
多图总结:呼吸系统淀粉样变性的影像学表现
1肺淀粉样病变
肺淀粉样变性通常是只发生在肺,而不是系统性疾病的一部分。可分为两种表现方式:结节型实质淀粉样变性和肺泡间隔病变。这两种亚型的影像学表现通常没有特异性。
结节型实质淀粉样变性
典型表现是,50~60岁成年发病,无症状,仅在胸片偶然发现异常。在CT上,结节型实质淀粉样变性表现为单发或多发肺结节
,与肉芽肿性疾病和恶性肿瘤等很多疾病类似,难以鉴别(图1,2)。

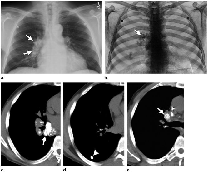
图1 胸片(a)和钙影像(b):男,53岁,不明原因的系统性淀粉样变性。影像学显示右肺门淋巴结钙化(箭头),(c~e)同一病人CT图像显示含有纵隔淋巴结钙化(箭头),和右肺下叶完全钙化的淋巴结(图d箭头)结节取活检证实为淀粉沉积。
60%的病人只表现为孤立性肿瘤样沉积(称为淀粉样瘤,在排除系统性淀粉样变性后)(图2)。通常表现为多发结节,结节可以是边缘光滑、分叶状或毛刺状,偶尔可见中央或点状钙化(图3)。偶见空洞。由于影像学表现多样,仅仅通过影像表现进行诊断非常困难。正确的诊断需要完整的临床病史,即使这样,确诊通常依靠活检,沉积物中最常检测到淀粉样蛋白AL。

图2 女,67岁,结节型实质淀粉样变性(a)胸片显示多发肺结节(箭头),主要位于右肺。(b,c)CT显示一个结节位于右肺基地(箭头在),主要是软组织组织密度衰减,无钙化;患者有明确的淀粉样变性病史。没有钙化时,这种分散的块状淀粉样沉积(淀粉样物)可与原发性肿瘤或转移瘤难以鉴别。

图3 (a,b)患者,女,82岁,患有边缘区淋巴瘤
,胸部X线示其所致的淀粉样变性肺实质结节改变。除了纵隔淋巴结钙化,多发肺结节钙化(箭头示)发生在双侧。(c-e)该患者CT示肺内结节部分钙化(图d*)。这个结节部分边缘可见毛刺(图c箭头)。右肺可见一些部分钙化或无钙化结节(图e箭头),许多边缘可见毛刺。鉴别诊断包括尘肺、肉芽肿性感染及结节病
。经皮右下肺穿刺为肺实质性淀粉样变性。
弥漫性肺泡间隔淀粉样变性
肺泡间隔淀粉样变性较前者少见,但是更有临床意义。患者通常表现症状,更易进展至肺动脉高压
和呼吸衰竭
。此类型常见多器官同时受累,是生存不佳的独立预测指标。

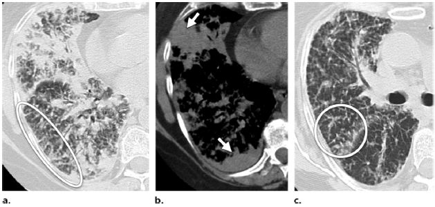
图4 患者,女,68岁,单克隆-γ球蛋白病,肺CT示与其有关的系统性淀粉样变性。一些区域间质性增厚(图a椭圆形区域),主要是肺外周及基底段的肺实变(图b箭头),斑片状磨玻璃影及肺实质微小结节(图c圆圈),这些改变均见于肺间质型淀粉样变性中。
肺泡间隔淀粉样变性的CT特点为边界清晰的2~4mm微结节,同时伴随网状影、小叶间隔增厚和以基底部、外周部分布为主的实变融合(图4)。肺点状钙化、胸水和胸膜增厚也可能出现(图5,6)。肺囊性病变少见,常见于系统性淀粉样变性患者表现Sjögren综合征时。囊性变可能与钙化或无钙化的软组织结节有关,但是形成机制不明,可能是由于Sjögren综合征导致的淋巴细胞性间质性肺炎
,也可能是由于淀粉样变性(淀粉样蛋白沉积导致的小气道阻塞)。与肺泡间隔淀粉样变性鉴别诊断的疾病很多,包括肉芽肿性病变、尘肺、癌性淋巴管炎等。病灶活检最常发现AL沉积。
与结节型实质淀粉样变性比较,肺泡间隔淀粉样变性患者预后非常差,中位生存期为16个月。进展性肺功能恶化和症状加重是其典型表现。

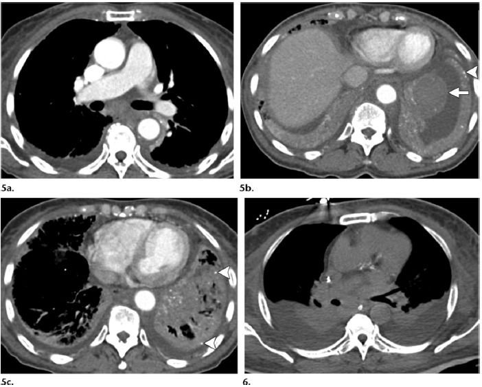
图5, 6 (5)患者,女,70岁,系统性淀粉样变性(AL)累及肺、胸膜及纵隔。(a)增强CT示气管隆突下淋巴结肿大。(b,c)左下叶肿块为淀粉样蛋白沉积物。斑点状实质钙化(图b和c箭头)也见于肺实质淀粉样变性。双侧胸腔积液
(图c),胸穿证实了胸膜淀粉样变性。(6)患者,男,63岁,多发骨髓瘤
及淀粉样变性。肺CT平扫
示双侧少量胸腔积液及气管隆突下淋巴结肿大。尽管无特异性,淋巴结为含淀粉样蛋白沉积物。
2气道淀粉样变性
气道受累多为单独发病,也可见于系统性淀粉样变性。通常表现为气道弥漫性受累,粘膜下层淀粉沉积斑块形成,但沉积物很少单发,与气管内赘生物难以鉴别。男性多于女性, 50~60岁常见。与其他大多数的气道疾病一样,其常见症状包括呼吸困难
、咳嗽
、哮喘
、咯血
和反复发作的肺炎。
描述淀粉样变性累及气道分为三种类型型:近段、中段及远段。近段或上呼吸道疾病患者往往表现为上呼吸道症状。那些中段或远段及主要支气管疾病往往表现为远段呼吸道症状,肺叶萎缩或反复性肺炎 。
众所周知胸片检查不敏感,发现气道受累通常借助于CT。受累气道管壁表现为高密度影,淀粉样变性累及气管后方膜部(图7, 8)。长段气道狭窄,在冠状位及矢状位重建显示更佳(图7~9)。事实上,长段管腔狭窄的气道壁增厚(图8c)显示为高密度影(图 9c 和 9d),应高度怀疑淀粉样变性 。MRI过去也有助于诊断该病,但是现在作用不大。氟18氟脱氧葡萄糖
正电子发射断层作用(PET)不断发展。结合CT检查
,PET FDG摄取增加时可以检测早期淀粉样变性和对治疗的反应。

图7 患者,女,64岁,终末期肾病
,气道淀粉样变性需要气管切开。(a)气道ct软组织窗示气道壁增厚,包括气道后方膜部。未见钙化。(b)呼气相可见空气潴留。(c)重建证实长段气管受累

图8 患者,男,75岁,终末期肾病,气道淀粉样变性。(a,b)因呼吸困难进行肺栓塞
治疗,CT图像显示长段气管管壁环形增厚。(c)矢状位重建软组织窗可以更好显示长段气管前壁增厚并可见钙化(箭头)

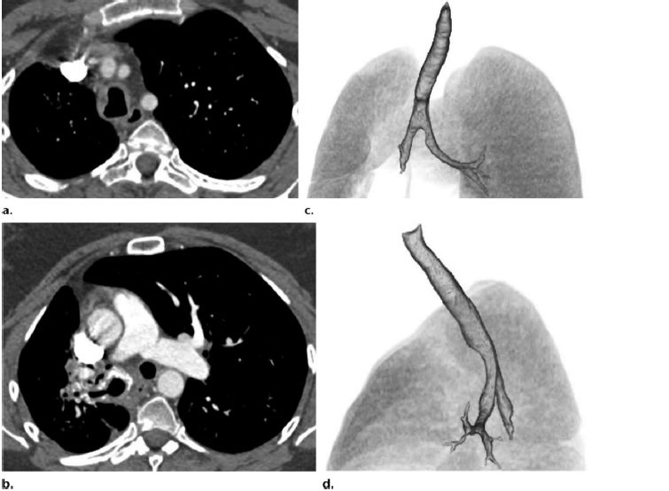
图 9 患者,女性,43岁,淀粉样变性累及气道,有进行性呼吸困难。胸部增强CT显示右肺上叶上气道起始部气管环状增厚(a)和(b)。(c,d)容积重建显示气管远端大段变窄
一旦活检确诊,气管支气管型淀粉样变性需要治疗。治疗方法常根据临床症状而定,包括局部切除术、激光疗法、植入支架或者适用于弥漫性病变的放射疗法。通常情况下,局部治疗需要开刀,常常需要多个流程。目前,支气管镜下切除仍然是标准的治疗方法。
气道淀粉样变性性患者的五年存活率范围为30%~50%。疾病累及近段气道患者的预后比累及中段或远段气道患者更差,虽然自发性溶解已经被报道过,患者通常要反复针对性切除肿瘤,目的是为了控制进展性呼吸系统症状。
3 纵隔淀粉样变性
纵隔淀粉样变性常见于系统性淀粉样变性并可能由多个位置的肿大淋巴结构成,或者累及更广的范围。孤立的肿瘤样病变或者淀粉样瘤可能发生于任何的纵隔隔室。症状取决于病变的位置和临近受累结构。纵膈疾病常常表现为无症状的淋巴结肿大,这是除了气道疾病和结节实质疾病以外的第三常见的胸部表现(图5a,6,10)。纵隔淋巴结肿大可伴有多种钙化表现形式,包括点状,弥漫性,或蛋壳样表现。

图10 (a)图4的患者,CT平扫图像显示纵隔淋巴结肿大(a 和b箭头)静脉注射造影剂后淋巴结强化
参考文献:
[1]Czeyda-Pommersheim F, Hwang M, et al. Amyloidosis: Modern Cross-sectional Imaging. Radiographics : a review publication of the Radiological Society of North America, Inc. 2015, 35(5): 1381-92.
[2]Renata Rocha de Almeida,et al.Respiratory Tract Amyloidosis. State-of-the-Art Review with a Focus on Pulmonary Involvement.Respiratory Tract Amyloidosis. State-of-the-Art Review with a Focus on Pulmonary Involvement.2015,193(6):875–883.