
31岁男子头上奇痒,竟抠出两个洞,是皮肤问题还是另有隐情?
来源 | 医脉通
作者 | 阿圆
张医生在皮肤科工作多年,经验不可谓不丰富,但今天接诊的这位患者仍然让她印象深刻。即便见识过众多疑难皮肤病例,这位患者的情况,还是让她在和同事讨论时感到棘手。
第一幕:
年轻男子满头“火山口”,剧痒难忍
患者李先生(化名),今年31岁。
他进入诊室的时候,整个人显得很焦灼,手指不由自主地挠着头顶,这让张医生感到奇怪。接下来,李先生告知了原因,这两年他的头皮成了他的“噩梦”——奇痒无比,长满了大小不一的疙瘩,有些还会破溃、结痂,严重影响睡眠和日常生活。
更让他苦恼的是,这些病变只集中在头皮上,身上其他部位干干净净。
于是,张医生让患者坐下检查,发现在患者头皮上,散布着多个直径约1.5cm的类圆形结节,中央凹陷,像一个个微型火山口,里面塞着坚硬的角质性“栓子”。部分结节已经破溃,表面覆盖着血痂和脓痂(图1)。

图1:头皮上有中央角膜塞的玻璃状结节
“只有头皮有吗?身上、胳膊腿上有没有?”张医生追问。
“没有,医生,只有头上,我身上皮肤很好。”患者回答道。
这种“局限性”的分布特点,立刻引起了张医生的警觉。常见的瘙痒性皮肤病,如结节性痒疹,往往好发于四肢伸侧;而这种具有典型中央角栓的“穿孔性”皮疹
,高度提示了一类更为罕见的疾病——穿通性皮肤病。
第二幕:
十年病史暗藏玄机,抽丝剥茧找到病因
张医生当即询问患者既往病史,得知:
➤患者五岁时被诊断出患有高血压
和1型糖尿病
,治疗依从性差且全身恶化进展严重;
➤合并症包括双侧增生性视网膜病变
,接受全视网膜光凝治疗,影响四肢的中度轴突断裂,以及近五年内需每周三次血液透析
的终末期慢性肾病
(ESRD)。
糖尿病、ESRD、长期透析——这些系统性疾病正是许多罕见皮肤病变的“温床”。张医生意识到,这很可能不是一个单纯的皮肤问题,而是内部严重代谢紊乱在体表的“信号”。
且此时,基于患者具有显著中央角膜栓的典型蟹状形态,当前主要的临床鉴别诊断包括结节瘙痒症和获得性穿孔性皮病(APD)——一种以真皮结缔组织经表皮排出为特征的罕见病,特别是Kyrle病和反应性穿孔胶原病。尽管像角棘瘤这样的玻璃状肿瘤可能出现在孤立病灶中,但其多重性、慢性病程和强烈瘙痒性使肿瘤过程不太可能发生。
为了明确诊断,医生为患者安排了皮肤活检,而皮肤病理结果给出了确凿的证据(图2):

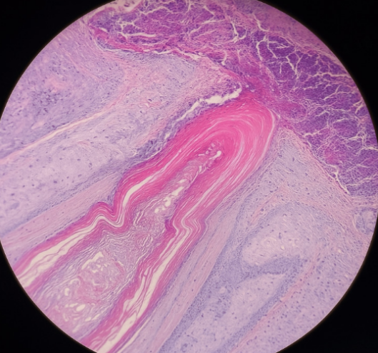
图2:组织病理示扩张的毛囊漏斗部充满角质物及炎性碎屑
显微镜下显示:鳞状上皮伴有棘皮症和角化过度,覆盖着厚厚的纤维蛋白-白细胞壳、含有中央角膜栓的滤泡漏斗,以及富含中性粒细胞的滤泡周围淋巴浸润。同时,皮损
处的细菌培养检出了甲氧西林敏感的金黄色葡萄球菌
。
结合临床情况和组织病理学发现,确诊为APD。初步使用外用梭胺酸和氯倍他索
治疗,效果部分改善。肾内科会诊后,开始口服克林霉素
(每8小时300mg,持续三周),进一步缓解。随后添加口服别嘌醇
,经过一个月治疗后病灶几乎完全清除。
病例思考
1.什么是APD?与糖尿病、肾病有何关联?为何本病例需要警惕?
APD是一种罕见的皮肤疾病,通常表现为脐带丘疹或结节,伴有中央角膜堵塞和明显的瘙痒,常与科布纳现象相关,其发病机制复杂,被认为是多因素共同作用的结果:
➤糖尿病患者的长期高血糖
可能导致微血管病变和胶原变性;
➤而在慢性肾病中,钙和糖基化终产物在真皮中的沉积进一步加剧了组织损伤;
➤反复搔抓会持续造成创伤,并促进经表皮排出过程。
此外,研究还提出了细胞因子介导的细胞外基质重构机制,涉及Th2细胞因子(如IL-4、IL-13和IL-31)以及转化生长因子β3(TGF-β3),这些因子会促进表皮增生和结缔组织向外排出。
同时临床上,APD表现为剧痒的、中央有角栓的脐凹状丘疹或结节。绝大多数病例皮损位于四肢伸侧和躯干,像本例这样病变独独局限于头皮的案例,在全世界文献报道中都屈指可数,属于非常不典型的临床表现,极易被误诊为严重的毛囊炎、疖肿或结节性痒疹。
2.APD如何诊断与治疗?
➤诊断:临床怀疑是第一步,但皮肤病理活检是确诊的基石,它能直观看到“经表皮排出”这一特征性改变。此外,皮肤镜、反射式共聚焦显微镜等无创检查也能提供辅助诊断线索,如观察到中央溃疡和周围特征性血管形态。
➤治疗重点:控制潜在的全身性疾病,缓解瘙痒,并预防感染。传统疗法,包括局部皮质类固醇、视黄醇、角质溶解剂和窄带紫外线B光疗,疗效参差不齐,常需长期联合方法和代谢合并症的优化。在特定情况下,局部抗炎治疗也可能有效。
而本病例患者口服克林霉素后服用别嘌醇,几乎完全缓解,这与此前报告显示这些药物具有抗炎和抗氧化作用一致。除药物治疗外,发现在优化糖尿病控制和纠正周围血管损伤后,获得性反应性穿孔性皮瘤的临床反应良好。
总而言之,皮肤是内脏的镜子,瘙痒不是小事。对于长期受糖尿病或慢性肾病困扰的患者,一旦出现不明原因、剧烈且持续的瘙痒,尤其是皮肤上长出带有“脐凹”或“角栓”的丘疹结节时,应及时到皮肤科就诊。
参考文献:
[1] Lambertini AS, Montecchiesi G, Taboada VA, Lambertini M, Giuliani AV. An Unusual Presentation of Acquired Perforating Dermatosis Confined to the Scalp. Cureus. 2025;17(12):e99636. Published 2025 Dec 19.
[2] Acquired perforating dermatosis: a clinicopathologic study, and the features of dermoscopy and reflective confocal microscopy of 37 cases. Gao Z, Lu SJ, Shan SJ. Skin Res Technol. 2023;29:0.
[3] Acquired perforating dermatosis: a sign of systemic disease. Nieto-Benito LM, Pulido-Pérez A, Bergón-Sendín M.Actas Dermosifiliogr. 2021;112:4.
[4] An unusual case of Kyrle disease. Gupta S, Gupte R, Manoj R, Raman A, Buccha Y. Cureus. 2024;16:0. doi: 10.7759/cureus.67767.
[5] A case of acquired reactive perforating dermatosis with complete resolution of eruptions on upper and lower limbs during the treatment of diabetes mellitus and peripheral artery disease. Mima Y, Ohtsuka T, Ebato I, et al. Medicina (Kaunas) 2024;61 doi: 10.3390/medicina61010036.
[6] Acquired perforating dermatosis with giant lesions on the scalp: a unique presentation in a hemodialysis patient. Alshahrani R, Almulhim N, Alzouman M, Al-Aojan S. Cureus. 2025;17:0. doi: 10.7759/cureus.82850.
[7] Kyrle disease: a case report and literature review. Macca L, Vaccaro F, Li Pomi F, Borgia F, Irrera N, Vaccaro M. Eur Rev Med Pharmacol Sci. 2023;27:10705–10715. doi: 10.26355/eurrev_202311_34351.
封面图来源|视觉中国
医脉通是专业的在线医生平台,“感知世界医学脉搏
,助力中国临床决策”是平台的使命。医脉通旗下拥有「临床指南」「用药参考」「医学文献王」「医知源」「e研通」「e脉播」等系列产品,全面满足医学工作者临床决策、获取新知及提升科研效率等方面的需求。
本平台旨在为医疗卫生专业人士传递更多医学信息。本平台发布的内容,不能以任何方式取代专业的医疗指导,也不应被视为诊疗建议。如该等信息被用于了解医学信息以外的目的,本平台不承担相关责任。本平台对发布的内容,并不代表同意其描述和观点。若涉及版权问题,烦请权利人与我们联系,我们将尽快处理。