【病例讨论】美容美出脑栓塞?
开往明天楼主
2011-06-26 15:00

爱美无罪,可美容时突然脑栓塞,如何解释?
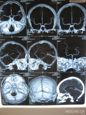
病史特点:22岁年轻女性,以“头痛伴右眼视力下降,左侧肢体活动不灵2天”为主诉入院,2天前在美容院行额头填充物--玻尿酸取出手术时突然起病,自觉全身发热不适,呼吸急促,并出现抽搐发作:双眼向右侧凝视,双上肢屈曲,右腿伸直,左腿屈曲,呼之不应,无尿失禁及舌咬伤,5-6分钟缓解。抽搐后1小时患者开始出现右眼视物不清,右侧后枕部严重疼痛伴恶心呕吐,且左侧肢体麻木,急送医院,行头CT无异常,但出现左侧肢体不能活动,且频繁呕吐,转我院就诊,行头MRI+DWI检查提示:右侧大脑半球,侧脑室旁,半卵圆中心及左侧额叶皮呈及皮呈下多发长T2信号,DWI高信号。
既往:患者2年轻为去除抬头纹行玻尿酸皮下注射,且患者右侧眉弓处有指甲大小粉瘤,发病当天在美容院受用力挤压。

查体:T36.5℃,P78次/分,BP100/80mmHg,神清,言语流利,双瞳孔不等大,左侧3.0mm,光反应正常,右侧4.0mm,光反应消失,右眼盲,右侧球结膜充血水肿,右眼内收欠充分,左眼球运动正常,无眼震。双侧额纹对称,左侧鼻唇沟浅,左上肢肌力0级,下肢3级,右侧正常,左侧腱反射稍活跃,病理征未引出。

检查:头MRI+DWI:描述如上,急性脑栓塞?
头CTA:左侧大脑中动脉M2以远分支叫对侧稍稀疏。
眼部超声:双眼玻璃体内散在点条状回声,右侧视网膜回声不良并累及视盘,视乳头外侧视网膜局限性隆起。
心脏超声:心内结构及血流未见异常。
颈动脉及脑彩超:未见异常。
心电图:无异常
化验:血常规,生化,凝血,肝炎梅毒HIV等无明显异常。D二聚体:0.46ug/ml. 风湿指标:抗心磷脂抗体IgA+,IgM+,IgG-.ANCA(-),CTDII,III(-),CRP:5.88mg/L.
下面是患者的头MRI检查图像,请各位战友讨论下本病例,挤压右眼眉处粉瘤及玻尿酸取出术与患者发病有无关系,若有是怎样的机制?若无,本次发病病因何在?

 

DWI像

 

http://webres.medlive.cn/upload/000/028/858

 

http://webres.medlive.cn/upload/000/028/859

http://webres.medlive.cn/upload/000/028/860

http://webres.medlive.cn/upload/000/028/861

http://webres.medlive.cn/upload/000/028/862

 

from:dxy

打开医脉通app阅读全文,体验更佳
确认
全部回复(1)
开往明天
2楼
病例特点:青年女性,发病时有癫痫发作,其后出现左侧肢体运动障碍,并右眼视力下降。脑MR可见颅内广泛病变,以左侧脑白质为主。

考虑:1.颅内感染:患者有手术及异物植入史,要考虑本病可能。

2.中枢性血管炎:患者有美容手术史,且有异物植入头颅皮下,CTA可见远端血管稀疏,考虑本病可能。

3.线粒体脑疾病:前段时间碰到一例,和楼主所提供病例相似,先是癫痫反复发作,伴有高热,其后出现单侧肢体运动障碍,脑磁共振可见广泛脑白质改变。

4.其他。

患者诊断脑梗塞个人认为不太像,病变部位不符合血管分布,且是青年女性,无明显危险因素。

菜鸟初试,请大家指正。



2011-06-26
内科
心血管内科 神经内科 消化科 肝病科 内分泌科 肿瘤科 血液科 精神科 呼吸科 肾内科 风湿免疫科 感染科
外科
普通外科 神经外科 胸心外科 泌尿外科 骨科 整形外科
其他
麻醉科 妇产科 儿科 眼科 耳鼻咽喉科 口腔科 皮肤性病科 急诊/重症 影像科 检验科
打开APP,参与评论互动