影像时间——小肠壁增厚
tianyi111楼主
2012-08-06 15:10

小肠壁增厚是多种小肠疾病的一种常见病理表现,包括肿瘤性和非肿瘤性。常规肠镜、胶囊内镜、X线钡餐造影和小肠超声检查对小肠病变的诊断有一定困难,病变检出阳性率低、漏诊率高。

现总结一些小肠疾病的常规CT检查特征,与大家共同学习!

肠壁厚度:肠壁厚度>3mm定义为肠壁增厚,<1cm为轻度增厚,1~2cm为中度增厚,>2cm为重度增厚。

肠壁增厚的范围:<10cm为局限性,10~30cm为节段性,>30cm为弥漫性。

增厚特点分为:均匀性和不均匀性增厚、偏心性增厚、软组织结节或软组织包块。

肠壁密度分为:等密度和低密度。

病变肠壁强化程度分为:明显强化、轻度强化和不强化。

继发肠管改变分为:病变肠管的偏心性狭窄、局部肠管肠梗阻、近段肠管扩张和远端肠管肠套叠、病变局部肠管液化坏死、出血和囊变。

肠外侵袭转移征象包括:脂肪浸润、淋巴结转移、腹膜转移、肠外器官转移。

肠外原发疾病表现包括:肝硬化、门静脉高压症、腹腔积液、食管胃底静脉曲张、窦道、瘘、肠周脓肿、肝脾肿大、肠系膜淋巴结肿大或钙化、胰腺肿大、胰周脂肪肿胀、腹膜炎、局部原发肿瘤放疗后改变、腹腔脓肿、阑尾增粗、肠系膜肿胀、出血等。

打开医脉通app阅读全文,体验更佳
确认
全部回复(17)
tianyi111
2楼

肿瘤性小肠壁增厚的CT检查征象 (点击图片可查看原图)

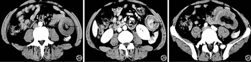
小肠淋巴瘤患者CT检查结果主要表现为局限性或节段性中重度肠壁不均匀性增厚,病变肠壁明显不均匀强化(图1);肠外主要表现为淋巴结、肝、脾肿大。

http://webres.medlive.cn/upload/000/093/673

图1回肠淋巴瘤患者CT检查特征:回肠壁重度不均匀性增厚(↓)、局部肠腔狭窄 1a:平扫肠壁不均匀,低密度;1b:动脉期肠壁明显不均匀强化;1c:静脉期肠壁不均匀强化程度较动脉期增加

 

2012-08-06
tianyi111
3楼

小肠间质瘤分为良性和恶性间质瘤。

良性间质瘤患者CT检查主要表现为局限性中重度肠壁增厚,肠腔内、肠壁内或浆膜下软组织包块病变肠壁明显不均匀强化,呈现“环靶征”(图2);肠外主要表现为肠套叠、肠梗阻征象:肠管扩张、积液、积气。(点击图片可查看原图)

http://webres.medlive.cn/upload/000/093/675

图2 空肠良性间质瘤(肠道内壁间质瘤继发空肠肠套叠)患者CT检查特征:2a:平扫空肠内壁呈结节状不均匀性增厚(←),密度不均匀;2b:动脉期局部肠壁明显不均匀强化,呈“环靶征”(←);2c:静脉期病变近段肠壁重度增厚(→)

 

恶性间质瘤患者CT检查表现为局限性或节段性中重度肠壁不均匀性增厚,肠腔内、肠壁内或浆膜下软组织包块、病变中心坏死液化,病变肠壁明显不均匀强化(图3);肠外主要表现为肠系膜和大网膜转移、肝转移。(点击图片可查看原图)

http://webres.medlive.cn/upload/000/093/676

 图3 空肠恶性间质瘤患者CT检查特征:肠壁局限性不均匀性增厚,内见坏死液化灶(→),腹腔积液(↓)和肠系膜增厚(↑) 3a:平扫肠壁局限性不均匀性增厚、边界不清(←);3b:动脉期局部肠壁明显不均匀强化;3c:静脉期肠壁强化程度减弱

 

 

2012-08-06
tianyi111
4楼

十二指肠癌患者CT检查主要表现为局限性中重度肠壁不均匀性增厚,密度不均匀,局部可见软组织包块,病变肠壁明显不均匀强化(图4);肠外主要表现为肠腔偏心或环形狭窄、直肠周围脂肪间隙消失、腹股沟、腹膜后或肠系膜淋巴结肿大、腹腔积液,回盲部肝转移癌偶尔并发肠套叠和肠梗阻。(点击图片可查看原图)

http://webres.medlive.cn/upload/000/093/677

图4 十二指肠癌患者CT检查特征:十二指肠壁明显不均匀性增厚(←)4a:平扫肠壁密度不均匀;4b:动脉期肠壁明显不均匀强化;4c:静脉期肠壁明显均匀强化

2012-08-06
tianyi111
5楼

非肿瘤性小肠壁增厚的CT检查征象

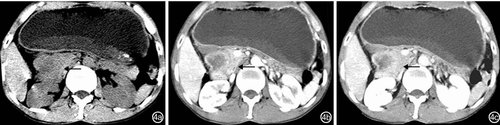
肝硬化门静脉高压症患者CT检查结果主要表现为胃、小肠弥漫性轻度环状向心性增厚、明显不均匀强化;肠外主要表现为肝硬化、脾肿大、食管胃底静脉曲张、腹腔积液(图5)。(点击图片可查看原图)

http://webres.medlive.cn/upload/000/093/678

图5 肝硬化门静脉高压症CT检查特征 5a:平扫小肠壁弥漫性轻度增厚(←);5b:动脉期肝硬化、腹腔积液(→)、食管静脉曲张(↓);5c:静脉期小肠壁增厚且明显不均匀强化(←)

 

2012-08-06
tianyi111
6楼

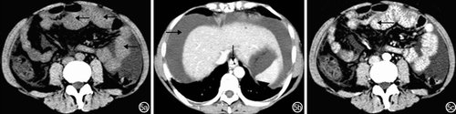
急性胰腺炎患者CT检查主要表现为局限性、节段性或弥漫性肠壁环形向心性增厚呈低密度“双环”、“三环”或“靶征”(图6);肠外主要表现为腹腔积液、胰腺增大密度减低、胰周脂肪肿胀、腹膜炎。(点击图片可查看原图)

http://webres.medlive.cn/upload/000/093/679

 图6 急性胰腺炎患者CT检查特征 6a:平扫示右肾前筋膜增厚(→)、十二指肠壁明显增厚(↓);6b:动脉期肠壁呈“三环”或“靶征”(↓);6c:静脉期肠壁强化程度较动脉期均匀(↓)

 

2012-08-06
tianyi111
7楼

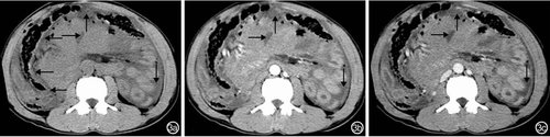
肠梗阻患者CT检查主要表现为回结肠肠壁弥漫性环形增厚,呈水样密度影,不强化或轻度强化;肠外主要表现为肠系膜肿胀、出血,腹腔积液(图7)。

肠系膜上动脉病变患者CT检查主要表现为肠壁广泛均匀中度增厚;肠外主要表现为腹膜炎和腹腔积液(图7)。

肠扭转患者CT检查主要表现为小肠局限性中重度增厚;肠外主要表现为腹膜炎、腹腔积液(图7)。(点击图片可查看原图)

http://webres.medlive.cn/upload/000/093/680

 图7 肠扭转并肠系膜血管病变患者CT检查特征 7a:平扫肠梗阻、肠系膜根部扭转(↓),轻度均匀强化,空肠扩张、腹腔积液(→);7b:动脉期回肠壁中度弥漫性均匀增厚(↑),明显均匀强化;7c:静脉期肠系膜上动脉回肠支夹层(↓)、空肠扩张(→)、腹腔积液 

 

2012-08-06
tianyi111
8楼

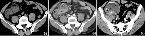
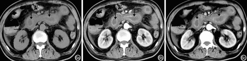
急性阑尾炎患者CT检查主要表现为回盲部和回肠末段肠壁局限性环形向心性增厚,呈低密度“双环”、“三环”或“靶征”,明显强化;肠外主要表现为腹膜炎、腹腔脓肿、阑尾增粗(图8)。(点击图片可查看原图)

http://webres.medlive.cn/upload/000/093/681

 图8 急性阑尾炎患者CT检查特征 8a:平扫回盲部及回肠末端肠壁增厚,呈“环靶征”,空肠扩张、积液(→);8b:动脉期内外肠壁明显强化(→),中间水肿不强化;8c:静脉期回盲部左侧局限性腹腔积液(←)

 

2012-08-06
tianyi111
9楼

肿瘤性和非肿瘤性小肠壁增厚的CT检查鉴别诊断

根据病变的部位、范围、增厚方式、密度、强化方式、继发肠管改变及其肠外原发性疾病表现很容易鉴别肿瘤性和非肿瘤性肠壁增厚。

肿瘤性肠壁增厚多表现为肠管的某一部位肠壁软组织包块、软组织结节和偏心性增厚,以混杂密度或低密度为主,呈现显著不均匀强化或均匀强化,继发肠管改变(局部肠管偏心性狭窄、近端肠管扩张、远端肠管套叠,病灶出血、坏死和囊变)常见,可见肠外侵袭及转移(网膜饼、腹腔积液、肠系膜及腹膜后淋巴结肿大等)。

非肿瘤性肠壁增厚表现为全部肠管或多节段肠管管壁的弥漫性增厚,以低密度为主,大部分呈现显著均匀强化、少部分轻中度均匀强化、“环靶征”多见,无继发肠管改变和肠外侵袭及转移征象,有各种各样的肠外原发疾病表现,根据这些表现可以进一步鉴别非肿瘤性肠壁增厚的病因。

2012-08-06
tianyi111
10楼

肿瘤性小肠壁增厚的良性和恶性病变CT检查鉴别诊断

良性肿瘤性小肠壁增厚者包块边缘光滑锐利,密度不均匀,增强扫描肠壁不均匀强化,且动脉期肠壁强化程度高于静脉期,肠腔狭窄呈半月形、局部肠壁破坏不明显;

恶性者包块边缘不规则、密度明显不均匀、增强扫描肠壁明显不均匀强化,腺癌静脉期肠壁强化程度高于动脉期,肠腔不规则狭窄、局部肠壁破坏明显。恶性病变有肠外侵袭及转移征象,周围脂肪间隙密度增高、肠系膜和网膜不均匀增厚、腹腔积液和肠系膜淋巴结肿大提示恶性肿瘤转移。

2012-08-06
内科
心血管内科 神经内科 消化科 肝病科 内分泌科 肿瘤科 血液科 精神科 呼吸科 肾内科 风湿免疫科 感染科
外科
普通外科 神经外科 胸心外科 泌尿外科 骨科 整形外科
其他
麻醉科 妇产科 儿科 眼科 耳鼻咽喉科 口腔科 皮肤性病科 急诊/重症 影像科 检验科
打开APP,参与评论互动