结合病例学习视盘玻璃膜疣的影像学表现
绿萝爱歌唱楼主
2012-04-12 11:59

结合病例学习视盘玻璃膜疣的影像学表现

视盘玻璃疣(drusen of the optic disc)又名视盘结石。国外首先报道于1858年,国内1958年开始出现报道;群体发病率不详。 

    发病机理:多数学者认为是先天不成熟的神经胶质过剩,而且退行变性。但新进有学者认为轴浆运输的变化是视盘玻璃疣形成的解剖学基础。也有少数人认为其是母斑病的变异隆表现。遗传学表现似乎多为散发,但有学者诊断是常染色体显性或不完全显性遗传。 

    临床表现:可见于任何年龄。视力多受损不重,可有一过性视雾,失明罕见。视盘玻璃疣因所在位置深浅不同,而有不同的眼底表现。深埋在视神经组织内者称埋藏视盘玻璃疣,多见于儿童(年幼儿童诊断困难的视盘异常隆起,75%是由视盘玻璃疣所致)。眼底检查可见视乳头隆起,边界不清,其上有大小不等,形状不一的黄白色透亮小体,多位于视乳头鼻侧或鼻下方。 

    并发症:眼底出血及视盘周围新生血管——由于疣体长期压迫或尖锐的视疣体刺伤视盘血管引起出血,局部压迫缺血刺激新生血管生成。视野损害(鼻下视野缺损是最典型的视野缺损) 

    鉴别诊断 1、视盘水肿 2、眼底恶性黑素瘤和黄斑盘状变性。 

    治疗:目前尚无有效措施预防或控制本病的发展。由于疣体长期压迫可引起局部缺血,故可予VitB1\B12、VitC及适当的血管扩张剂。 

    以下为前来医院就诊的一名视盘玻璃膜疣病人的来学习影像学表现 

http://webres.medlive.cn/upload/000/079/246

 

 

    眼底像所见:视盘鼻下约3PD大小黄白色明胶状突物,边界较清,表面无出血,周边无渗出及出血,视盘中心凹不明显。(若为肿瘤常边界不清,周边常伴炎性渗出与新旧间杂的出血)

 

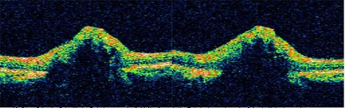
http://webres.medlive.cn/upload/000/079/247

    OCT所见可见视盘区扫描表面突起,回声反射较强,遮挡下方组织回声,未见视盘的视杯凹陷。 

    B超下影像较为典型,可见视盘处高强回声光斑,边界可;回声较强可遮挡衰减其后组织部分回声。 

    而视乳头水肿,视神经炎超声可见视盘处隆起,低强回声,边界不清,可以鉴别。

http://webres.medlive.cn/upload/000/079/248

http://webres.medlive.cn/upload/000/079/249

 

http://webres.medlive.cn/upload/000/079/250

 

    FAA可将本病与视乳头水肿或占位性病变相鉴别。视盘玻璃膜疣在造影早期即有荧光素着色,随着造影进程,荧光逐渐强烈,至晚期仍有明显的荧光素着色,但它始终没有明显的荧光素渗漏,这是它与视乳头水肿、视乳头炎或占位性病变相鉴别的重要特征。如下:

http://webres.medlive.cn/upload/000/079/251

 

 

打开医脉通app阅读全文,体验更佳
确认
内科
心血管内科 神经内科 消化科 肝病科 内分泌科 肿瘤科 血液科 精神科 呼吸科 肾内科 风湿免疫科 感染科
外科
普通外科 神经外科 胸心外科 泌尿外科 骨科 整形外科
其他
麻醉科 妇产科 儿科 眼科 耳鼻咽喉科 口腔科 皮肤性病科 急诊/重症 影像科 检验科
打开APP,参与评论互动