细胞变性后的百态(很美!)
小丽楼主
2011-09-20 16:53

导语:变性(degeneration)系指细胞或间质内出现异常物质或正常物质的量显著增多,并伴有不同程度的功能障碍。细胞变性后呈现出的形态着实很美!请欣赏!

1、水变性又称细胞水肿

光镜下水样变性的细胞体积增大, 因胞浆内水分含量增多,变得透明、淡染,甚至出现空泡,可称为空泡变性,严重时胞核也可淡染,整个细胞膨大如气球,称气球样变性。常见于心、肝、肾等实质性器官。
           http://webres.medlive.cn/upload/000/044/037

     图1  急性肝炎:肝细胞肿胀,包浆透亮,呈气球样外观

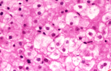
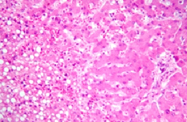
2、肝脂肪变性

肝脏的脂肪变性与肝脏的脂肪代谢紊乱有关。肝脏的脂肪代谢过程中的任何一个环节发生障碍,均可造成肝细胞的脂肪变性:①脂蛋白的合成发生障碍:②中性脂肪合成过多③脂肪酸氧化障碍。

          http://webres.medlive.cn/upload/000/044/042

                           图2  肝脂肪变性

      3、结缔组织玻璃样变性

     玻璃样变性(hyaline degeneration)又称透明变性,系指在细胞内或间质中,出现均质、半透明的玻璃样物质,在HE染色切片中呈均质性红染。它可以发生在结缔组织、血管壁,有时也可见于细胞内。

             http://webres.medlive.cn/upload/000/044/048

                     图3 结缔组织玻璃样变性:呈伊红宽带状结构

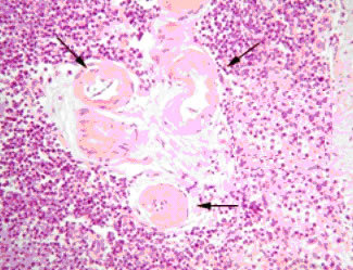
      4、血管壁的玻璃样变性

       多发生于高血压病时的肾、脑、脾及视网膜的细小动脉。高血压病时,全身细小动脉持续痉挛,导致血管内膜缺血受损,通透性增高,血浆蛋白渗入内膜下,在内皮细胞下凝固,呈均匀、嗜伊红无结构的物质。使细小动脉管壁增厚、变硬,管腔狭窄、甚至闭塞,血流阻力增加,使血压升高,此即细动脉硬化症(arteriolosclerosis),可引起心、肾和脑的缺血。

              http://webres.medlive.cn/upload/000/044/054

                 图4 脾小动脉玻璃样变性:管壁均质红染,官腔狭窄

      5、细胞内玻璃样变性

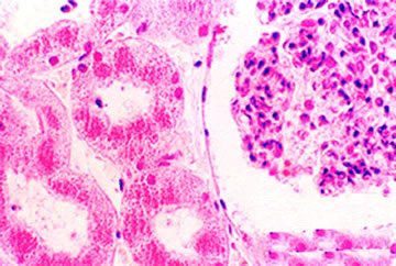
      细胞内玻璃样变性是指细胞内过多的蛋白质引起细胞发生了形态学改变。光镜下,常表现为圆形、嗜伊红的小体或团块。①肾小球肾炎或伴有明显蛋白尿的其他疾病时,肾脏近曲小管上皮细胞胞浆内,可出现大小不等的圆形红染小滴(玻璃小滴)。血浆蛋白经肾小球滤出,又被曲管上皮细胞吞饮并在胞浆内融合成玻璃样小滴。
        

             http://webres.medlive.cn/upload/000/044/055

           图5   肾小管上皮细胞内玻璃样性变

6、淀粉样变性

淀粉样物质是蛋白样物质,由于遇碘时,可被染成棕褐色,再加硫酸后呈蓝色,与淀粉遇碘时的反应相似,故称之为淀粉样变性。淀粉样物质常分布于细胞间或沉积在小血管的基底膜下,或者沿组织的网状纤维支架分布。病变为灰白色,质地较硬,富有弹性,光镜下HE切片中,淀粉样物质呈淡伊红染色、均匀一致、云雾状、无结构的物质。刚果红染色为橘红色,在偏光显微镜下呈黄绿色。电镜下,淀粉样物质为纤细的无分支的丝状纤维构成。

         http://webres.medlive.cn/upload/000/044/058

                      图6、喉息肉:鳞状上皮下嗜伊红物质沉积 

7、 病理性色素

色素(pigments)是机体组织中的有色物质。有些色素是正常组织内存在的,如黑色素;有些色素是疾病状态下出现的,如肺内炭末颗粒沉着,称为病理性色素(pathological pigment)。

            http://webres.medlive.cn/upload/000/044/061

                 图7 皮内痣:真皮内巢状分布的痣细胞,浆内含有黑色素

            http://webres.medlive.cn/upload/000/044/062

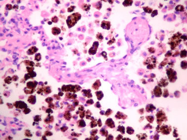
              图8   慢性肺淤血:肺泡腔内吞噬大量含铁血黄素的心衰细胞

 8、病理性钙化

正常机体内,仅在骨和牙齿中含有固体钙盐。如果在骨和牙齿以外的其他组织内有固体钙盐沉积,则称之为病理性钙化(pathologic calcification)。沉积的钙盐主要是磷酸钙,其次为碳酸钙。HE染色切片中,钙盐呈蓝色颗粒状。起初,钙盐颗粒微细,以后可聚集成较大颗粒或团块。

        http://webres.medlive.cn/upload/000/044/064

 

          图9   硅沉着肺:硅结节内见蓝染颗粒状钙盐沉着

打开医脉通app阅读全文,体验更佳
确认
全部回复(2)
ashine87
2楼

很过瘾啊!收藏了。

2011-09-20
xiaoxiaofeng
3楼

好图,很典型!

2011-09-21
内科
心血管内科 神经内科 消化科 肝病科 内分泌科 肿瘤科 血液科 精神科 呼吸科 肾内科 风湿免疫科 感染科
外科
普通外科 神经外科 胸心外科 泌尿外科 骨科 整形外科
其他
麻醉科 妇产科 儿科 眼科 耳鼻咽喉科 口腔科 皮肤性病科 急诊/重症 影像科 检验科
打开APP,参与评论互动