物
正常,尿妊娠试验
阴性。腹盆部增强CT见肝内3个不明病灶;腹部MRI显示病灶有包膜皱缩、弥散受限等特征,出现“棒棒糖征”。

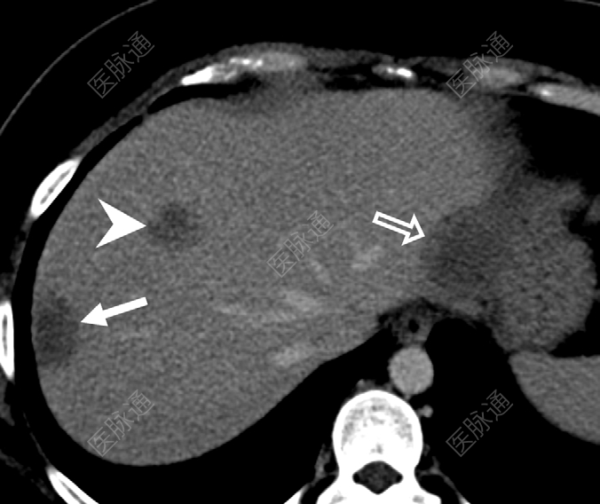
图1:上腹部斜轴位CT:第7段肝包膜下病灶(实箭)、第2段肝包膜下病灶(空心箭)及第8段非肝包膜下病灶(箭头)。

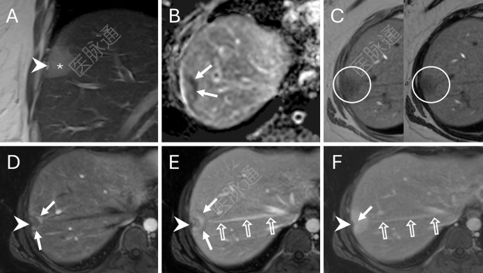
图2:腹部MRI扫描,重点显示第7段病灶。(A) 冠状面T2加权单激发快速自旋回声图像显示包膜下肿块呈T2中等信号(*),伴有包膜皱缩(箭头)。(B) 轴位表观弥散系数(ADC)图显示边缘弥散受限(箭头)。(C) T1加权同相位(左)和反相位(右)图像显示反相位信号无减低,提示无微观脂肪(圆圈)。(D–F) 增强扫描显示动脉晚期环形强化(D中箭头)、门脉期边缘洗脱(E中实线箭头)和延迟期中心强化(F中实线箭头)。此外,一条右肝静脉大分支(E、F中的空心箭头)从病灶内侧缘发出(即棒棒糖征)。箭头指示包膜皱缩。(D)动脉晚期、(E)门静脉期及(F)平衡期示动脉期环形强化(D 图箭头)、外周廓清(E 图实心箭头)及延迟期中心强化(F 图实心箭头)。此外,可见一粗大肝右静脉属支(E、F空心箭)自病灶内侧缘发出(即棒棒糖征),箭头尖指示包膜皱缩。
提示什么疾病?
