【病例讨论】反复发热3月余,两肺多发病灶
HomeSlice楼主
2011-06-24 14:10

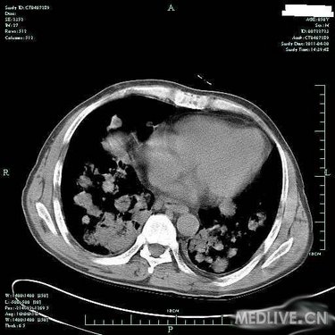
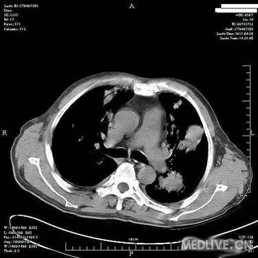
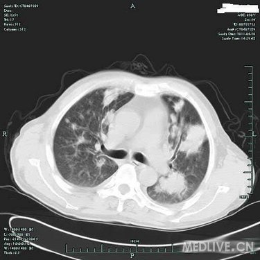
病史特点:患者于3月余前受凉后出现发热,体温为39.0摄氏度左右,伴咳嗽,为阵发性咳嗽,有咳痰,色白,有咽痛,无鼻塞及流涕,至当地诊所输液(具体不详)治疗后,效果不明显。于80天前入住当地医院,住院期间查胸部CT提示:双肺弥漫性结节影,纤支镜:双叶段粘膜轻度充血、水肿,痰找脱落细胞阴性,行左下肺经皮肺穿刺针吸细胞学未见异形细胞,曾予哌拉西林/他唑巴坦针、利福平、氟康唑针等治疗后,仍有反复发热,体温高达39.0摄氏度左右,发热时有气促感,无胸痛、头痛及心悸感。于2月余前至我院住院,CRP41.80mg/L,肺CT增强:两肺多发病灶,肿瘤不能排除,建议穿刺活检;气管镜检查:两侧支气管均通畅,未见新生物,气管镜刷片、肺泡灌洗液均未见肿瘤细胞;进一步行肺穿,肺穿刺涂片找到坏死组织,涂片未见肿瘤细胞,穿刺病理:(右)肺组织慢性炎伴坏死及淋巴组织增生;骨髓活检:造血细胞增生活跃伴散在T细胞浸润。予以出院带药HRE诊断性抗结核+SMZco治疗,患者用药不规则,仍有反复发热,最高达40摄氏度,伴畏寒,予退热药处理后热退,伴少量咳嗽及呕吐,无明显咳痰,复查肺部CT病灶对比前片增多、增大,为进一步诊治收住入院。

入院查体:
T 37.2℃,R 20次/分,P 82次/分,BP 114/79mmHg,神清,精神偏软,浅表淋巴结未及肿大,双肺呼吸音粗,未及明显干湿啰音,心律齐,瓣膜区未闻及病理性杂音,腹平软,无压痛及反跳痛,肝脾肋下未及,双下肢无浮肿,右上肢肌力IV级,握力差。

血常规(五分类)(病房):白细胞计数3.8×10E9/L,中性粒细胞(%) 84.8%,淋巴细胞(%) 4.7%,血红蛋白106g/L,血小板计数279×10E9/L。
血生化:总蛋白50.3g/L,白蛋白27.4g/L,球蛋白22.9g/L,白球蛋白比例1.2。 ANCA,MPO,PR3等检查未见明显异常。 癌胚抗原7.8ng/mL,神经元特异性烯醇化酶44.0。

腰穿: 脑脊液 外观无色,清晰度清晰,潘氏试验-,红细胞56,白细胞4,脑脊液隐球菌未找到。

氯124mmol/L,葡萄糖(脑脊液) 3.45,蛋白(脑脊液)0.39g/l。

http://webres.medlive.cn/upload/000/028/195

http://webres.medlive.cn/upload/000/028/196

http://webres.medlive.cn/upload/000/028/197

http://webres.medlive.cn/upload/000/028/198

 

from:dxy

打开医脉通app阅读全文,体验更佳
确认
内科
心血管内科 神经内科 消化科 肝病科 内分泌科 肿瘤科 血液科 精神科 呼吸科 肾内科 风湿免疫科 感染科
外科
普通外科 神经外科 胸心外科 泌尿外科 骨科 整形外科
其他
麻醉科 妇产科 儿科 眼科 耳鼻咽喉科 口腔科 皮肤性病科 急诊/重症 影像科 检验科
打开APP,参与评论互动