
医挑百例 | 南方医科大学黄广龙教授:一例IDH野生型胶质母细胞瘤患者术后三联疗法的7年长期随访之路
前言
近年来,胶质母细胞瘤
(GBM)的治疗理念已从单一模式转向多学科团队(MDT)协作下的精准全程管理。在手术方面,黄
荧光引导下的最大安全切除已成为延长生存的基石,在保护功能的前提下最大限度降低肿瘤负荷。在术后治疗中,同步放化疗联合替莫唑胺
(Stupp方案)仍是标准治疗。然而,对于MGMT启动子非甲基化患者,联合肿瘤电场治疗(TTFields)可显著延长生存时间——EF-14试验显示,TTFields联合化疗使5年生存率提升至13%1。基于下一代测序(NGS)的分子分型技术可识别潜在靶点(如FGFR、NF1等),为复发后治疗提供依据。MDT则保障了从初始治疗到复发干预的个体化全程管理。
南方医科大学南方医院黄广龙/屈善强/陈卓
阳教授团队报告一例携带CDKN2A缺失、PTEN缺失等多项不良预后标志的GBM患者,通过上述综合策略实现了7年长期生存。该病例充分体现了精准医学时代GBM治疗的前沿进展:以分子特征为导向,以手术为基础,以放化疗和早期TTFields介入为核心,通过MDT实现全程优化,逐步突破传统预后瓶颈。
患者,男性,55岁,主诉因“右上肢无力3个月,加重伴癫痫
发作1个月”于2019年3月入院。患者于入院前3个月无明显诱因出现右侧拇指乏力,在当地医院就诊并按照运动扭伤处理,效果不佳。随后出现病情加重伴癫痫抽血1次,于当地医院行头颅MRI检查:提示左侧额叶占位性病变。为寻求进一步治疗,遂来我院门诊就诊。
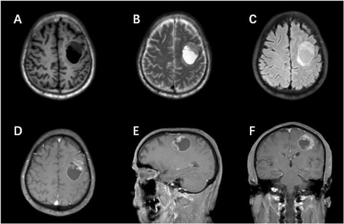
入院后完善常规检查,各项指标未见异常。头颅MRI增强扫描显示:1、左侧额叶见类圆形占位性病变,大小约3.8×3.1×3.2 cm,边界清晰,周围轻度水肿
,增强扫描示实性成分明显强化(图1);2、MRS示病灶侧对比镜像侧Cho/NAA比值显著升高;3、DTI示左侧额顶部皮质脊髓束受压移位伴局部缺损,余白质纤维束走行正常。结合临床表现与影像学特征,初步诊断为:左侧额叶高级别胶质瘤
。

图1.患者术前头颅MRI显示左侧额叶病变部位
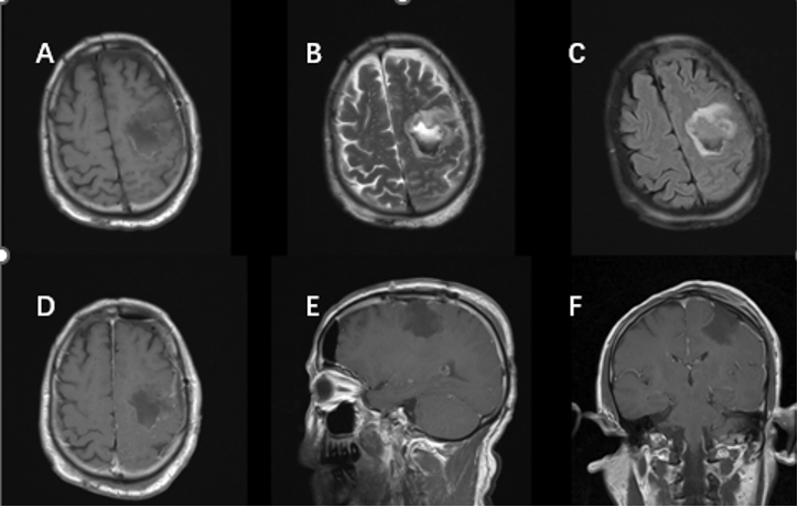
完善术前准备,排除手术禁忌后,患者于2019年3月行黄荧光引导下左侧额叶肿瘤切除术+硬膜修补+颅骨成形术。术中标记左侧额颞顶部马蹄形切口,游离骨瓣,剪开硬膜翻向中线。显微镜下沿肿瘤皮层造瘘,见肿瘤呈灰红色、质地稀软、血运差、边界清晰,沿囊壁完整切除肿瘤,达显微镜下全切除。术后患者恢复顺利,未见神经功能症状加重。术后常规复查头颅增强MRI提示肿瘤全切(图2)。

图2.术后头颅MRI增强扫描显示肿瘤全部切除
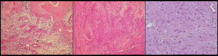
肿瘤组织肉眼观:灰白灰黄色不规则组织一块,大小约5*3.5*3cm,切面呈灰白灰红色,实性,质中,局部质软,见散在出血。
光镜所见:肿瘤细胞呈弥漫性、浸润性生长,与正常脑组织分界不清。肿瘤细胞具有高度多形性,形态多样。局部区域间胞浆透亮圆形、类圆形细胞增强,细胞排列较密集,核圆形,浓染,居中,胞浆透明,瘤细胞呈蜂窝状排列,部分呈栅栏状坏死及小血管增生。组织内见残留少量神经元。
免疫组化结果:GFAP(+),CD34(血管+),IDH1(-)、Oligo-2(局部弥漫+),P53(+,约50%),EGFR(1+),ATRX(+,无突变),Ki-67(局部25%),BRAF-V600E(-),MGMT(+,<10%)。术后组织病理诊断:左侧额叶胶质母细胞瘤,WHO IV级,IDH野生型。

图3.术后脑肿瘤组织H&E染色形态学
术后肿瘤标本行临床全外显子组测序(WES),结果显示:IDH1/2均为野生型,1p/19q联合缺失阴性,ATRX野生型,TERT启动子区野生型;H3F3A基因野生型,MGMT启动子甲基化率(2.68%),同时检出CDKN2A缺失,EGFR野生型,FGFR1突变(p.N546K激活突变,频率38.6%),NF1 突变(p.L1253fs移码突变,频率43.1%),PTEN缺失(频率0.61),NOTCH1突变(p.R1926G,频率37.2%)等多重驱动基因变异。肿瘤突变负荷(TMB)约为6.31/MB,属于较高水平。

图4. 术后GBM标准治疗流程
按照GBM术后标准治疗流程进行后续治疗(图5),早期口服低剂量的替莫唑胺(TMZ)以抑制肿瘤细胞生长。术后2周启动同步放化疗,放疗剂量为60-54Gy/30F,同时口服TMZ,按体表面积计算给药(75mg/m2),同步放化疗共完成6周。自同步放化疗启动起,患者同时接受TTFields(具体参数:频率200kHz, 电场强度2V/cm, 换向:每秒在电极对之间切换一次),每日佩戴时间>18小时,持续治疗2年。同步放化疗结束后,休息28天。复查头颅MRI及血常规
指标,并进入到Stupp方案辅助化疗阶段,采用5/28方案:口服TMZ胶囊(200mg/m2,每日1次),连续服用5天,然后停药23天,每28天为一个周期,如此重复另外的5个周期(即共6个周期),期间予止吐药等对症处理。
后续治疗期间,定期每2-3个月门诊复查头部增强MRI扫描(图6)。2022年8月首次提示可疑复发,11月复查确认,遂再次启用TMZ化疗,继续采用5/28方案,每周期连续服药5天,共完成12周期。截至2026年2月27日随访,影像学显示肿瘤未见复发,生存时间超过7年。患者目前KPS评分90分,生活可自理,行走稳定,坚持早睡早起及适量运动,心态积极乐观,整体状态良好。

图5.患者术后门诊定期复查MRI影像
讨论
胶质母细胞瘤是成人最常见的原发性恶性脑肿瘤,中位生存期仅15-17个月左右。本例患者术后总生存期(OS)达83.5个月,无进展生存期(PFS)为41.3个月,显著优于GBM人群平均水平,其长期生存的机制可从分子特征与治疗策略两个维度进行分析。从分子特征看,本例为IDH野生型GBM,MGMT启动子甲基化阴性(<10%),属经典IDH野生型GBM(TCGA分型RTK II型/经典型),通常预后较差。全外显子组测序同时检出CDKN2A纯合缺失、FGFR1 p.N546K激活突变、NF1 p.L1253fs移码突变、PTEN纯合缺失等多重驱动基因变异,虽构成高度恶性表型,也为后续靶向治疗提供了潜在干预靶点。肿瘤突变负荷较高(6.31/MB)则提示免疫治疗存在潜在获益空间。
从治疗策略看,本例长期生存的关键在于多模式综合治疗的早期介入与序贯实施。首先,黄荧光引导下肿瘤扩大全切除最大程度降低肿瘤负荷,这是GBM预后最核心的可干预因素。其次,术后规范完成同步放化疗及辅助化疗。尽管MGMT阴性,放疗联合替莫唑胺仍可能通过非甲基化依赖机制发挥抗肿瘤作用。
值得强调的是,本例患者自同步放化疗启动起即联合TTFields,每日佩戴>18小时,持续2年。EF-14等III期临床试验已证实TTFields联合Stupp方案可显著延长新诊断GBM生存期1。本例患者在初始治疗阶段即引入TTFields作为一线强化手段,是取得长期生存的重要举措。2022年8月和11月影像学提示可疑复发(PFS达41.3个月)后,再次启用替莫唑胺化疗(5/28方案,共12周期),仍获良好应答,影像学达完全缓解,提示肿瘤对烷化剂仍保持一定敏感性。
此外,NGS检出的多重驱动变异为后续治疗提供了精准医学依据,MDT模式则从制度上保障了全程管理的个体化与规范化。本例长期生存的可能机制包括:扩大全切除奠定基础,规范放化疗足量足疗程,早期联合TTFields强化一线治疗,复发后再次化疗仍获良好应答,加之患者依从性好、随访规律。尽管携带多个不良预后分子标志,通过积极的多模式综合治疗,仍实现远超预期的长期生存。这提示分子特征虽可指导预后判断,但积极的外科切除、规范放化疗、早期联合新型物理治疗及MDT全程管理,为GBM的综合治疗提供了有益借鉴。
黄广龙 教授
南方医科大学南方医院
该病例根据WHO2021版中枢神经系统肿瘤分类,IDH野生型合并组织学肿瘤坏死、微血管增生符合胶质母细胞瘤诊断标准。胶质母细胞瘤手术极具挑战,既要最大程度切除肿瘤以延缓复发、改善预后,又要精准保护神经功能、保障患者术后生活质量。本病例基于规范手术与Stupp方案,在治疗早期联合TTFields强化进行三联疗法,是该患者长期生存的重要措施。此外,依据NGS检测结果指导全程管理,在复发后再次启用替莫唑胺治疗,患者仍获完全缓解。这充分体现了我院在MDT协作、多种治疗手段协同及精准医学指导下个体化全程管理模式的成熟与优势。
(病例资料整理:屈善强主治医师,陈卓阳硕士研究生)
黄广龙 教授
南方医科大学南方医院神经外科中心主任医师
教授、博士生导师、博士后合作导师
曾任南方医院增城院区主任
神经外科中心脑胶质瘤组组长(PI)
中国脑胶质瘤协作组(副组长)
中国医师协会脑胶质瘤专业委员会(委员)
广东省医学会神经外科分会神经肿瘤学组(副组长)
广东省抗癌协会神经肿瘤专委会(常委)
广东省医师协会神经外科分会(委员)
广东省杰出青年医学人才
广州市增城区高层次人才(国内高端人才
广东省精准医学应用学会神经肿瘤专委会(副主委)
广东省潮联会健康委员会(副主委)
加利福尼亚大学旧金山分校访问学者
长期从事神经肿瘤临床、教学及科研工作20余年,擅长颅脑神经肿瘤疑难疾病诊治,尤其是高难度颅脑肿瘤微创手术
积极牵头建设“南方脑胶质瘤中心胶质瘤专科联盟”,旨在推广规范化诊疗经验,提升华南区域医疗服务能力,参编多部脑胶质瘤国内专家共识及指南
曾荣获“羊城好医生”称号、“广东省科学技术奖二等奖
参考文献:
Stupp R, Taillibert S, et al. Z. Effect of Tumor-Treating Fields Plus Maintenance Temozolomide vs Maintenance Temozolomide Alone on Survival in Patients With Glioblastoma: A Randomized Clinical Trial Jama: 2017, 318(23),2306-2316.
审校:Mia&Squid
排版:Checky
执行:Squid
医脉通是专业的在线医生平台,“感知世界医学脉搏
,助力中国临床决策”是平台的使命。医脉通旗下拥有「临床指南」「用药参考」「医学文献王」「医知源」「e研通」「e脉播」等系列产品,全面满足医学工作者临床决策、获取新知及提升科研效率等方面的需求。
本平台旨在为医疗卫生专业人士传递更多医学信息。本平台发布的内容,不能以任何方式取代专业的医疗指导,也不应被视为诊疗建议。如该等信息被用于了解医学信息以外的目的,本平台不承担相关责任。本平台对发布的内容,并不代表同意其描述和观点。若涉及版权问题,烦请权利人与我们联系,我们将尽快处理。