
病例挑战|男性患者肺部占位伴脑转移,肿瘤原发灶真的在肺吗?
患者,男,55岁。
主诉:
咳嗽
、咳痰伴胸闷2周。
现病史:
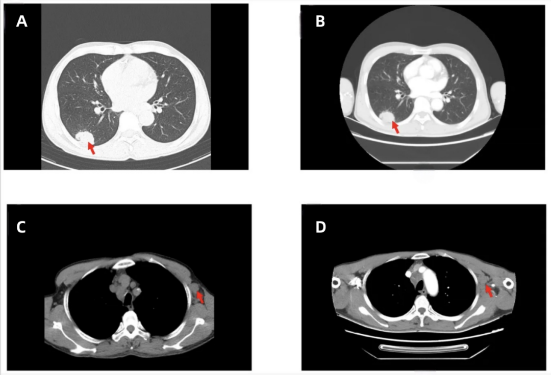
患者无明显诱因出现咳嗽、咳痰,伴胸闷不适,于2025年6月1日在当地医院就诊,胸部CT提示“右肺下叶占位性病变(约3.7×2.5cm)(图1A),伴左腋窝淋巴结肿大(图1C)”。当地医院按“肺部感染”予布地奈德
、沙丁胺醇
及莫西沙星
等对症治疗,症状无明显改善。因治疗效果不佳,于2025年6月4日转院。
既往史及家族史:
体格检查:
生命体征平稳。左腋窝可触及肿大淋巴结,质硬,活动度差。双乳区未见明确肿物,无乳头溢液、凹陷或皮肤橘皮样改变。心肺腹查体未见明显阳性体征。
实验室检查:
癌胚抗原(CEA):28.32 ng/mL;CY21-1:47.68 ng/mL
影像学检查:
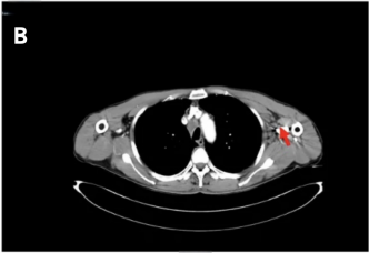
颈部、胸部、腹部增强CT:右肺下叶占位,大小约36mm×23mm(图1B);伴左侧腋窝淋巴结肿大(图1D)。
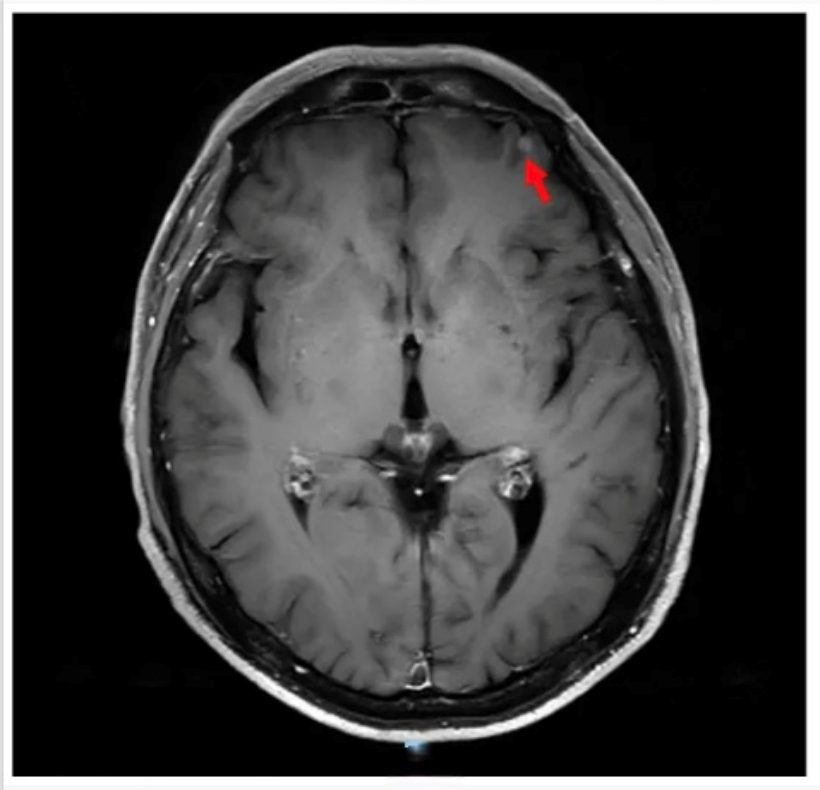
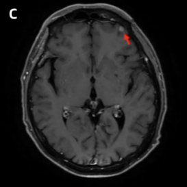
头颅增强MRI及DWI:左侧额叶见一结节样强化灶,考虑转移瘤(图2)。

图1 初诊时右肺病灶和左侧腋窝淋巴结(红色箭头指向病灶)[1]

图2 初诊时颅脑病灶(红色箭头指向病灶)[1]
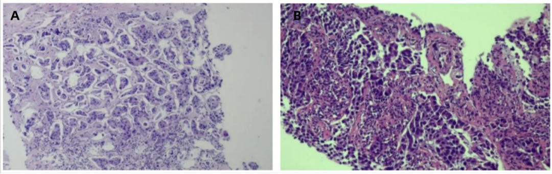
►左侧腋窝肿大淋巴结超声引导下穿刺活检(图3A),病理回报:“(左腋窝淋巴结)纤维结缔组织内见腺癌浸润,部分呈微乳头状结构。
免疫组化:ER(+)、PR(-)、HER2(2+)、FISH:HER2基因扩增、GATA-3(+)、TRPS1(+)、GCDFP-15(-)、Mammaglobin(-)、CK7(+)、TTF-1(-)、Napsin A(-)、CK20(-)、Villin(-)、P40(-)、Ki-67(约80%)。
►右肺占位CT引导下穿刺活检(图3B),病理回报:“(右肺)低分化腺癌。结合病史及免疫组化,不除外乳腺来源。
免疫组化结果:ER(0)、PR(0)、HER2(1+)、GATA-3(散在+)、TRPS1(+)、Mammaglobin(-)、TTF-1(-)、Napsin A(-)、P40(-)、CK7(-)、Ki-67(约70%)。

图3 腋窝淋巴结和肺部肿块活检的HE染色结果[1]
问题2:左侧腋窝淋巴结活检提示Luminal B型,右侧肺转移灶活检提示三阴性型。应以哪份病理结果作为指导后续治疗的依据?
(请点击选项,查看答案与解析)
初始治疗(2025年6月)
因患者对化疗耐药,故采用TX方案(多西他赛
130mg d1 +卡培他滨
1.5g bid d1-14)。治疗1周期后,复查肿瘤标志物
:CEA 32.6 ng/mL,CA125 131.0 U/mL,CA153 900.2 U/mL,较前升高。
方案调整(2025年7月)
白蛋白
结合型紫杉醇
400mg d1+ 卡培他滨1.5g bid d1-14。
治疗3周期后(2025年9月3日):
肿瘤标志物:CEA 20.8 ng/mL,CA125 63.28 U/mL,CA153 635.20 U/mL,较前下降。
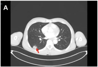
颈部、胸部、腹部增强CT:右肺下叶占位较前缩小,现约25mm×22mm(图4A);左腋窝淋巴结较前缩小(图4B)。
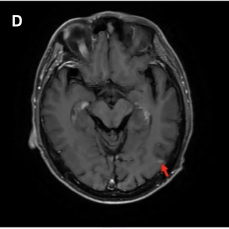
头颅增强MRI及DWI:左侧额叶原有病灶较前增大(图4C),左侧颞枕叶交界区见新发病灶(图4D)。




图4 右肺病灶、左侧腋窝淋巴结及颅脑病灶复查结果(红色箭头指向病灶)[1]
2025年9月22日时肿瘤标志物:CEA 18.61 ng/mL,CA125 52.85 U/mL,CA153 631.60 U/mL。较前下降。
脑转移处理(2025年9月-10月)
患者于2025年9月22日至10月17日行全脑放疗,总剂量4000cGy/20f/4周。
男性乳腺癌较为罕见,在中国仅占全部乳腺癌患者的0.31%,全球范围内约占0.6%。由于公众对该疾病认知有限,且患者早期症状常缺乏特异性,临床就诊时多已进展至晚期阶段,整体预后相对较差。隐匿性乳腺癌则是其中更为少见的特殊类型,表现为以腋窝淋巴结转移为首发,而乳腺内未能识别明确原发病灶,在全部乳腺癌中仅占0.1%~0.8%,在男性乳腺癌中约占0.2%~0.9%。本例患者初诊时除腋窝淋巴结转移外,已合并肺、脑等远处器官受累,进一步增加了诊断鉴别与后续治疗的复杂性。
影像学检查在乳腺癌筛查与定位中具有重要作用,但并非完全可靠,存在一定局限性。尽管MRI对致密型乳腺及微小病灶具有较高敏感性,但本例患者乳腺MRI仍未提示明确乳腺恶性病变,提示在隐匿性乳腺癌中,单纯依赖影像学可能导致漏诊。对于此类原发灶不明且转移表现复杂的病例,病理活检联合免疫组化分析是明确肿瘤来源的关键。本例正是通过腋窝淋巴结及肺转移灶的组织学证据,最终完成肿瘤来源判定。
本例的另一诊疗难点,在于不同部位病灶之间存在明显的分子分型差异。综合肺部转移灶与腋窝淋巴结的病理结果,后续全身治疗仍应以远处转移灶所反映的三阴性亚型为主要依据;但腋窝淋巴结ER阳性也提示体内可能存在激素受体依赖的肿瘤细胞亚群,因此在化疗基础上仍需关注内分泌治疗的补充价值。对于男性ER阳性乳腺癌患者,指南通常推荐他莫昔芬20 mg每日口服,疗程5年,必要时可根据复发风险延长治疗时间。目前该患者尚未接受内分泌治疗,若后续患者病情及整体治疗条件允许,适时加用内分泌治疗,或有望进一步改善患者临床获益。
参考文献
[1]Su H, Zhao X, Liu H, et al. Male occult breast cancer with features highly resembling primary lung cancer: a case report and literature review. Front Oncol. 2026;15:1737310. Published 2026 Jan 12.
[2]Cimino-MathewsA. Novel uses of immunohistochemistry in breast pathology: interpretation and pitfalls. Mod Pathol. (2021) 34:62–77.
[3]WeydandtLNelIKreklauAHornLCAktasB. Heterogeneity between core needle biopsy and synchronous axillary lymph node metastases in early breast cancer patients-A comparison of HER2, estrogen and progesterone receptor expression profiles during primary treatment regime. Cancers (Basel). (2022)
[4]KhedrMGandhiSRoyAMAlharbiMGeorgeAAttwoodKet al. Breast biomarkers evolution between primary and distant metastasis: incidence and significance. Histopathology. (2025) 86:793–804.
编辑:Ocean
审校:KIKI
排版:Seren
执行:Ocean
医脉通是专业的在线医生平台,“感知世界医学脉搏,助力中国临床决策”是平台的使命。医脉通旗下拥有「临床指南」「用药参考」「医学文献王」「医知源」「e研通」「e脉播」等系列产品,全面满足医学工作者临床决策、获取新知及提升科研效率等方面的需求。
本平台旨在为医疗卫生专业人士传递更多医学信息。本平台发布的内容,不能以任何方式取代专业的医疗指导,也不应被视为诊疗建议。如该等信息被用于了解医学信息以外的目的,本平台不承担相关责任。本平台对发布的内容,并不代表同意其描述和观点。若涉及版权问题,烦请权利人与我们联系,我们将尽快处理。