皮肤性病科疾病典型图片“老资料”
0629wp楼主
2011-06-18 09:05

http://group.medlive.cn/webres/upload/000/025/987

 

腹股沟和大腿黑棘皮病

http://group.medlive.cn/webres/upload/000/025/988

 

腋下黑棘皮病 

http://group.medlive.cn/webres/upload/000/025/989

 

面部白癜风 

http://group.medlive.cn/webres/upload/000/025/990

 

手、足、口病,手部皮疹

http://group.medlive.cn/webres/upload/000/025/991

 

手、足、口病 ,足部皮疹 

http://group.medlive.cn/webres/upload/000/025/992

 

寻常型痤疮 

http://group.medlive.cn/webres/upload/000/025/993

 

毛细血管扩张(面部)

http://group.medlive.cn/webres/upload/000/025/995

 

面部单纯疱疹 

http://group.medlive.cn/webres/upload/000/025/996

 

唇部单纯疱疹 

http://group.medlive.cn/webres/upload/000/025/997

 

面部复发性单纯疱疹

http://group.medlive.cn/webres/upload/000/025/999

 

背部带状疱疹

http://group.medlive.cn/webres/upload/000/026/000

 

背部带状疱疹(放大部份)

http://group.medlive.cn/webres/upload/000/026/001

 

腹部带状疱疹 

http://group.medlive.cn/webres/upload/000/026/002

 

面、颈、肩部带状疱疹 

http://group.medlive.cn/webres/upload/000/026/004

 

水痘

http://group.medlive.cn/webres/upload/000/026/005

 

水痘(放大部分) 

http://group.medlive.cn/webres/upload/000/026/006

 

上肢传染性软疣

http://group.medlive.cn/webres/upload/000/026/008

 

腹部传染性软疣

http://group.medlive.cn/webres/upload/000/026/009

 

传染性软疣 HE X10 

http://group.medlive.cn/webres/upload/000/026/010

 

左耳廓寻常疣

http://group.medlive.cn/webres/upload/000/026/011

 

from dxy

打开医脉通app阅读全文,体验更佳
确认
全部回复(49)
0629wp
2楼

眼睑部寻常疣 

http://webres.medlive.cn/upload/000/026/012

 

鼻部寻常疣 

http://webres.medlive.cn/upload/000/026/013

 

手掌部多发疣

http://webres.medlive.cn/upload/000/026/014

 

掌指疣

http://webres.medlive.cn/upload/000/026/016

 

甲缘疣 

http://webres.medlive.cn/upload/000/026/019

 

跖疣

http://webres.medlive.cn/upload/000/026/020

 

跖疣

http://webres.medlive.cn/upload/000/026/022

 

面部扁平疣

http://webres.medlive.cn/upload/000/026/025

 

面部泛发性扁平疣

http://webres.medlive.cn/upload/000/026/026

 

面、颈、胸部泛发性扁平疣 

http://webres.medlive.cn/upload/000/026/027

 

扁平疣(表皮上部空泡细胞) HE X20 

http://webres.medlive.cn/upload/000/026/029

 

手部疣状表皮发育不良

http://webres.medlive.cn/upload/000/026/030

 

手指部疣状表皮发育不良(放大图像) 

http://webres.medlive.cn/upload/000/026/031

 

面部麻疹 

http://webres.medlive.cn/upload/000/026/032

 

腹部麻疹

http://webres.medlive.cn/upload/000/026/033

 

下肢麻疹疫苗接种反应

http://webres.medlive.cn/upload/000/026/034

 

颌面部脓疱疮

http://webres.medlive.cn/upload/000/026/035

 

面部脓疱疮 

http://webres.medlive.cn/upload/000/026/038

 


2011-06-18
0629wp
3楼

面、手部深脓疱疮

http://webres.medlive.cn/upload/000/026/041

 

小腿丹毒 

http://webres.medlive.cn/upload/000/026/042

 

下肢疖 

http://webres.medlive.cn/upload/000/026/043

 

面部毛囊炎

http://webres.medlive.cn/upload/000/026/044

 

颈部毛囊炎

http://webres.medlive.cn/upload/000/026/047

 

口周须疮

http://webres.medlive.cn/upload/000/026/048

 

颌面部须疮

http://webres.medlive.cn/upload/000/026/050

 

下肢蜂窝织炎

http://webres.medlive.cn/upload/000/026/051

 

头部穿掘性毛囊周围炎

http://webres.medlive.cn/upload/000/026/052

 

头部穿掘性毛囊周围炎

http://webres.medlive.cn/upload/000/026/054

 

耳、面部寻常狼疮

http://webres.medlive.cn/upload/000/026/055

 

颈部寻常狼疮

http://webres.medlive.cn/upload/000/026/056

 

额头部疣状皮肤结核 

http://webres.medlive.cn/upload/000/026/057

 

疣状皮肤结核表皮增生 

http://webres.medlive.cn/upload/000/026/058

 

颜面部粟粒性狼疮

http://webres.medlive.cn/upload/000/026/061

 

颜面部粟粒性狼疮 

http://webres.medlive.cn/upload/000/026/064

 

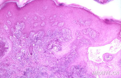
粟粒性狼疮结核样结节 HE X4 

http://webres.medlive.cn/upload/000/026/068

 

小腿硬红斑

http://webres.medlive.cn/upload/000/026/070

 

下肢硬红斑 

http://webres.medlive.cn/upload/000/026/071

 

面部麻风(瘤型-脱发) 

http://webres.medlive.cn/upload/000/026/073

 

面部麻风(瘤型-兔眼)

http://webres.medlive.cn/upload/000/026/075

 

面部麻风(瘤型-狮面) 

http://webres.medlive.cn/upload/000/026/078

 

面部麻风(瘤型-鞍鼻) 

http://webres.medlive.cn/upload/000/026/080

 

瘤型-左侧颈部耳大神经粗大 

http://webres.medlive.cn/upload/000/026/082

 

瘤型-右侧颈部耳大神经粗大 

http://webres.medlive.cn/upload/000/026/083

 

头、面部麻风-瘤型

http://webres.medlive.cn/upload/000/026/084

 


2011-06-18
0629wp
4楼

足部麻风-瘤型

http://group.medlive.cn/webres/upload/000/026/087

 

手部麻风-瘤型

http://group.medlive.cn/webres/upload/000/026/088

 

麻风-瘤型、脚趾

http://group.medlive.cn/webres/upload/000/026/089

麻风-瘤型、脚跖部潰疡 

http://group.medlive.cn/webres/upload/000/026/093

 

下肢麻风(结核样型)

http://group.medlive.cn/webres/upload/000/026/096

 

背部麻风(结核样型) 

http://group.medlive.cn/webres/upload/000/026/097

 

足部麻风-腓浅神经粗大

http://group.medlive.cn/webres/upload/000/026/098

 

足部麻风-腓浅神经损害引起足下垂

http://group.medlive.cn/webres/upload/000/026/101

 

足部麻风-足部神经损害 

http://group.medlive.cn/webres/upload/000/026/102

 

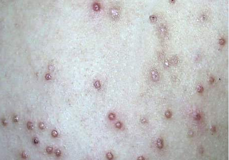
腰背部麻风(瘤型结节)

http://group.medlive.cn/webres/upload/000/026/105

 

小腿部麻风(瘤型结节)

http://group.medlive.cn/webres/upload/000/026/108

 

手部麻风(瘤型结节)

http://group.medlive.cn/webres/upload/000/026/109

 

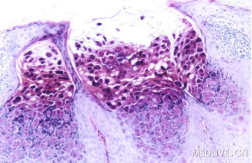
结核样麻风H.E X10 

http://group.medlive.cn/webres/upload/000/026/111

 

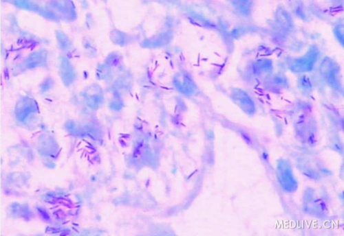
麻风杆菌(抗酸阳性 X10) 

http://group.medlive.cn/webres/upload/000/026/112

 

麻风杆菌(抗酸阳性 X40)

http://group.medlive.cn/webres/upload/000/026/113

 

麻风杆菌(抗酸阳性 X40)

http://group.medlive.cn/webres/upload/000/026/115

 

腋窝-腋毛菌感染

http://group.medlive.cn/webres/upload/000/026/116

 

腋毛菌感染(光镜-毛发表面菌丝)

http://group.medlive.cn/webres/upload/000/026/117

 

腋毛菌感染(电镜-毛发表面菌丝) 

http://group.medlive.cn/webres/upload/000/026/119

 

腋毛菌感染(光镜-杆菌) 

http://group.medlive.cn/webres/upload/000/026/120

 

头顶部白癣 

http://group.medlive.cn/webres/upload/000/026/121

 

头部白癣 

http://group.medlive.cn/webres/upload/000/026/124

 

头顶部脓癣

http://group.medlive.cn/webres/upload/000/026/126

 

手臂体癣 

http://group.medlive.cn/webres/upload/000/026/128

 

肩背部体癣

http://group.medlive.cn/webres/upload/000/026/129

 

面颊部体癣

http://group.medlive.cn/webres/upload/000/026/130

 

大腿中部体癣 

http://group.medlive.cn/webres/upload/000/026/131

 

面颊部体癣-菌丝 X4 

http://group.medlive.cn/webres/upload/000/026/132

 

女性股癣

http://group.medlive.cn/webres/upload/000/026/138

 

男性股癣 

http://group.medlive.cn/webres/upload/000/026/142

 


2011-06-18
0629wp
5楼

股癣-真菌菌菌丝

http://group.medlive.cn/webres/upload/000/026/210

 

足癣 

http://group.medlive.cn/webres/upload/000/026/211

 

足癣(放大后图像)

http://group.medlive.cn/webres/upload/000/026/214

 

浸渍糜烂型足癣 

http://group.medlive.cn/webres/upload/000/026/216

 

浸渍糜烂型足癣(放大后图像)

http://group.medlive.cn/webres/upload/000/026/217

 

角化过度性手癣 

http://group.medlive.cn/webres/upload/000/026/218

 

手癣-角化型

http://group.medlive.cn/webres/upload/000/026/219

 

手癣真菌菌菌丝 

http://group.medlive.cn/webres/upload/000/026/222

 

手癣-鳞屑型(放大图像) 

http://group.medlive.cn/webres/upload/000/026/224

 

手指甲癣

http://group.medlive.cn/webres/upload/000/026/227

 

双足趾甲癣 

http://group.medlive.cn/webres/upload/000/026/228

 

趾、指甲癣灰指甲 

http://group.medlive.cn/webres/upload/000/026/229

 

后背部花斑癣

http://group.medlive.cn/webres/upload/000/026/230

 



2011-06-18
0629wp
6楼

上肢花斑癣 

http://group.medlive.cn/webres/upload/000/026/231

 

侧胸部花斑癣 

http://group.medlive.cn/webres/upload/000/026/232

 

花斑癣菌丝和孢子X10

http://group.medlive.cn/webres/upload/000/026/235

 

前胸部糠秕孢子菌毛囊炎 

http://group.medlive.cn/webres/upload/000/026/238

 

背部糠皮孢子菌毛囊炎 

http://group.medlive.cn/webres/upload/000/026/241

 

前额白色念珠菌肉芽肿

http://group.medlive.cn/webres/upload/000/026/245

 

婴儿外阴念珠菌病

http://group.medlive.cn/webres/upload/000/026/246

 

念珠菌样唇炎 

http://group.medlive.cn/webres/upload/000/026/247

 

头面部念珠菌肉芽肿

http://group.medlive.cn/webres/upload/000/026/248

 

面部孢子丝菌病(固定型)

http://group.medlive.cn/webres/upload/000/026/249

 

下肢孢子丝菌病-淋巴管型 

http://group.medlive.cn/webres/upload/000/026/250

 

下肢孢子丝菌病-淋巴管型(放大照片) 

http://group.medlive.cn/webres/upload/000/026/256

 

上肢着色芽生菌病

http://group.medlive.cn/webres/upload/000/026/258

 


2011-06-18
0629wp
7楼

阴茎背侧硬下疳

http://group.medlive.cn/webres/upload/000/026/262

 

阴茎腹侧硬下疳

http://group.medlive.cn/webres/upload/000/026/264

 

阴茎硬下疳

http://group.medlive.cn/webres/upload/000/026/267

 

女性阴部硬下疳 

http://group.medlive.cn/webres/upload/000/026/268

 

女性外阴 扁平湿疣 

http://group.medlive.cn/webres/upload/000/026/269

 

腋下多个扁平湿疣

http://group.medlive.cn/webres/upload/000/026/270

 

腋下扁平湿疣 

http://group.medlive.cn/webres/upload/000/026/272

 

腹部斑疹性二期梅毒疹

http://group.medlive.cn/webres/upload/000/026/273

 

上肢内侧斑疹性二期梅毒疹 

http://group.medlive.cn/webres/upload/000/026/274

 

上肢内侧斑疹性二期梅毒疹

http://group.medlive.cn/webres/upload/000/026/276

 

手掌二期梅毒疹 

http://group.medlive.cn/webres/upload/000/026/279

 


2011-06-18
隆尧县皮肤科
8楼

不错,收益匪浅

2012-03-21
fuwu
9楼

2012-04-05
zswangfen
10楼

不错,很全面

2012-05-13
内科
心血管内科 神经内科 消化科 肝病科 内分泌科 肿瘤科 血液科 精神科 呼吸科 肾内科 风湿免疫科 感染科
外科
普通外科 神经外科 胸心外科 泌尿外科 骨科 整形外科
其他
麻醉科 妇产科 儿科 眼科 耳鼻咽喉科 口腔科 皮肤性病科 急诊/重症 影像科 检验科
打开APP,参与评论互动