【病例讨论】脑干梗塞并脑膜瘤,手术时机的选择
可乐雪碧楼主
2011-06-22 09:52

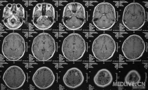
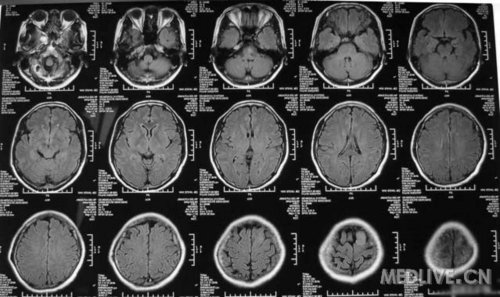
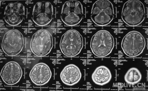
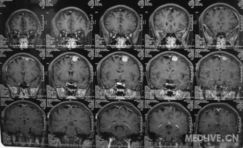
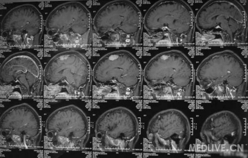
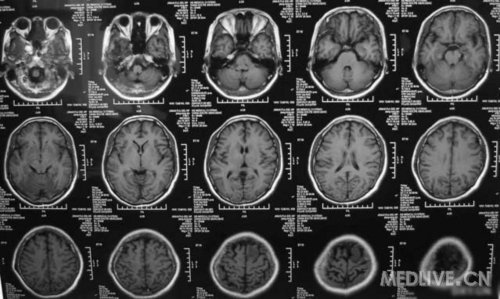
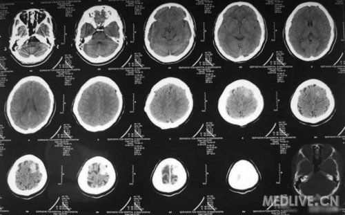
患者女,56岁,因右侧肢体活动不利2天于2011-06-15入院。查体:神志清,精神可,右侧肢体肌力4级,余无阳性体征。CT示左额叶占位,脑膜瘤可能性大。MRI示左额镰旁脑膜瘤,脑干左半亚急性梗塞。给予活血、神经营养、对症治疗,现一般情况好。请高手指点,何时手术切除脑膜瘤好啊?

http://webres.medlive.cn/upload/000/027/323

http://webres.medlive.cn/upload/000/027/324

http://webres.medlive.cn/upload/000/027/325

http://webres.medlive.cn/upload/000/027/327

http://webres.medlive.cn/upload/000/027/329

http://webres.medlive.cn/upload/000/027/357

http://webres.medlive.cn/upload/000/027/359

from:dxy

打开医脉通app阅读全文,体验更佳
确认
内科
心血管内科 神经内科 消化科 肝病科 内分泌科 肿瘤科 血液科 精神科 呼吸科 肾内科 风湿免疫科 感染科
外科
普通外科 神经外科 胸心外科 泌尿外科 骨科 整形外科
其他
麻醉科 妇产科 儿科 眼科 耳鼻咽喉科 口腔科 皮肤性病科 急诊/重症 影像科 检验科
打开APP,参与评论互动