神经系统磁共振检查到底有哪些序列?都在这里
better3624楼主
2017-08-30 14:47

 

作为神经系统最主要的检查技术,磁共振已经被广泛应用于临床,为大家汇总一下常用的神经系统磁共振检查序列及最新进展。欢迎各位补充

 

1.TIWI、T2WI

作为磁共振检查最基础的序列,T1WI、T2WI不可缺少。上学的时候我们就说:T1看解剖,T2看病变。到底什么意思呢?我们看下面这两幅图

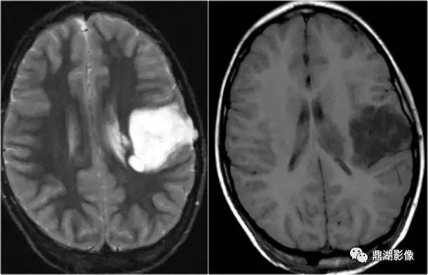
http://webres.medlive.cn/upload/000/402/585

右侧T1WI:图像的整体感官跟“临床图像”的“习惯配色风格”非常接近,你看白质是白的,灰质是灰的,脑脊液是黑的。

左侧T2WI:我想不用说了吧,不会看磁共振的人都知道,这白白亮亮的是病变。

需要指出的是通过片子上TR、TE可用于鉴别T1与T2,给大家一个表。

http://webres.medlive.cn/upload/000/402/586

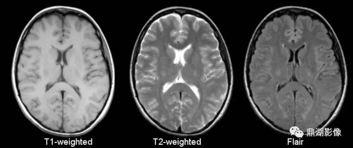
2.Flair序列(黑水序列)

FLAIR是fluid attenuated inversion recovery的英文缩写,在脑、脊髓MRI(核磁共振)中常用。在T2WI中可抑制脑脊液的高信号,使邻近脑脊液、具有高信号(长T2)的病变得以显示清楚。FLAIR序列属于反转恢复序列(inversion recovery,IR),IR序列是属于获得MRI图像的技术中的序列技术。

http://webres.medlive.cn/upload/000/402/587

T2 FLAIR可以区分游离水与结合水:

 

在T2 FLAIR序列,游离水呈低信号,如:

  • 蛛网膜囊肿

  • VR间隙

  • 脑组织梗死后形成的软化灶

而结合水呈高信号,如:

  • 含蛋白质的液体或囊肿

  • 黏液性囊肿

  • 出血性囊肿

  • 胆脂瘤

  • 蛛网膜下腔出血

  • 实性病变

T2 FLAIR能更清楚显示在常规T2WI被脑脊液高信号掩盖的病变,尤其在脑室周围、脑表面、蛛网膜下腔区域,提高诊断的敏感性。


目前FLAIR+C开始应用于临床,弥补了传统T2加权不能使用钆剂增强扫描。其优势是:

  • 消除脑表面血管影的干扰

  • 对细小病灶检出率高

  • 对细微颅脑外伤具有高敏感性


3.DWI

DWI与传统的MR技术不同,它主要依赖水分子的运动而不依赖自旋质子密度、T1或T2,提供了一种新的影像对比。扩散现象反映水分子的随机运动,即布朗运动。DWI中组织的信号对比是基于水分子的布朗运动,只与每个体素内组织的扩散特性有关。组织内水分子的扩散受很多因素的影响,如细胞结构、组织的生化特性,这些因素将改变扩散的距离和方向。MRI使用对扩散的路径和方向敏感的梯度场来显示人体内水分子的扩散情况。水在组织内的扩散称为表观弥散,扩散率称为表观弥散系数(apparentdiffusioncoefficient,ADC)。DWI就是利用成像平面内水分子的扩散系数的变化来产生图像对比的。DWI和ADC图的信号强度还取决于扩散梯度的方向。水分子在不同空间方向上的弥散差异称为扩散的各向异性(anisotropy)

http://webres.medlive.cn/upload/000/402/588

早期脑梗死的诊断以及治疗过程的监测:DWI对脑缺血的早期改变非常敏感,较常规T2WI能更早地发现病变。

写到这里想起原来发过的一篇文章:纠正 | DWI高信号可不一定代表脑梗死

DWI用于脑梗的分期、肿瘤良恶性的鉴别、肿瘤复发的评估、放化疗疗效评估等等用途非常多。临床应用写一本书应该也不是问题。

目前科研主要在于多b值弥散加权:多b值弥散加权成像的双指数分析;多b值弥散加权成像的拉伸指数分析......体素内不相干运动IVIM的相关研究已经是各个学术会议的常客。


4.DTI

弥散张量成像(DTI),是弥散成像的高级形式, 可以定量地评价脑白质的各向异性在此成像方式中, 不只用单一的梯度脉冲, 而至少需要施加 6个非共线方向弥散敏感梯度。DTI可以提供精细的组织微结构细节,清晰地显示白质纤维的传导,术前反映白质纤维束的变形、移位、浸润及占位征象等及其与邻近病变的解剖关系。

http://webres.medlive.cn/upload/000/402/590

当然不要以为DTI就是看这些花花绿绿的纤维束,重点还是数据数据数据

这个也就不多说了,深入讲也非常难。


5.DKI

弥散峰度成像,主要用于科研,借用冯晓源校长几张图,让大家认识一下DKI。

http://webres.medlive.cn/upload/000/402/591

http://webres.medlive.cn/upload/000/402/592

http://webres.medlive.cn/upload/000/402/593

 

6.PWI

 

灌注加权成像(PWI)可提供常规MRI和MRA所不能提供的血流动力学方面的信息,它是利用快速扫描技术,通过静脉内团注对比剂,在短时间内改变组织的磁化率,从而改变磁共振信号的强弱来评价脑组织的血流动力学变化。

http://webres.medlive.cn/upload/000/402/594

 

它可以敏感地显示脑缺血造成的信号下降。还可以从原始图像重建出相对脑血流量(rCBF)、相对脑血容积(rCBV)、平均通过时间(MTT)等反映血流动力学状态的图像。对脑肿瘤进行脑灌注研究在诊断、治疗方案制定及预后评估方面都有重要价值。目前有研究发现PWI尤其是相对脑血容积(rCBV)对鉴别肿瘤复发或放射性损伤,叫DWI、MRS根据诊断价值。

未完-------------------------------

预知下文详情,点击  神经系统磁共振检查到底有哪些序列?都在这里(2)

打开医脉通app阅读全文,体验更佳
确认
全部回复(1)
seven峰
3楼
better3624
  作为神经系统最主要的检查技术,磁共振已经被广泛应用于临床,为大家汇总一下常用的神经系统磁共振检查序列及最新进展。欢迎各位补充   1.TIWI、T2WI 作为磁共振检查最基础的序列,T1WI、T2WI不可缺少。上学的时候我们就说:T1看解剖,T2看病变。到底什么意思呢?我们看下面这两幅图 [图片] 右侧T1WI:图像的整体感官跟“临床图像”的“习惯配色风格”非常接近,你看白质是白的,灰质是灰的,脑脊液是黑的。 左侧T2WI:我想不...
2017-08-30
内科
心血管内科 神经内科 消化科 肝病科 内分泌科 肿瘤科 血液科 精神科 呼吸科 肾内科 风湿免疫科 感染科
外科
普通外科 神经外科 胸心外科 泌尿外科 骨科 整形外科
其他
麻醉科 妇产科 儿科 眼科 耳鼻咽喉科 口腔科 皮肤性病科 急诊/重症 影像科 检验科
打开APP,参与评论互动