胫腓骨骨折
wyh1楼主
2011-04-19 09:35

                    胫腓骨骨折

简 介: 胫腓骨骨干骨折在全身骨折中最为常见。10岁以下儿童尤为多见。其中以胫骨干单骨折最多,胫腓骨干双折次之,腓骨干单骨折最少。胫骨是连接股骨下方的支承体重的主要骨骼,腓骨是附连小腿肌肉的重要骨骼,并承担1/6的承重。胫骨中下1/3处形态转变,易于骨折,胫量上1/3骨折移位,易压迫腘动脉,造成小腿下段严重缺血坏疽。胫骨中1/3骨折瘀血可关闭在小腿的骨筋膜室,增加室内压力造成缺血性肌挛缩成坏疽。胫骨中下1/3骨折使滋养动脉断裂,易引起骨折,延迟愈合。

                http://webres.medlive.cn/upload/000/009/120

发病机理:

  1、直接暴力:重物直接撞击或车轮辗轧,可引起横骨折、短斜骨折或粉碎骨折,两骨折往往均在同一水平,是因腔骨处于皮下,易发生开放性骨折。

  2、间接暴力:高处跌下,强烈扭转或滑跌,可引起斜骨折。两骨均骨折时,腓骨的骨折口往往高于胫骨的骨折面,易形成开放骨折。软组织损伤小,出血较少。

临床症状: 局部疼痛,肿胀,畸形较显著,表现成角和重叠移位。应注意是否伴有腓总神经损伤,胫前、胫后动脉损伤,胫前区和腓肠肌区张力是否增加。往往骨折引起的并发症在骨折本身所产生的后果更严重。

  诊 断: 胫骨位置表浅,局部症状明显,加上X线检查,诊断并不困难。但应注意骨折的合并症,仔细检查软组织损伤程度,及时发现症状,及时处理。

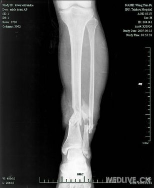
  辅助检查: X线正位片应包括胫腓骨全长,以免漏诊。X线可见骨折线、碎骨片、断端移位等。

  治 疗: 小腿骨折治疗的主要目的是恢复小腿长度,对线和持重功能。胫骨的复位与腓骨的复位同样重要,但一般首先满足于胫骨的复位。稳定性横骨折和短斜骨折:闭合手法复位后用夹板或管形石膏体将骨膜绷紧于复位状态。不稳定性长斜骨折和螺旋骨折,可结合骨牵引和小夹板治疗。若闭合手法复位后,仍有成角或缩短,可采用螺丝钉或螺丝钉加接骨板固定。不稳定性横骨折和粉碎骨折,清创缝合后,可先用跟骨牵引,使骨折段的对线改善,复位后石膏固定,也可用髓内钉固定及经皮骨骼穿针外固定。单胫骨骨折及单腓骨骨折较少见,亦宜于处理。

  预 防: 预防直接或间接暴力可减少发病率。若发生骨折,应针对不同骨折部位积极预防不同的并发症,防止缺血,坏疽,影响功能

打开医脉通app阅读全文,体验更佳
确认
全部回复(1)
2楼

不错

2011-04-24
内科
心血管内科 神经内科 消化科 肝病科 内分泌科 肿瘤科 血液科 精神科 呼吸科 肾内科 风湿免疫科 感染科
外科
普通外科 神经外科 胸心外科 泌尿外科 骨科 整形外科
其他
麻醉科 妇产科 儿科 眼科 耳鼻咽喉科 口腔科 皮肤性病科 急诊/重症 影像科 检验科
打开APP,参与评论互动