心脏ECT的适应症及图像分析(有图片)
圣手楼主
2011-06-13 11:05

(一)适应症:
1 .冠心病心肌缺血的早期诊断,冠状动脉危险度分级,心肌细胞活性的评估。
2 .急性缺血综合征的评价:心肌顿抑与心肌梗死后救活心肌的估价。
3 .心肌缺血治疗(如冠脉搭桥术,血管成形术及溶栓治疗)效果的评价。
4 .心肌病和心肌炎的辅助诊断,室壁瘤及大动脉瘤的诊断,先天性心脏病的诊断及其分流的定量,上腔静脉阻塞综合症的诊断。
(二)核心脏病学的主要方面:1.心肌灌注显像评价冠状动脉的灌 注与负荷试验相结合评价缺血心脏病、负荷显像能反映冠状动脉狭窄的血流动力学和功能意义2.门控显像估计心室的泵功能3.诊断和评价心梗

方式1. 心肌灌注显像
心肌灌注显像原理:
(1)静息心肌灌注显像:利用正常或有功能的心肌细胞能选择性地摄取碱性离子或核素标记化合物,使正常或有功能的心肌显像而坏死的心肌以及缺血心肌则不显像(缺损)或影像变淡(稀疏)从而达到诊断心肌疾病和了解心肌供血情况的目的,准确反映心肌局部的血流情况及心肌细胞存活与活性
(2)负荷心肌灌注显像:通过运动或注射冠状动脉扩张剂,使正常的冠状动脉明显扩张,血流量增加3~5倍,而冠状动脉狭窄区扩张程度较轻,不能增加相应的血流量,使病变区与正常区的反射线分布差异增大,有利于显示病灶和鉴别缺血病变是可逆性还是不可逆性,提高诊断心肌缺血的敏感性和特异性。
(3)门控心肌显像:以心电图R波作为门控信号,每个心动周期采集8帧,每个投影面采集40秒,共采集30~32个投影面。采集结束,应用专用软件处理和重建,获得心肌收缩及舒张期的心肌断层像,据此获得心室收缩功能指标---EF(左室射血分数)、ESV(左室收缩末期容积)、EDV(左室舒张末期容积)、SV(左室每搏容量)、左室容积曲线。
(4)心肌活性检测 延迟显像或利用药物增加病变区血流量,使存活心肌蓄积和保留显像剂而显像。心肌细胞的损害分三种情况---坏死心肌、冬眠心肌、顿抑心肌;区别坏死后的疤痕组织与可抢救的存活心肌是临床上很重要的课题。常规的运动/静息心肌显像明显低估了心肌细胞的活性。PET心肌葡萄糖代谢显像是目前心肌活性检测最准确的方法,但费用昂贵,难以广泛使用;而应用SPECT心肌血流灌注显像改良法判断心肌细胞活性,相对简单,易于推广。

方式2:亲心肌梗死显像
原理:急性梗死的心肌组织能选择性地浓聚某些放射性药物而显像,而正常心肌和陈旧性梗死的心肌不显影,从而达到诊断急性心肌梗死的目的。

打开医脉通app阅读全文,体验更佳
确认
全部回复(3)
圣手
2楼

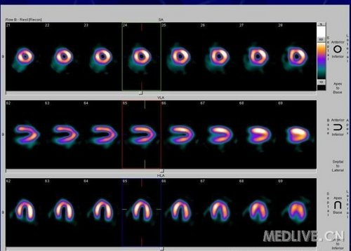
图象分析:1.心肌灌注显像:主要显示左室壁
1)心脏断层图象分 短轴(垂直心尖)、水平长轴(平行于膈面)、垂直长轴(平行于室间隔)。短轴呈环形,可较完整地显示左室各壁及心尖;长轴类似马蹄形,水平长轴显示侧壁、间壁、心尖;垂直长轴显示前壁、下壁、后壁、心尖。
2)供血:前壁、前间壁、及部分心尖的供血来自左前降支,侧壁来自左回旋支,下壁、后壁来自右冠状动脉,后间壁来自后降支冠状动脉,85%为右冠状动脉的分支,15%为左回旋支的分支。
3)正常图象:除心尖和左心室基底部显像剂分布稍稀疏外,其余各壁分布均匀,边缘整齐。

http://webres.medlive.cn/upload/000/024/380

异常分析:
(1)异常诊断原则:确定一个真正的异常分布必须是灌注缺损至少在三个连续的层面见到。
(2)伪影:最常见的是乳房组织的对前壁的衰减及膈肌对后下壁的衰减;长期高血压并伴有左心室肥厚的患者,负荷显像常见间壁放射性增高,使侧壁呈固定的相对减少的假象。

http://webres.medlive.cn/upload/000/024/381

 

2011-06-13
圣手
3楼

 

 

靶心图分析:
a将短轴断层影像以极坐标展开成二维图像,中心为心尖,外周为基底,上为前壁,下为下壁和后壁,左侧为前、后间壁,右侧为前、后侧壁。
b可将相对技术值与建立的正常参考值相比较,将低于正常下限的区域用黑色表示,称为变黑靶心图。
c负荷靶心图与静息或再分布靶心图同时显示在一个画面上进行比较并进行相减处理,得到相减靶心图。治疗前后的相减靶心图可观察治疗后血流改善的情况,若治疗前后的相减靶心图为空白,则说明无血流改善。

http://webres.medlive.cn/upload/000/024/382

门控心功能显像:(1)心室功能参数:a 正常情况下,静息与负荷时功能指标有明显差别。B静息时,左心室的总体和局部EF均>50%,否则为减低。C负荷后EF应比静息时增加5%以上,若无明显增加甚至下降则提示心脏储备功能异常;负荷后EDV应相应增加,ESV应相对减少。
2)左心室容积曲线:左心室舒张期分为三个时相,快速舒张充盈期、慢速充盈期、房性收缩。PFR是指快速舒张充盈相的最大斜率,正常值 >2.1EDV/s。

http://webres.medlive.cn/upload/000/024/383

急心肌梗死显像:1)急性心肌梗死的诊断:Tc—PYP显像见心肌区有明显的放射性聚集,即可诊断。其探测的灵敏度取决于梗死后显像的时间。胸痛后4~8小时即可出现阳性,5天内可持续显影,48~72小时阳性率最高,两周左右转为阴性,发病后两周内的阳性率为95%以左右,特异性大于90%。

http://webres.medlive.cn/upload/000/024/391

 

2011-06-13
圣手
4楼

急性心肌梗死的诊断:

http://webres.medlive.cn/upload/000/024/394

http://webres.medlive.cn/upload/000/024/395

 

2011-06-13
内科
心血管内科 神经内科 消化科 肝病科 内分泌科 肿瘤科 血液科 精神科 呼吸科 肾内科 风湿免疫科 感染科
外科
普通外科 神经外科 胸心外科 泌尿外科 骨科 整形外科
其他
麻醉科 妇产科 儿科 眼科 耳鼻咽喉科 口腔科 皮肤性病科 急诊/重症 影像科 检验科
打开APP,参与评论互动