【讲座】股骨头骨髓水肿的鉴别诊断
anderson楼主
2011-04-15 09:41

在骨关节MRI诊断中,累及骨的病例大都伴随一个征象--骨髓水肿,到底什么是骨髓水肿,它又如何鉴别,在园内找到一个外文课件,粗略的翻译过来和大家一起学习,翻译不对的地方请指正。

课件后部的思路有些跟不上,我已在后贴进行补充,看看更精彩alt

知识拓展(一):

骨髓水肿 (bone marrow edema,BME)是以骨基质水肿、纤维组织增生及炎性细胞浸润为主要病理表现的一种征象。其主要是由病变组织血管过多,灌注过度,水的外渗作用等造成。它是一个基本的共同的病理现象,是非特异性的,在许多疾病的骨髓位置上均可见到。如感染,应力性骨折,一过性骨质疏松等。
Wilson等在描述髋关节一过性骨质疏松症的骨髓信号改变时首次使用了骨髓水肿这个名词。随着科技的发展,MRI的广泛应用,骨髓水肿征象才逐渐被认识,但一直没有引起广泛的重视。

病理: 骨髓水肿活性病理(不脱钙)显示骨小梁间隙充满大量水肿液,小梁间隙增宽,脂肪坏死,纤维血管增生,骨小梁连续,骨细胞存活,反应性骨形成,看不到进行性破骨吸收,骨形态测量未发现骨质疏松,类骨增加、羟基磷灰石含量降低可解释X线上骨密度减低表现,骨小梁存活、骨形成活跃表明具有较强的再生能力。骨髓水肿区活检及术后病理检查呈嗜酸性血清样液体聚集,符合水肿的表现。

治疗: 骨髓水肿病因学机制尚不明确,但是它是一种自限性的疾病。目前主要对症治疗为主,治疗对策包括减轻负重,缓和的镇痛药和非类固醇类的消炎药,物理疗法。

知识拓展(二):

髋关节一过性骨髓水肿综合症 (TBMES),又称髋关节一过性性骨质疏松(TOH),是一种病因不明的自限性疾病,最早由Curtiss和Kincaid于1959年在怀孕3个月的孕妇中报道,称一过性脱矿质。此后又有诸多命名,如迁移性骨溶解、痛性营养不良髋、一过性股骨头萎缩症等。1968年Lequesne第一个用“髋关节一过性骨质疏松”这个术语在公开文章中发表。20世纪80年代随着MRI技术开始应用于临床,在1993年,Hofmann根据其MRI表现将其称为骨髓水肿综合症。

病因:有学者认为与反射性交感神经营养不良综合症、脂质代谢异常、血栓栓塞及短暂性缺血导致选择性骨髓坏死而不是骨坏死有关。大多数学者支持后一种观点,因为病人骨功能检查显示股骨头骨内压显著升高,造影剂廓清异常。

临床:常见于中年男性及孕期妇女,目前多见于中年男性。临床上该病好发于股骨头,但膝关节、肩关节、踝关节,表现为自发性的髋部疼痛,跛行,突然发作,且在髋部持重后加重,典型的症状是患者出现无外伤或者感染的急性髋关节疼痛,可以出现跛行、肌肉萎缩及功能伤失。

影像表现:TBMES早期MRI表现为T1WI上低信号,T2WI上高信号或略高信号,脂肪抑制呈高信号,信号不均匀,边界不清楚,此时X线平片上多无阳性发现,显微镜下可见骨髓脂肪坏死,骨髓组织周围水肿;巨噬细胞及破骨细胞活动出现骨吸收,骨小梁局灶区为骨样组织和活性成熟细胞覆盖,以及滑膜炎表现,X线平片上表现骨小梁模糊,骨质密度减低,MRI上除显示骨髓信号T1WI上低信号,T2WI上高信号或略高信号,脂肪抑制呈高信号外还可见关节腔少量积液,呈长T1、长T2信号;病变区域有的可见软骨下骨折,伴有骨痂和肉芽组织,但未见骨坏死表现,X线平片及MRI扫描股骨头形态及皮质完整。

预后:TBMES是一种少见的自限性疾病,经过大约6个月(3~12个月)后可自行恢复,不用治疗特别是手术治疗,只需采取限制负重及给予适当对症治疗,直到症状缓解、消失。

 

 

 

 


from 影工

打开医脉通app阅读全文,体验更佳
确认
全部回复(4)
anderson
2楼

http://webres.medlive.cn/upload/000/007/961

 

图1为同一病人。图1a:左侧股骨头颈T1WI呈低信号,信号不均匀,边界不清。图1b:病灶T2WI上为略高信号。图1c:病灶STIR为高信号,关节腔少量积液。图1d:3个月后复查,病灶STIR高信号消失,关节腔少量积液已吸收。

图2为同一病人。图2a:左侧股骨头、颈及粗隆STIR高信号,信号不均匀,边界不清楚,关节腔少量积液。图2b:3个月后复查,病灶STIR高信号大部分消失,关节腔少量积液已吸收。图1,2示股骨头外形及皮质均保持完整,周围结构未见异常。

2011-04-15
anderson
3楼

http://webres.medlive.cn/upload/000/007/962

http://webres.medlive.cn/upload/000/007/963

 

 

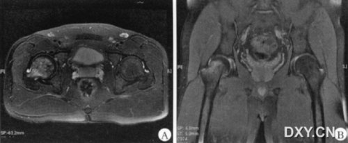
A~D:为同一患者,男性,36岁,A~C为发病时第1次MRI表现,D为3个月后MRI表现。

A:MRI轴位T2WI抑脂,右侧髋关节一过性骨髓水肿综合征,右侧股骨头、股骨颈、粗隆高信号,股骨头形态正常;

B:MRI冠状位PD抑脂,右侧髋关节一过性骨髓水肿综合征,右侧股骨头、股骨颈、粗隆高信号,股骨头形态正常;

C:MRI轴位T1WI,右侧髋关节一过性骨髓水肿综合征,右侧股骨头、股骨颈、粗隆信号稍减低,股骨头形态正常;

D:MRI冠状位PD抑脂,正常髋关节,双侧股骨头、股骨颈、粗隆信号正常。

2011-04-15
anderson
4楼

与股骨头坏死的鉴别:髋部一过性骨质疏松是临床上髓部疼痛诊断时必须排除的一种疾病。缺血坏死是引起髋关节疼痛的更常见的原因。

股骨头坏死的X线表现几乎没有弥漫性的骨质减少,典型的表现是散在的放射透亮区,周围环绕硬化带。中期在关节软骨下出现新月征,它代表着关节软骨下骨的塌陷。继续发展,股骨头塌陷明显,关节退变,关节间隙狭窄。对一过性骨质疏松来说,经过6~8月的时间,X线表现会自然恢复,直至骨密度恢复正常,不会发展为股骨头坏死。

虽然早期的缺血坏死在磁共振上与骨质疏松相似。但骨坏死有更多特异性的发现。T2加权像能显出有双线征,此改变认为系死骨和活骨的界面。

2011-04-15
1519543292_239
5楼

你好,“TBMES是一种少见的自限性疾病,经过大约6个月(3~12个月)后可自行恢复,不用治疗特别是手术治疗”,我已经过6个月了,症状有所缓解,还有一点痛,还需要继续吃药吗?

2018-02-25
内科
心血管内科 神经内科 消化科 肝病科 内分泌科 肿瘤科 血液科 精神科 呼吸科 肾内科 风湿免疫科 感染科
外科
普通外科 神经外科 胸心外科 泌尿外科 骨科 整形外科
其他
麻醉科 妇产科 儿科 眼科 耳鼻咽喉科 口腔科 皮肤性病科 急诊/重症 影像科 检验科
打开APP,参与评论互动