颈部疼痛并四肢无力、行走不稳60天,加重4天。
可乐雪碧楼主
2011-07-03 10:20

基本信息:患者,男性,48岁,已婚,个体工作者。
主 诉:颈部疼痛并四肢无力、行走不稳60天,加重4天。
现 病 史:60天前,无明显诱因出现颈部疼痛、不适,伴四肢麻木无力,右手较左手为重,上肢较下肢为重,未行特殊治疗,现来我院就诊。
既往史、个人史及家族史:无特殊发现。

体格检查:
T:36.6℃ P:76次/分 R:19次/分 Bp:135/85mmHg
系统查体:无特殊发现(略)。
骨 科查体: 颈椎反曲畸形,C3-C5棘间压痛,活动受限,双上肢肌肉无明显萎缩,双上肢肱二、三头肌力Ⅴ级,右手握力Ⅳ级,左上肢肌力Ⅴ级,右侧桡骨膜反射 (+++),双前臂尺侧及双手尺侧皮肤针刺觉减退,右侧较左侧明显。双下肢肌肉无明显萎缩,双下肢肌力Ⅴ级,左小腿外侧及足背皮肤感觉较右侧减退,会阴区 皮肤感觉无减退,肛周反射、提睾反射存在,双直腿抬高试验(—),双侧股神经牵拉试验(—),双膝、踝反射(++),右侧踝阵挛(+),双侧霍夫曼征 (+)。
实验室检查
血常规、尿常规、肝肾功、凝血机制常规、术前免疫学检查未见明显异常。
辅助检查跟帖(注:腰椎MRI未见明显异常)

请会诊:诊断及治疗方案,是否可行C3-4颈椎间盘置换。

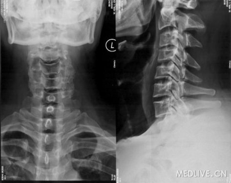
颈椎正侧位片

http://webres.medlive.cn/upload/000/030/227

 

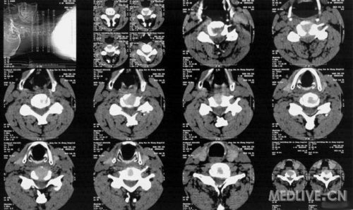
颈椎CT

http://webres.medlive.cn/upload/000/030/228

 

颈椎MRI

http://webres.medlive.cn/upload/000/030/229

 

from:dxy

打开医脉通app阅读全文,体验更佳
确认
全部回复(1)
可乐雪碧
2楼

诊断:脊髓型颈椎病
MRI提示:T2WI C2-7椎间盘信号减低,颈椎退行性改变。颈椎3/4椎间盘突出为重,局部高信号,脊髓前间隙变窄。
X线提示:颈椎后凸改变,颈椎3/4椎间隙变窄。
CT:未见后纵韧带骨化。
治疗:鉴于临床表现及影像学表现,建议手术治疗。
手术方案:前路颈3/4椎间盘置换术或颈3椎体次全切除,钛网植骨钛板内固定术。
但不建议后路单开门椎管扩大手术,因为压迫主要来自前方,且存在颈椎反曲改变。如行单开门椎管扩大手术,有加重后凸畸形改变的可能,术后也会有出现轴性症状的可能。一部分患者会对手术的治疗效果不予接受和认同。

2011-07-03
内科
心血管内科 神经内科 消化科 肝病科 内分泌科 肿瘤科 血液科 精神科 呼吸科 肾内科 风湿免疫科 感染科
外科
普通外科 神经外科 胸心外科 泌尿外科 骨科 整形外科
其他
麻醉科 妇产科 儿科 眼科 耳鼻咽喉科 口腔科 皮肤性病科 急诊/重症 影像科 检验科
打开APP,参与评论互动