这个椎管肿瘤采用什么手术入路
可乐雪碧楼主
2011-07-03 10:03

串者因腰椎间盘突出入院治疗,但询问病史查体时发现患者近1月来出现右腹股沟处麻木,局部感觉减退。做MRI等检查发现L1、2处椎管肿瘤。准备行手术治疗,但患者经济困难。各位专家指点一下选什么手术入路对脊柱稳定性影响比较小,尽量不上内固守。

http://webres.medlive.cn/upload/000/030/211

 

X光片

http://webres.medlive.cn/upload/000/030/212

 

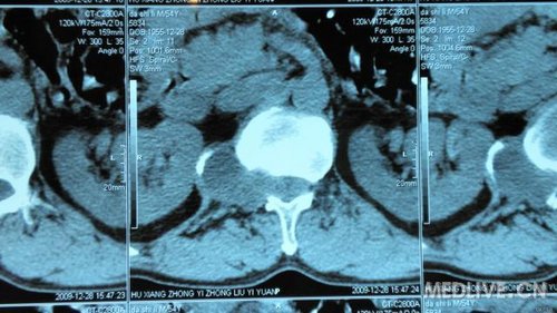
还有CT片

http://webres.medlive.cn/upload/000/030/214

 

还有CT片

http://webres.medlive.cn/upload/000/030/216

 

还有MRI片

http://webres.medlive.cn/upload/000/030/217

 

还有MRI片.

http://webres.medlive.cn/upload/000/030/218

 

还有MRI片

http://webres.medlive.cn/upload/000/030/219

 

from:dxy

打开医脉通app阅读全文,体验更佳
确认
全部回复(2)
可乐雪碧
2楼

我们采用右旁正中切口入路,术中只切除了右L1椎板下缘、L2椎板上缘及L12间黄韧带,显露肿瘤椎管内部分,然后切除部分右L1下关节突及L2上关节 突,切除右L2横突,即完全显露肿瘤椎管外部分,肿瘤来自L1右侧神经根,无法剥离,只好将右L1神经根一并切除了,最后将肿瘤完整切除。术中见,肿瘤包 膜完整,与肾包膜有粘连,右L1、L2椎弓根基本完整,无明显破坏。原考虑上内固定,后因考虑到手术对椎体骨质切除较少,椎弓根完整,最后未上内固定。本 次手术显露完全,且对椎体骨质切除最少,对椎体的稳定性影响最小。
呵呵,如此入路和方式肯定拍砖的很多,欢迎大家指正。

2011-07-03
可乐雪碧
3楼

术前拟定的手术切口

http://webres.medlive.cn/upload/000/030/220

 

术中照片

http://webres.medlive.cn/upload/000/030/221

 

切下的肿瘤

http://webres.medlive.cn/upload/000/030/222

 

 

2011-07-03
内科
心血管内科 神经内科 消化科 肝病科 内分泌科 肿瘤科 血液科 精神科 呼吸科 肾内科 风湿免疫科 感染科
外科
普通外科 神经外科 胸心外科 泌尿外科 骨科 整形外科
其他
麻醉科 妇产科 儿科 眼科 耳鼻咽喉科 口腔科 皮肤性病科 急诊/重症 影像科 检验科
打开APP,参与评论互动