
多障碍叠加下的介入突破,严重钙化CTO旋磨治疗的病例复盘与技术探讨——来自安贞医院冠心病中心的思考与探索丨科研快讯
患者女性86岁,体重45kg,主因“间断胸痛
10余年,加重1月”收入院。既往:高血压
、高脂血症
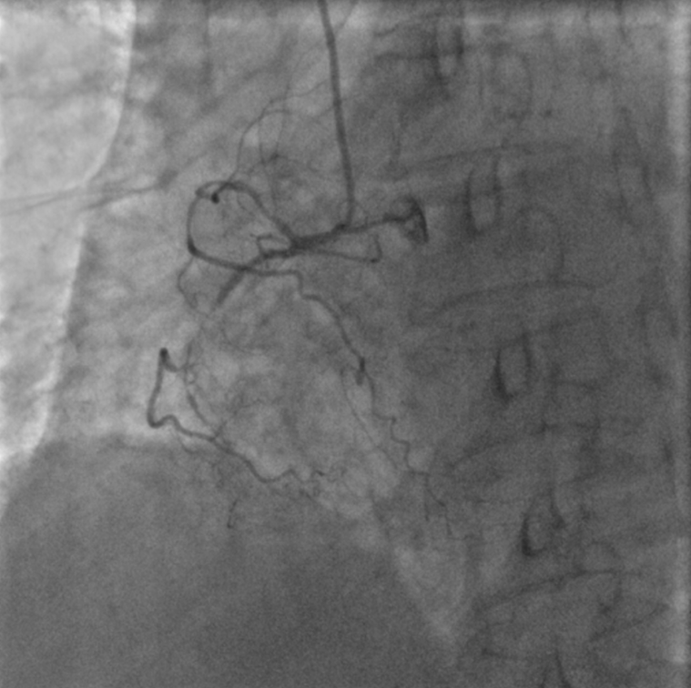
、慢性肾功能不全、双侧髂动脉曾植入支架。1月前外院冠脉造影提示三支血管均有重度钙化,左前降支(LAD)中段狭窄90%、对角支(D)狭窄80%、左旋支(LCX)近段狭窄90%、右冠状动脉(RCA)中段次全闭塞、远端慢性闭塞(视频1,图2-5)。
左右滑动查看更多
正向导丝技术经内膜下远端重回真腔,但因微导管和小球囊无法通过右冠中段结束手术(视频6,图7-8)。
视频6
左右滑动查看更多
手术入路方面,双侧肱动脉均存在严重迂曲(视频9,图10),左锁骨下动脉重度狭窄,双侧髂动脉支架内增生明显,故此次选择右侧肱动脉路径。

复查冠脉造影显示RCA同侧侧支消失,RCA侧支几乎全部由对侧LAD通过间隔支和心尖部提供(视频11,图12)。
视频11

图12
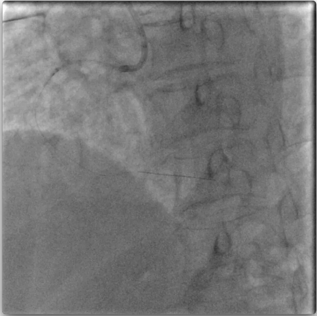
患者三支血管病变合并重度钙化,先行处理主要供体血管LAD的风险较高,且前次手术导丝成功通过闭塞病变,因此决定先开通RCA,择期处理左冠血管。7F AL1.0指引导管,微导管受阻于中段次全闭塞处,Fielder XTA升级至Pilot200,导丝通过第二屈膝部后阻力明显增大,进入内膜下,遂决定保留内膜下导丝,在延长导管支撑下使用0.8mm球囊于中段扩张,行BAM技术,但微导管仍无法通过中段次全闭塞(图13)。

图13
单腔微导管不能跟进严重影响导丝操控,平行进入第二根Pilot200导丝亦不能通过中段次全闭塞,判断中段局部存在严重钙化,只有解决此处钙化困扰才能跟进单腔微导管加强导丝操控或使用双腔微导管平行导丝技术寻找真腔。回撤内膜下Pilot200,通过微导管送入旋磨导丝,使之进入Pilot200造成的内膜下(视频14),但由于旋磨导丝进入长度明显不足,支撑力有限,1.25mm旋磨头仅能在右冠中段阻力点局部小心旋磨,控制旋磨头前进长度,避免支撑系统脱出(视频15)。
视频14
视频15
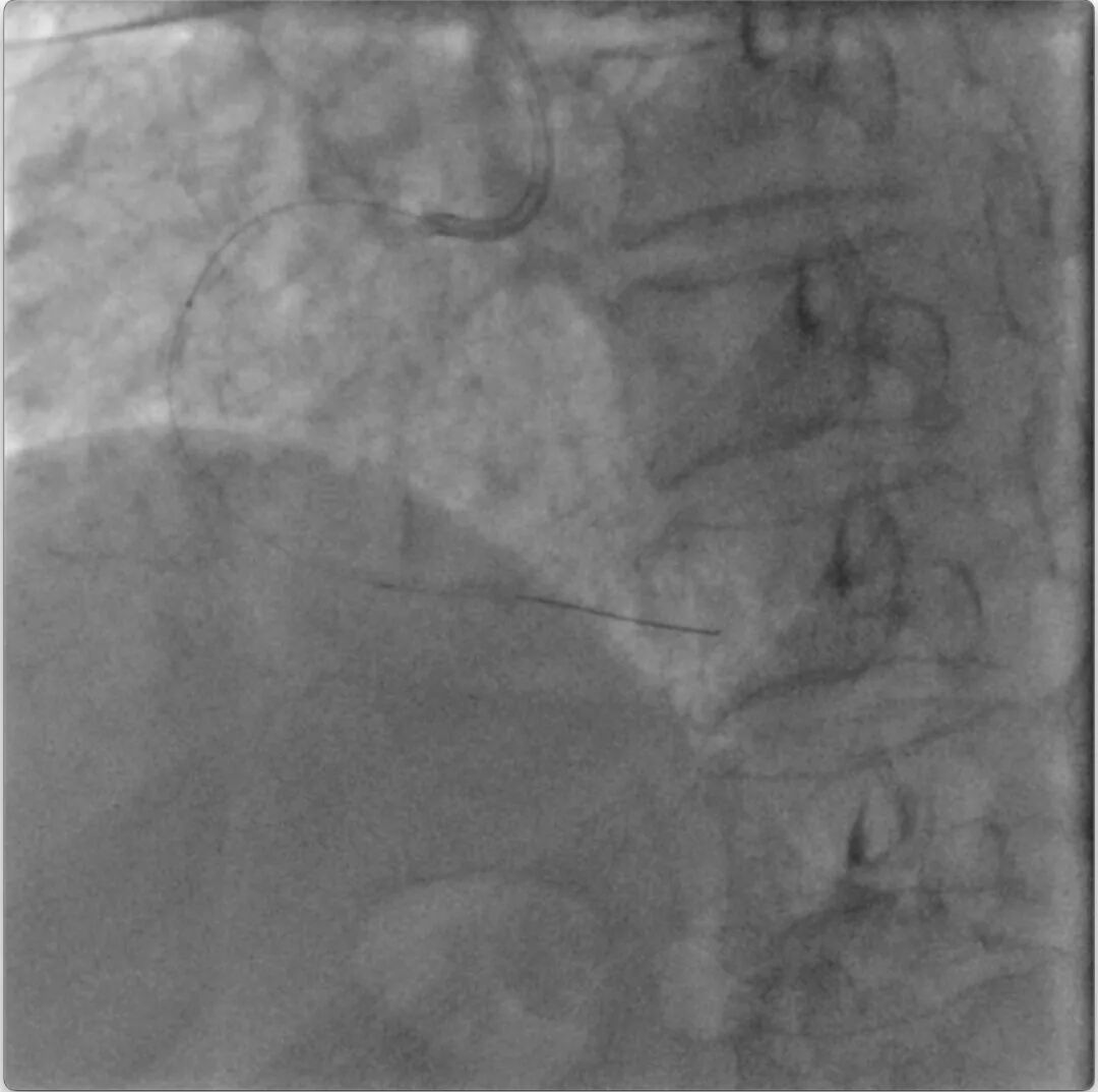
虽然旋磨头不能完全通过中段阻力点,但微导管能够较前多跟进2-3mm,且Pilot200操控性明显提高,最终进入右冠远端真腔。随后再次尝试在延长导管支撑下小球囊扩张、使用不同微导管,仍旧无法通过中段阻力病变(图16)。

图16
但此时再次尝试进入旋磨导丝,经过反复调整,最终将旋磨导丝送入右冠远端真腔(视频17)。随后旋磨顺利,1.25mm旋磨头,180000rpm通过中段阻力点(视频18)。交换为工作导丝后球囊扩张(视频19)。从右冠远端至近端串联置入2.5x30mm、3.0x30mm、3.5x18mm三枚支架(视频20)。
视频17
视频18
视频19
视频20
随着冠脉介入器械性能的不断进步,强支撑指引导管+延长导管+小直径球囊+不同特性的微导管可以解决大多数阻力性病变的通过性问题,但仍有少数病例需要使用旋磨,这就对旋磨导丝的性能和术者对旋磨导丝的操控能力提出了更高的要求。在合并严重钙化的CTO病例中,旋磨导丝沿着此前CTO导丝通开的缝隙通过闭塞病变也称为了进阶术者的必备技能。此病例的特殊之处在于,CTO导丝不能进入远端血管真腔,因此旋磨导丝远端只能停留于内膜下,且由于工作长度受限,支撑力大打折扣,此时进行旋磨要求精准控制旋磨头前进幅度,避免旋磨头进入旋磨导丝头端非工作段造成导丝断裂、冠脉穿孔或器械脱出等严重并发症。
中心北京安贞医院冠心病中心为国内首批专注于冠心病系统化诊疗的专科中心,是国家心血管病临床医学研究中心核心单元、国家卫健委冠心病介入诊疗培训基地及中国胸痛中心示范单位。年冠脉介入手术量近4万例,关注冠心病的临床与基础研究,致力于推动冠心病的规范化培训与诊疗。

吴铮 教授
主任医师,首都医科大学附属北京安贞医院心内冠心病五区副主任(主持工作)
毕业于北京大学医学部,获得心血管内科博士学位,同年入职首都医科大学附属北京安贞医院,临床方面擅长复杂冠心病介入治疗,尤其是在慢性完全闭塞性病变、严重钙化病变、左主干病变等方面累积了大量实战经验,常受邀在国内学术会议上进行手术演示,每年参与国内及国际学术会议的主持及发言百余次,在业内具有一定知名度。视为北京安贞医院高危复杂病例患者“最后一站”PCI手术的首推术者。术中应变能力突出,形成了独具特色的诊疗思路与操作技巧。
基础研究方面专注于心肌缺血再灌注损伤的机制探寻,并参与多项国家自然科学基金,北京市自然科学基金,北京市教委科研基金,首都科学发展基金等科研课题,发表论文数十篇,参与编写论著 5 部。担任Asia-Pacific Journal of Medicine杂志编委、中国介入心脏病学杂志青年编委、中华心血管病杂志(网络版)通讯编委、中国综合临床杂志通讯编委、中国临床案例成果数据库审稿专家。
担任北京医学会心血管病学分会青年委员、中国医促会心血管病分会委员、中国医药教育协会血管微创医学专业委员会常务委员、北京围手术期医学研究会心血管远程医学专业委员会常务委员、北京医学科学健康学会委员、中国医学装备协会心血管装备技术专业委员会委员、北京心血管疾病防治研究会北京青年CTO分会青年委员、中华中医药学会介入心脏病分会青年委员、卫生健康委全国心血管疾病介入技术诊疗培训项目培训基地(冠心病介入)导师、CTO介入治疗峰会秘书长、2022年度“白求恩精神践行者”。国内外多个重要学术会议的主席团成员及专家组成员。
编辑&排版:GXM
医脉通是专业的在线医生平台,“感知世界医学脉搏,助力中国临床决策”是平台的使命。医脉通旗下拥有「临床指南」「用药参考」「医学文献王」「医知源」「e研通」「e脉播」等系列产品,全面满足医学工作者临床决策、获取新知及提升科研效率等方面的需求。
本平台旨在为医疗卫生专业人士传递更多医学信息。本平台发布的内容,不能以任何方式取代专业的医疗指导,也不应被视为诊疗建议。如该等信息被用于了解医学信息以外的目的,本平台不承担相关责任。本平台对发布的内容,并不代表同意其描述和观点。若涉及版权问题,烦请权利人与我们联系,我们将尽快处理。