作者:stari
来源:1影1世界
这样的图像咋诊断——说说CT伪影
这样的图像,怎么诊断!
影像诊断时,医生一句话,可以将技师的信心彻底打倒在地!
伪影,伪影,又是伪影!
伪影,artifact,是在成像过程中,由于各种原因,在图像上出现了受检体中根本不存在的影像,貌似正常组织或病灶,影响正确诊断。
Artifact一词,在英语中,本来就是人工制品,人为的东西的意思。所以,伪影,是正常影像以外出现的假象。
伪影的出现,降低了图像质量,影响对病变的分析,有些伪影可类似病理改变,导致误诊。

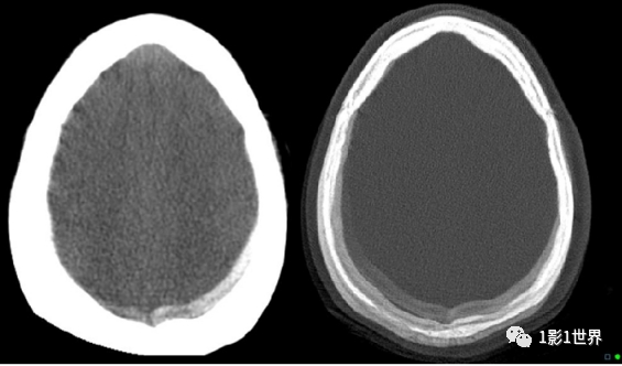
![]()
类似硬膜下血肿的运动伪影

![]()
左下肺运动伪影,因呼吸控制不好,而出现的类似支气管扩张
的运动伪影
伪影,在正常解剖结构上,出现一些异常影像,表现的非常规则,也可能表现得散乱无序。
常见的有环状伪影、锥形伪影、带状伪影、射束硬化(放射状)伪影、部分容积伪影、条纹状、弧形、混杂伪影等等。
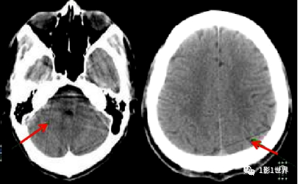
就伪影形成的原因,有设备本身因素,有扫描条件设置因素,有患者因素。正面,展示几种临床上常见的伪影,并分析其形成的原理,克服的办法。规范预热;定期空气校准;维护和保养;检测硬件故障,并更换。也叫条纹状伪影,表现为图像上低密直线,无规律出现。插值算法是导致这类伪影的主要原因。伪影的面积比,要随螺距的增大而增大。致密物体之间的条纹状低密度影;如头部后颅窝亨氏暗区,就是典型的更化束伪影。密度相差较大的物体之间的条带状高低密度影;如胃内气体较多时,肝胃之间的伪影。薄层扫描,厚层重建;改变体位
,避免密度对比过大的物体相接触。部分容积效应,是影像断层扫描中的一个概念,因为层厚的影响,相邻组织间出现重叠,表现出异常影像。
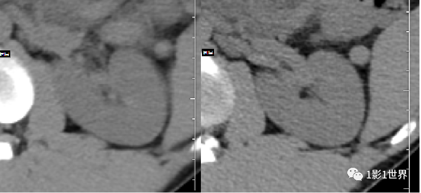
![]()
左肾前方结节,5mm层厚图像上似为肠管延伸过来,2mm薄层图像显示为副脾。
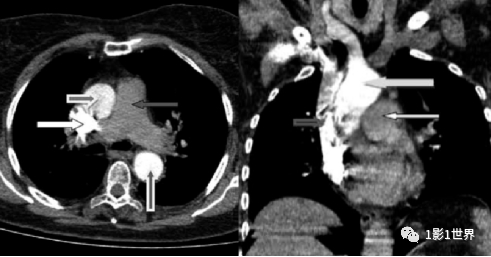
周围间隙现象,是断层扫描时的另一种异常表现,是指在同一扫描层面内,与层面垂直的两种相邻且密度不同的组织,其边缘部的CT值不能准确测得,所以CT交接处图像不能清楚分辨。根据相邻的图像信息,也可通过软件校正来消除这类伪影。CT扫描数据来源于有限的探测器通道,螺旋CT图像重建算法需要在Z轴上插值以获得轴位图像,而出现的伪影。在高密度物体周围出现风车状的亮暗线,并且不翻阅图像时,伪影绕高密度中心旋转。缩小螺距,螺距等于或小于层厚(重叠扫描);改变Z轴方向的采样模式;增加层厚。CT扫描时,在射线路径剖面图上,中心部的路径要长于边缘部分。通常在成像过程中,图像处理计算机根据参考值对相应的射线硬化作校正补偿,使射线束均匀一致,如果参考值误差与均匀水模的中心及四周的CT值不一致,就会导致伪影。预防措施:尽可能将检查部位置于扫描视野范围内,尽量置于中心位置;或用软件校正偏中心部位的扫描。如低剂量CT扫描用纵隔窗观察,或是常规胸部扫描在胸廓入口、肩关节水平,还有扫描胸腹部时上肢进入扫描野时,容易出现这类伪影。其形成原因,是穿透人体到达探测器的光子数不足,或扫描參数设定过低而产生伪影。也就是说,没有足够的X线到达探测器,形象地称作光子饥饿。如等中心摆位;在特殊部位放大FOV扫描;提高曝光条件;其形成原理类似于磁共振的介电伪影。简单地,可理解为物体较厚,X线穿透到达探测器时,周边组织的平均光子能量会更高一些。现代扫描仪都内置了简单的线束硬化校正,因此在临床成像过程中杯状伪影相对少见。在扫描过程中,如果病人体位发生变化,可造成图像数据排列紊乱。重建图像结构模糊,导致无法分辨。还有一些生理性运动是随机的,不能由患者自主控制,如心脏管搏动、胃肠蠕动等。针对病人:胸腹部扫描前,训练呼吸,屏气扫描;对一些屏气困难的患者,可分次多次扫描;提高扫描速度,缩短扫描时间。主要为密度差别极大的物体,如金属和人体组织一起扫描时所造成。在图像重建环节,利用骨细节算法重建图像,可降低金属伪影;或采用能谱CT扫描的去除金属伪影技术。这是近年文献报道的一种伪影现象(Magaya E . Case report: Transient interruption of contrast[J]. South African Radiographer, 2016.),称暂时性造影剂中断,TIC(Transient interruption of contrast) 是肺动脉CTA检查过程中常见的血流伪影。由于在深吸气时,或由于腹腔内压力增加,从下腔静脉(IVC)到心脏右侧的血流增加,因此肺动脉强化不佳的现象。
![]()
肺动脉CTA扫描:轴位CT图像显示上腔静脉、升主动脉和降主动脉造影剂强化,而肺动脉主干相对密度较低。
这种伪影可导致不确定的检查结果或被误解为肺栓塞
。可尝试患者吸气-呼气-屏气,也就是呼气末屏气扫描,这样胸腔压力不会突然大幅变化,可能会避免这类伪影。影像科工作人员,首先要认识伪影,避免误诊漏诊,其次要学会设备维护和保养,学会机器校准和规范使用,保证设备稳定运行。进一步,要知道各种伪影产生的原理,根据不同伪影的形态和特点来追踪可能发生的设备故障点,一步步排除故障,消除设备伪影,提供合格影像。