肺炎系列讲解课件(二)肺炎链球菌肺炎
小易楼主
2011-12-23 14:46

      一、病原:

肺炎链球菌(Streptococcus pneumoniae)
     G(+)双球菌 ,呼吸道寄生 
             http://webres.medlive.cn/upload/000/062/235

有多糖体荚膜(86种亚型)
     不产生具有组织破坏作用的细菌毒素
     对大多数抗生素敏感 :肺炎链球菌的培养菌落及涂片

二、病理及病生理: 
     1.病理过程:大叶肺炎,不引起肺泡结构损害
     肺炎链球菌肺炎病理改变:

http://webres.medlive.cn/upload/000/062/236

http://webres.medlive.cn/upload/000/062/238

http://webres.medlive.cn/upload/000/062/239http://webres.medlive.cn/upload/000/062/240

  2.病生理过程:
        实变:V/Q失调-低氧-呼吸困难、紫绀
        感染播散-溶血、败血症-黄疸
        延迟消散及机化---常见于老年人
   

三、临床表现
       1. 症状:
       可有感冒等前趋症状
         发热:多伴寒战,稽留热
         咳嗽、咯痰:干咳、铁锈色痰、也可为粘液性或脓性
         胸膜性胸痛
         腹痛:累及膈胸膜
         消化道症状及神智障碍
       2. 体征
    (1)呼吸困难:
        呼吸过快
        辅助呼吸肌的运动增强(肋间肌、腹肌及胸锁乳突肌)
        鼻翼扇动
    (2)胸部体检:
         患侧呼吸运动弱、呼吸音低、湿罗音
         可有实变体征(现已少见)
         累及胸膜:摩擦音及胸水的体征
    (3)其它体征:
         紫绀:病变广泛
         单纯疱疹
         出血点
         黄疸(败血症) 
       3. 病程:
       5-10天体温骤降或渐降,抗体形成
       使用敏感抗生素,体温1-3天可正常,罗音1周消失

四、辅助检查: 
       1. 血常规:
       外周血WBC:可达2-3万mm3,中性粒细胞可>80%,核左移及中毒颗粒;老年、重症可降低 。
       2. 病原学检查:痰、胸水及血培养及药敏 
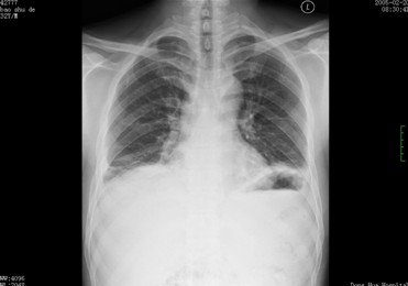
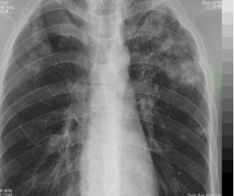
       3. 胸部X线检查(下图):

http://webres.medlive.cn/upload/000/062/241

早期:纹理模糊
     实变:叶或段分布密度均匀的致密影
     完全消散约3周左右

五、诊断和鉴别诊断 
        1. 诊断:
       (1)咳嗽、咳痰、发热、胸痛
       (2)可有肺实变体征、湿性罗音
       (3)WBC升高、中性粒细胞比例增加、核左移
       胸片示斑片状或整叶的浸润影 
       2. 鉴别诊断:
     (1)其他病原微生物引起的肺炎咳嗽/咳痰的性质病原微生物的 检测
胸部X线检查

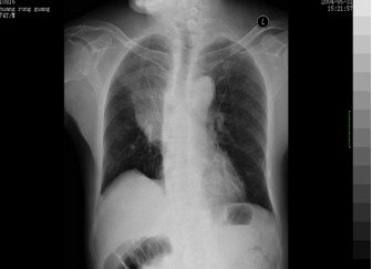
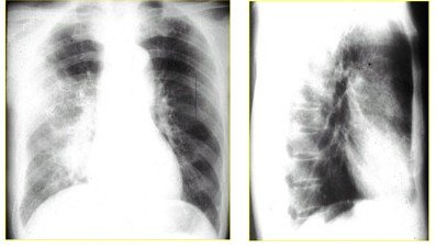
(2)肺结核:结核中毒症,状病程长,痰结核菌可(+) 

http://webres.medlive.cn/upload/000/062/243

     (3)肺脓肿:中毒症状重,大量黄痰,x线阳性

http://webres.medlive.cn/upload/000/062/244

     (4)肺癌:阻塞性肺炎及肺炎型肺癌, 年龄大,吸烟,肺不张,肺门淋巴结肿大痰瘤细胞可(+)

http://webres.medlive.cn/upload/000/062/245

     (5)肺栓塞:有风心、深静脉血栓,胸痛、咯血明显,肺动脉造影及通气/灌注扫描确

     (6)急腹症: 仔细体检及胸片

六、并发症
      1. 胸膜炎
      2. 脓胸:胸水WBC>10,000/mm3(图)

http://webres.medlive.cn/upload/000/062/246

3.呼吸衰竭:病变范围广或发生ARDS,多为I型呼衰 
      实变范围广:V/Q失调-低氧-呼吸困难、紫绀I型呼衰:PaO2<60mmHg , PaO2/FiO2% ≤ 300 (PaO2/FiO2% ≤ 200 ARDS)
      4.血行播散或败血症、感染中毒性休克、  脑膜脑炎、心内膜炎、关节炎、中耳炎
      感染中毒性休克:末梢循环差、紫绀、酸中毒、低血压
      5.心包炎:罕见,大量可造成填塞
      6.心肌炎:心脏增大,心动过速,奔马律,心律失常
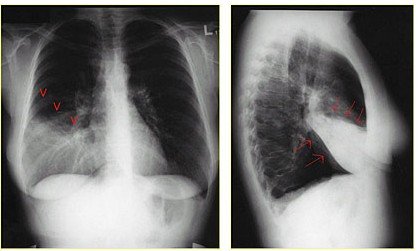
      7.机化性肺炎或延迟消散---老年人
      机化:边缘不整,密度不均,有向外延伸的条索(下图) 
 

http://webres.medlive.cn/upload/000/062/247

     七、治疗 
      1. 对症及支持治疗
      (1)休息
      (2)饮食:水电平衡、营养
      (3)降温:指征:体温超过38.5℃,物理或药物
      (4)镇咳:严重时用,复方甘草片、苯丙哌林、美沙芬、可待因
      (5)化痰:雾化吸入及化痰
      (6)胸膜痛:止痛
          低氧:吸氧 
       2. 抗生素治疗:疗程视具体情况而定,一般1周
       (1) 首选青霉素:现已出现耐青霉素菌株
       (2) 头孢菌素:选择I代头孢菌素
       (3) 其他:红霉素、万古霉素、SMZ、SD等
       (4) 无效或疗效不佳者:
             氨基糖苷类(aminoglycosides)
             喹诺酮类(quinolones) 
       3. 并发症的处理
       (1) 胸膜炎:胸水量多时可胸穿
        (2) 脓胸:引流、局部用药
                 心包炎:抽液,可局部用药 
       4. 感染中毒性休克治疗原则:
       (1) 积极抗感染治疗
       (2) 补充血容量:注意末梢循环、BP、HR、尿量、血液动力学
       (3) 血管活性药:升压药及扩血管药
       (4) 糖皮质激素:指征:病情重,全身中毒症状明显
       (5) 维持水电解质平衡、纠正酸中毒
             防止心肺肾功能不全及DIC痛:止痛

 八、预防:肺炎疫苗 

打开医脉通app阅读全文,体验更佳
确认
内科
心血管内科 神经内科 消化科 肝病科 内分泌科 肿瘤科 血液科 精神科 呼吸科 肾内科 风湿免疫科 感染科
外科
普通外科 神经外科 胸心外科 泌尿外科 骨科 整形外科
其他
麻醉科 妇产科 儿科 眼科 耳鼻咽喉科 口腔科 皮肤性病科 急诊/重症 影像科 检验科
打开APP,参与评论互动