肺凡案例 | 伴有驱动基因突变的多原发肺癌,靶向治疗并非万能选择?

来源: 2026.03.11
我要投稿

图片

前言


随着薄层CT筛查技术的广泛普及,多原发肺癌(MPLC)的临床检出率显著提升。由于MPLC不同病灶间存在显著分子异质性,给临床诊疗带来了巨大挑战。靶向治疗已成为驱动基因突变阳性肺癌患者的标准治疗方案,但其在MPLC中的疗效往往受病灶分子特征差异的制约。本文分享一例双侧伴34个肺结节的同步性MPLC病例,强调早期多部位活检对明确各病灶分子谱特征的重要性,为临床治疗决策提供实践参考。


病例详情



基本信息


75岁男性,50年吸烟史。


检查与诊断


  • 影像学检查:基线胸部CT发现双侧34个肺结节。PET/CT识别出右上叶前段结节(P1,30.1×19.6mm,最大标准摄取值(SUVmax) 4.6)、右上叶后段结节(P2,26.6×20.0mm,SUVmax 11.8)、左上叶前段结节(P3,9.2×7.8mm,SUVmax 3.1),伴右肺门淋巴结转移。头颅MRI未发现转移灶。


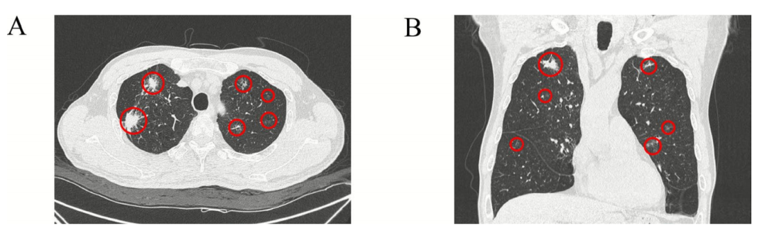
图片

多发性肺结节的基线薄层CT

(A)同一水平的轴位视图显示多发性肺结节。(B)同一水平的矢状位视图显示多发性肺结节。


  • 病理与基因检测:CT引导下P1结节穿刺确诊为肺腺癌,PD-L1阴性。二代测序(NGS)检测到EGFR L858R突变。


  •  临床分期:cT3N1M0 IIIA期。


治疗经过




  • 一线靶向治疗


基线检查后1个月使用奥希替尼新辅助靶向治疗,疗程为12周。


基线检查后2个月的随访CT显示,P1结节缩小(30.1×19.6mm缩小至14.75×11.25mm),P2结节(26.6×20.0mm增大至29×18mm)P3结节(9.2×7.8mm增大至23×17mm)进展,同时伴有纵隔淋巴结肿大和双侧胸膜增厚。血清癌胚抗原(CEA)为27.27ng/mL。


基线检查后4个月的随访CT显示,P1和P3结节稳定,但P2结节进一步增大(29×18mm增大至31×24mm),CEA升至153.17ng/mL,呈现混合反应。


  • 治疗方案调整


经多学科治疗(MDT)讨论后,患者接受了两个周期的新辅助化疗免疫治疗(白蛋白结合型紫杉醇+卡铂+纳武利尤单抗


基线检查后6个月的随访CT显示,所有可测量病灶和纵隔淋巴结均缩小。


  • 手术治疗


患者接受胸腔镜右上肺叶切除术,病理证实P2结节为腺癌,PD-L1阴性,NGS检测无驱动基因突变,结合分子特征差异,确诊为MPLC。


  • 术后进展


术后治疗包括一个周期的辅助化疗免疫治疗(白蛋白结合型紫杉醇+卡铂+纳武利尤单抗),随后进行纳武利尤单抗维持治疗。


术后5个月,CT显示P3结节缩小,纵隔淋巴结稳定。CEA为26 ng/mL。


术后7个月,PET/CT提示手术床复发(16×11 mm,SUVmax 5.8),且多个淋巴结区(1L、1R、4L、4R、10R、11-14R)疑似转移受累。头颅MRI未显示转移灶,重新分期为rT1bN3M0 IIIB期。CEA升至73ng/mL。支气管镜检查联合4R淋巴结经支气管针吸活检(TBNA)证实为转移性NSCLC-未特指型(NSCLC-NOS),PD - L1表达阴性,NGS未检测到驱动基因突变。


经MDT讨论后,建议进行局部放疗。患者接受放疗后,出现了广泛的转移性病变。末次随访时,患者的体能状态(PS)评分为3分,伴有多处转移和大量胸腔积液。患者最终在放疗后不到半年内死亡。


图片

患者详细诊断信息和治疗流程图

影像学检查结果、治疗干预措施、病理结果和NGS数据


讨论


MPLC病灶间驱动基因突变不一致率高达70%~92.9%,单一病灶的基因突变状态无法代表所有病灶的分子特征,这也是导致单药靶向治疗疗效受限的主要原因。本病例中,仅患者P1结节存在EGFR突变,对奥希替尼敏感,而其余无驱动突变的病灶在靶向治疗期间持续进展,进一步印证了单药靶向治疗在MPLC中的局限性。


传统观点认为,无驱动基因突变的肺癌病灶多呈惰性表现,但本病例中无驱动突变的P2结节在靶向治疗期间快速增大,且术后复发灶亦为无驱动突变的高侵袭性病灶,呈现去分化特征。这提示,无驱动基因突变的MPLC病灶并非均为惰性,部分可具备高恶性度与强侵袭性,临床需高度警惕其进展风险,避免因认知偏差延误治疗。


基于本病例特征及临床实践经验,研究者认为局部治疗仍是MPLC的首选治疗方式,但当局部治疗不可行时,药物治疗的方案选择尤为关键。对于存在驱动基因突变的MPLC患者,无论检出病灶是否存在驱动突变,采用以化疗为基础,联合免疫治疗或靶向治疗的系统性策略,更能应对病灶间的分子异质性,为患者带来更大生存获益。


参考文献:

Ren ZR, Wu L, et al. Multiple Primary Lung Cancer With Driver Gene Mutations: Is Targeted Therapy Always the Optimal Choice?-A Case Report. Thorac Cancer. 2026 Jan;17(1):e70215.


编辑:Kenken

审校:Faline

排版:Kenken

执行:Babel






医脉通是专业的在线医生平台,“感知世界医学脉搏,助力中国临床决策”是平台的使命。医脉通旗下拥有「临床指南」「用药参考」「医学文献王」「医知源」「e研通」「e脉播」等系列产品,全面满足医学工作者临床决策、获取新知及提升科研效率等方面的需求。


本平台旨在为医疗卫生专业人士传递更多医学信息。本平台发布的内容,不能以任何方式取代专业的医疗指导,也不应被视为诊疗建议。如该等信息被用于了解医学信息以外的目的,本平台不承担相关责任。本平台对发布的内容,并不代表同意其描述和观点。若涉及版权问题,烦请权利人与我们联系,我们将尽快处理。