
皮肤病变,内脏危机:一例恶性萎缩性丘疹病带来的警示 | 例例生辉
编者按
恶性萎缩性丘疹病(MAP),又称Köhlmeier-Degos病,是一种罕见的多系统血栓闭塞性血管病,以特征性瓷白色萎缩
性丘疹和全身多系统血栓闭塞为主要表现。MAP可分为良性皮肤型与恶性系统型,后者可累及胃肠道、中枢神经系统等重要脏器,预后较差。本文报告一例以急性腹痛
为首发表现、后确诊为系统性MAP的青少年女性病例,结合文献复习其临床、病理及治疗进展,旨在提高临床医生对该病的认识。
患者基本信息
女性,青少年,既往体健。
主诉
急性腹痛3天,皮疹
近1年。
现病史
患者因进行性加重的腹痛3天就诊于当地急诊,初诊为“病毒性胃肠炎
”后出院。症状迅速恶化,转入三级医疗中心。入院时表现为心动过速
、呼吸急促,腹部膨隆、弥漫性压痛,超声提示腹水
。
皮疹于腹痛前近1年出现,始于左腕部,数周内逐渐扩散至全身。曾因“疑似脓疱疮”多次接受外用及口服抗生素治疗,未见改善。
皮肤科查体
全身可见多发散在、轻度凹陷的丘疹,中央色素减退,周围绕以红斑(图1)。

图1:患者的腹部,背部和四肢出现许多瓷白色萎缩性丘疹,周围伴有可褪色的红斑
实验室及影像学检查
血常规
:白细胞 25,300 cells/μL(参考值:4850–9690 cells/μL)
炎症指标:C反应蛋白 2.27 mg/dL(参考值:<0.05 mg/dL)
补体:显著降低
免疫学:抗核抗体、抗dsDNA、抗Smith抗体、抗磷脂抗体
均阴性
基因表达:I型干扰素相关基因表达上调
影像学:腹盆部CT示肠炎;头颅MRI示脑膜异常强化
组织病理学
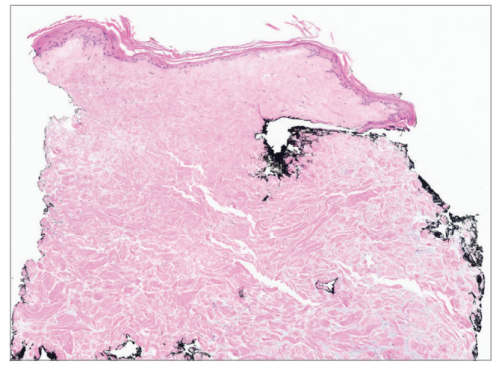
皮肤穿刺活检显示表皮萎缩、真皮楔形透明样变、真皮微血管闭塞,伴少量炎症细胞浸润(图2)。

图2:穿刺活检显示表皮萎缩、真皮透明样变及真皮微血管闭塞,伴真皮少量炎症细胞浸润
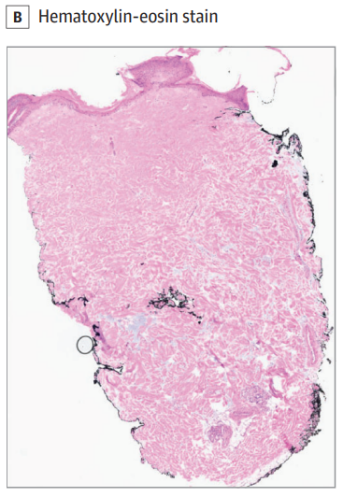
苏木精-伊红染色进一步显示真皮无血管区、楔形透明样变及黏蛋白沉积(图3),符合MAP典型病理改变。

图3:苏木精-伊红染色显示嗜两色性角层、无血管真皮、楔形透明样变及真皮黏蛋白沉积
治疗与随访
患者接受多靶点联合治疗,包括补体抑制剂、I型干扰素通路抑制剂、JAK抑制剂及前列环素类似物。治疗后临床改善,补体水平及干扰素基因表达恢复正常。但病程中出现肠穿孔等突破性系统表现,提示病情控制仍具挑战。
诊断思路
、脑梗死
等严重并发症。一旦出现内脏受累,中位生存期为2–3年,死亡率达22%–76%。早期识别系统型MAP至关重要。参考文献
医脉通是专业的在线医生平台,“感知世界医学脉搏
,助力中国临床决策”是平台的使命。医脉通旗下拥有「临床指南」「用药参考」「医学文献王」「医知源」「e研通」「e脉播」等系列产品,全面满足医学工作者临床决策、获取新知及提升科研效率等方面的需求。
